SPINK1 Antibody
-
中文名稱:SPINK1兔多克隆抗體
-
貨號:CSB-PA022575LA01HU
-
規格:¥440
-
圖片:
-
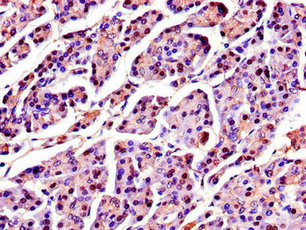
Immunohistochemistry of paraffin-embedded human pancreatic tissue using CSB-PA022575LA01HU at dilution of 1:100
-
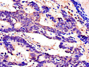
Immunohistochemistry of paraffin-embedded human colon cancer using CSB-PA022575LA01HU at dilution of 1:100
-
Immunofluorescent analysis of Hela cells using CSB-PA022575LA01HU at dilution of 1:100 and Alexa Fluor 488-congugated AffiniPure Goat Anti-Rabbit IgG(H+L)
-
-
其他:
產品詳情
-
產品名稱:Rabbit anti-Homo sapiens (Human) SPINK1 Polyclonal antibody
-
Uniprot No.:
-
基因名:SPINK1
-
別名:ISK1_HUMAN antibody; Pancreatic secretory trypsin inhibitor antibody; Pancreatic serine protease inhibitor Kazal antibody; PCTT antibody; PSTI antibody; Serine protease inhibitor Kazal type 1 antibody; Serine protease inhibitor Kazal-type 1 antibody; Spink 3 antibody; SPINK1 antibody; Spink3 antibody; TaTI antibody; TCP antibody; Tumor associated trypsin inhibitor antibody; Tumor-associated trypsin inhibitor antibody
-
宿主:Rabbit
-
反應種屬:Human
-
免疫原:Recombinant Human Serine protease inhibitor Kazal-type 1 protein (19-79AA)
-
免疫原種屬:Homo sapiens (Human)
-
標記方式:Non-conjugated
本頁面中的產品,SPINK1 Antibody (CSB-PA022575LA01HU),的標記方式是Non-conjugated。對于SPINK1 Antibody,我們還提供其他標記。見下表:
-
克隆類型:Polyclonal
-
抗體亞型:IgG
-
純化方式:>95%, Protein G purified
-
濃度:It differs from different batches. Please contact us to confirm it.
-
保存緩沖液:Preservative: 0.03% Proclin 300
Constituents: 50% Glycerol, 0.01M PBS, PH 7.4 -
產品提供形式:Liquid
-
應用范圍:ELISA, IHC, IF
-
推薦稀釋比:
Application Recommended Dilution IHC 1:20-1:200 IF 1:50-1:200 -
Protocols:
-
儲存條件:Upon receipt, store at -20°C or -80°C. Avoid repeated freeze.
-
貨期:Basically, we can dispatch the products out in 1-3 working days after receiving your orders. Delivery time maybe differs from different purchasing way or location, please kindly consult your local distributors for specific delivery time.
-
用途:For Research Use Only. Not for use in diagnostic or therapeutic procedures.
相關產品
靶點詳情
-
功能:Serine protease inhibitor which exhibits anti-trypsin activity. In the pancreas, protects against trypsin-catalyzed premature activation of zymogens.; In the male reproductive tract, binds to sperm heads where it modulates sperm capacitance by inhibiting calcium uptake and nitrogen oxide (NO) production.
-
基因功能參考文獻:
- 3 siblings with near identical clinical manifestations of early onset acute recurrent pancreatitis (ARP), all possessing the same heterozygous for serine protease inhibitor, Kazal type 1 (SPINK1) mutation c.55+1G>A. PMID: 29346218
- We demonstrate for the first time a significant decrease of SPINK1 levels after surgical decompression of pancreatic duct and a reduction of trypsin activity analysis after endoscopic decompression PMID: 29525377
- SPINK1 over expression is associated with prostate cancer specific mortality in at risk men with biochemical and clinical recurrence after prostatectomy PMID: 27238617
- Data show that alteration in beta-catenin expression, a core component of the CDH17/beta-catenin axis, in tumors affects serine peptidase inhibitor Kazal type 1 (SPINK1) serum levels in hepatocellular carcinoma (HCC) patients. PMID: 28631187
- Findings indicate that the serine protease inhibitor, Kazal type 1 (SPINK1) p.N34S allele may cause reduced SPINK1 expression. PMID: 28609377
- Having correlated our findings with current knowledge of SPINK1's role in exocrine pancreas pathophysiology, we propose that complete and partial functional losses of the SPINK1 gene are associated with quite distinct phenotypes, the former causing a new pediatric disease entity of severe infantile isolated exocrine pancreatic insufficiency (EPI) . PMID: 28945313
- results suggest that rs142703147:C>A, which disrupts a PTF1L-binding site within an evolutionarily conserved HNF1A-PTF1L cis-regulatory module located upstream of the SPINK1 promoter, contributes to the chronic pancreatitis risk haplotype. PMID: 28556356
- Studied mutations in cationic trypsinogen (PRSS1) and serine protease inhibitor Kazal type 1 (SPINK1) and their association with alcoholic chronic pancreatitis (ACP) and idiopathic chronic pancreatitis. PMID: 29641165
- Studies indicate that serine peptidase inhibitor Kazal type 1 (SPINK1) gene, particularly the N34S mutation, has a genetic association with the development of pancreatitis [Meta-analysis]. PMID: 28984793
- association between SPINK1 p.N34S gene variation and chronic pancreatitis [review, meta-analysis] PMID: 28546062
- We present the case of a child with a homozygous mutation N34S in the SPINK1 gene, leading to acute recurrent pancreatitis and ultimately to chronic pancreatitis PMID: 28229614
- Used in silico splicing prediction programs to prioritize SPINK1 intronic variants for further quantitative RT-PCR analysis the non-pathological c.194 + 13T > G variant was predicted by different programs to generate a new & viable donor splice site, the prediction scores being comparable to those for the physiological c.194 + 2T donor splice site & even higher than those for the physiological c.87 + 1G donor splice site. PMID: 28472998
- Gene mutations were present in PRSS1 in 26 patients with acute recurrent and chronic pancreatitis, SPINK1 in 23, CTRC in 3, and CPA1 in 5. In the 31 patients with mutations in SPINK1, CTRC, or CPA1, 16 (51.6%) had homozygous or heterozygous mutations with other mutations. PMID: 27409067
- SPINK1 can associate with EGFR to promote the expression of cell proliferation-related and anti-apoptosis-related genes/proteins; inhibit the expression of pro-apoptosis-related genes/proteins via p38, ERK, and JNK pathways; and consequently promote the proliferation of BRL-3A cells. PMID: 28845526
- The present study demonstrates for the first time that both fibroblast-derived and recombinant IL-6 induces SPINK1 expression and secretion in in colorectal adenocarcinoma. PMID: 26663388
- Absolute exclusivity between SPINK1 overexpression and homozygous PTEN deletion in localized PCA. PMID: 27738792
- It is the first time to simultaneously detect SPINK1 and ERG expression in initially diagnosed bone metastatic prostate cancer. The over-expression of SPINK1 was not only related to poor PSA response, but also significantly associated with the occurrence of castration-resistant prostate cancer, especially in those with much more aggressive phenotype PMID: 27159572
- We describe a case of malignant pancreatic cancer diagnosed in a young patient with chronic pancreatitis who is a SPINK 1 heterozygote gene mutation carrier PMID: 27358244
- Mutations in CFTR, SPINK1 or PRSS1 are present in one third of pediatric acute recurrent (ARP) or chronic (CP) pancreatitis with no other cause. PMID: 26692446
- TATI proved to be a sensitive indicator of disease recurrence and distant metastasis, with a sensitivity of 84.4% and 75.7%, respectively. PMID: 26350184
- Sixteen patients exhibited heterozygous pathogenic variants of SPINK1, including c.194+2T>C (n=12), p.N34S (n=3), and a novel pathogenic splicing variation c.194+1G>A. PMID: 27578509
- Data indicate that SPINK1 expression status shows a lower rate of concordance between primary prostate cancer (PCA) site and nodule metastases, than those of ERG and PTEN. PMID: 26725250
- Approx 25% of discontinuously involved prostate biopsy cores showed tumor foci with discordant ERG/SPINK1 status, consistent with multiclonal disease. PMID: 26743468
- Letter/Case Report: high penetrance of the PRSS1 A16V mutation caused by SPINK1 N34S and CFTR TG11-5T co-mutations associated with pancreatitis. PMID: 26658045
- Identify SPINK1 promoter variants exhibiting significant functional defects that should be considered potential risk factors for chronic pancreatitis. PMID: 26348468
- expression represents an independent prognostic factor for poor survival in ovarian carcinoma patients PMID: 26437224
- The SPINK1 protein seems to play a role in tumor proliferation. PMID: 26037168
- neither ERG nor SPINK1 appear to be useful biomarkers for prognostication of early stage prostate cancer PMID: 26172920
- The majority of children with genetic predisposition to idiopathic acute and acute recurrent pancreatitis have the SPINK1 mutation. PMID: 25981744
- Patients with SPINK1 N34S mutations were more likely to develop a Dilated duct, Calcifications, and Diabetes as Long-term Outcome of Endoscopic Treatments in Idiopathic Chronic Pancreatitis. PMID: 26632706
- Evidence suggests that SPINK1 is an important growth factor that connects chronic inflammation and cancer. PMID: 25804623
- Over-expression of FOXP1 and SPINK1 may participate in the carcinogenesis of hepatitis B virus related cirrhosis. PMID: 26054682
- SPINK1 plays a role as a growth factor, signaling through the EGFR pathway in pancreatic ductal adenocarcinoma and neoplasms, and that the EGFR is involved in the malignant transformation of IPMN. PMID: 23475261
- In Israel, pediatric as well as adult recurrent acute pancreatitis and chronic pancreatitis are often associated with cationic trypsinogen, SPINK1, chymotrypsin C, or Cystic Fibrosis Transmembrane Conductance Regulator mutations. PMID: 25383785
- Mutation p.N34S in SPINK1 may predispose patients to acute pancreatitis, especially in those abusing alcohol, and may promote a more severe course of the disease. PMID: 26100556
- This study shows that PRSS1, SPINK1 and CFTR mutations do not play a role in alcoholic and idiopathic chronic pancreatitis patients. PMID: 25835118
- no mutation associated with pancreatitis PMID: 26376395
- OPN, SPINK1, GPC3 and KNPA2 were significantly over-expressed in HCC tissues. These genes may be useful in developing future biomarkers and therapeutic strategies for HCC PMID: 25862856
- SPINK1 promoter variants are likely to be associated with the risk of BPH. PMID: 26124326
- These data highlight the importance of SPINK1/TATI as a tumor marker for HCV-induced HCC and may lead to a better understanding of HCV-induced hepatocarcinogenesis. PMID: 25531719
- Our results suggest that SPINK1 protein expression may not be a predictor of recurrence or lethal prostate cancer amongst men treated by radical prostatectomy PMID: 24687926
- One novel SPINK1 mutation was identified in Mexican patients with early onset idiopathic recurrent acute pancreatitis. PMID: 25206283
- Results suggest that sequence evaluation of the SPINK1 promoter region in patients with chronic pancreatitis is justified as part of the etiological investigation. PMID: 25792561
- ERG and TFF3 expression characterize 2 distinct subsets of prostate cancer, with a more aggressive subgroup of TFF3-expressing tumors that express SPINK1. PMID: 25639219
- The p.N34S mutation in SPINK1 gene was found more frequently in patients with AP in the Indian population, irrespective of disease etiology and whether the disease was recurrent or not, and with earlier age of onset. PMID: 24844923
- The SPINK1 mutation frequency was significantly decreased in patients with pancreatic cancer in comparison with patients with idiopathic pancreatitis but varied not significantly in comparison with healthy controls. PMID: 25003218
- study found a significant association of SPINK1 (N34S) gene polymorphism with chronic pancreatitis PMID: 24616641
- An association between strong claudin-5 expression and higher serum levels of TATI (p=0.04) and CA125 (p=0.008) were found PMID: 25667483
- Over-expression of TATI predicts an unfavorable outcome in several cancers and serum TATI can be used to identify patients at increased risk of aggressive disease--{REVIEW} PMID: 24583226
- Data indicate epidermal growth factor receptor (EGFR)+/tumor-associated trypsinogen inhibitor (TATI)+ patients showed better survival. PMID: 24204699
顯示更多
收起更多
-
相關疾病:Pancreatitis, hereditary (PCTT); Tropical calcific pancreatitis (TCP)
-
亞細胞定位:Secreted.
-
數據庫鏈接:
Most popular with customers
-
YWHAB Recombinant Monoclonal Antibody
Applications: ELISA, WB, IHC, IF, FC
Species Reactivity: Human, Mouse, Rat
-
Phospho-YAP1 (S127) Recombinant Monoclonal Antibody
Applications: ELISA, WB, IHC
Species Reactivity: Human
-
-
-
-
-
-















