SPINK6 Antibody
-
中文名稱:SPINK6兔多克隆抗體
-
貨號:CSB-PA744263LA01HU
-
規格:¥440
-
圖片:
-
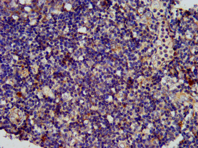
IHC image of CSB-PA744263LA01HU diluted at 1:400 and staining in paraffin-embedded human tonsil tissue performed on a Leica BondTM system. After dewaxing and hydration, antigen retrieval was mediated by high pressure in a citrate buffer (pH 6.0). Section was blocked with 10% normal goat serum 30min at RT. Then primary antibody (1% BSA) was incubated at 4°C overnight. The primary is detected by a biotinylated secondary antibody and visualized using an HRP conjugated SP system.
-
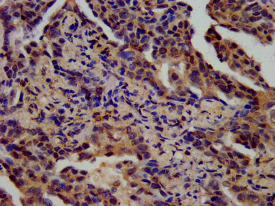
IHC image of CSB-PA744263LA01HU diluted at 1:400 and staining in paraffin-embedded human lung cancer performed on a Leica BondTM system. After dewaxing and hydration, antigen retrieval was mediated by high pressure in a citrate buffer (pH 6.0). Section was blocked with 10% normal goat serum 30min at RT. Then primary antibody (1% BSA) was incubated at 4°C overnight. The primary is detected by a biotinylated secondary antibody and visualized using an HRP conjugated SP system.
-
-
其他:
產品詳情
-
產品名稱:Rabbit anti-Homo sapiens (Human) SPINK6 Polyclonal antibody
-
Uniprot No.:
-
基因名:SPINK6
-
別名:Acrosin inhibitor antibody; BUSI2 antibody; EG433180 antibody; ISK6_HUMAN antibody; MGC21394 antibody; Protease inhibitor H antibody; Serine protease inhibitor Kazal-type 6 antibody; Spink5l1 antibody; SPINK6 antibody; UNQ844 antibody; UNQ844/PRO1782 antibody
-
宿主:Rabbit
-
反應種屬:Human
-
免疫原:Recombinant Human Serine protease inhibitor Kazal-type 6 protein (24-80AA)
-
免疫原種屬:Homo sapiens (Human)
-
標記方式:Non-conjugated
本頁面中的產品,SPINK6 Antibody (CSB-PA744263LA01HU),的標記方式是Non-conjugated。對于SPINK6 Antibody,我們還提供其他標記。見下表:
-
克隆類型:Polyclonal
-
抗體亞型:IgG
-
純化方式:>95%, Protein G purified
-
濃度:It differs from different batches. Please contact us to confirm it.
-
保存緩沖液:Preservative: 0.03% Proclin 300
Constituents: 50% Glycerol, 0.01M PBS, pH 7.4 -
產品提供形式:Liquid
-
應用范圍:ELISA, IHC
-
推薦稀釋比:
Application Recommended Dilution IHC 1:200-1:500 -
Protocols:
-
儲存條件:Upon receipt, store at -20°C or -80°C. Avoid repeated freeze.
-
貨期:Basically, we can dispatch the products out in 1-3 working days after receiving your orders. Delivery time maybe differs from different purchasing way or location, please kindly consult your local distributors for specific delivery time.
-
用途:For Research Use Only. Not for use in diagnostic or therapeutic procedures.
相關產品
靶點詳情
-
功能:Serine protease inhibitor selective for kallikreins. Efficiently inhibits KLK4, KLK5, KLK6, KLK7, KLK12, KLK13 and KLK14. Doesn't inhibit KLK8.
-
基因功能參考文獻:
- Study showed that the expression of SPINK6 is specifically suppressed in liver tumor tissues. The suppression could be even detected in the early stage tumors. As SPINK6 is a secretory protein, the extracellular protein level may be decreased because of tumor development. These results support that SPINK6 is an important tumor suppressor in liver. PMID: 27999203
- our results identified a novel EGFR-activating mechanism in which SPINK6 has a critical role in promoting nasopharyngeal carcinoma metastasis PMID: 27671677
- a significant fraction of SPINK6-sensitive proteases in healthy saliva and confirmed the ability of gingipains to inactivate SPINK6 under ex vivo conditions PMID: 27354280
- KLKs. Thereby, beside the conserved binding mode, we identified an alternate binding mode which has so far not been observed for SPINK inhibitors. PMID: 26828269
- Our study indicates that Spink6 is a potent inhibitor of kallikrein related peptidases and involved in skin barrier function. PMID: 24352040
- Cross-linked SPINK6 might protect specific substrates such as fibronectin from kallikrein-related peptidases cleavage and contribute to the regulation of proteases in the epidermis. PMID: 23303447
- Serine protease of Kazal-type (SPINK6) expressed in normal human skin is a potent natural inhibitor of Kallikrein-related peptidases, KLK12 and KLK13. PMID: 21439340
- Data suggest that SPINK6 plays a role in modulating the activity of kallikreins in human skin. PMID: 20667819
顯示更多
收起更多
-
亞細胞定位:Secreted.
-
數據庫鏈接:
Most popular with customers
-
-
YWHAB Recombinant Monoclonal Antibody
Applications: ELISA, WB, IHC, IF, FC
Species Reactivity: Human, Mouse, Rat
-
Phospho-YAP1 (S127) Recombinant Monoclonal Antibody
Applications: ELISA, WB, IHC
Species Reactivity: Human
-
-
-
-
-















