-
中文名稱:SPHK1兔多克隆抗體
-
貨號:CSB-PA022564LA01HU
-
規格:¥440
-
圖片:
-
Western Blot
Positive WB detected in: Mouse skeletal muscle tissue
All lanes: SPHK1 antibody at 3μg/ml
Secondary
Goat polyclonal to rabbit IgG at 1/50000 dilution
Predicted band size: 43, 52, 44 kDa
Observed band size: 43 kDa -
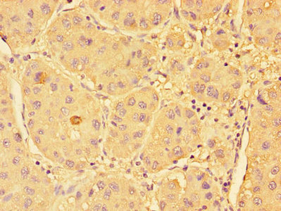
Immunohistochemistry of paraffin-embedded human liver cancer using CSB-PA022564LA01HU at dilution of 1:100
-
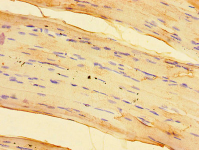
Immunohistochemistry of paraffin-embedded human skeletal muscle tissue using CSB-PA022564LA01HU at dilution of 1:100
-
Immunofluorescent analysis of HepG2 cells using CSB-PA022564LA01HU at dilution of 1:100 and Alexa Fluor 488-congugated AffiniPure Goat Anti-Rabbit IgG(H+L)
-
-
其他:
產品詳情
-
產品名稱:Rabbit anti-Homo sapiens (Human) SPHK1 Polyclonal antibody
-
Uniprot No.:
-
基因名:
-
別名:SK 1 antibody; SK1 antibody; Sphingosine kinase 1 antibody; SPHK 1 antibody; SPHK antibody; Sphk1 antibody; SPHK1_HUMAN antibody; SPK antibody; SPK 1 antibody
-
宿主:Rabbit
-
反應種屬:Human, Mouse
-
免疫原:Recombinant Human Sphingosine kinase 1 protein (1-384AA)
-
免疫原種屬:Homo sapiens (Human)
-
標記方式:Non-conjugated
本頁面中的產品,SPHK1 Antibody (CSB-PA022564LA01HU),的標記方式是Non-conjugated。對于SPHK1 Antibody,我們還提供其他標記。見下表:
-
克隆類型:Polyclonal
-
抗體亞型:IgG
-
純化方式:>95%, Protein G purified
-
濃度:It differs from different batches. Please contact us to confirm it.
-
保存緩沖液:Preservative: 0.03% Proclin 300
Constituents: 50% Glycerol, 0.01M PBS, PH 7.4 -
產品提供形式:Liquid
-
應用范圍:ELISA, WB, IHC, IF
-
推薦稀釋比:
Application Recommended Dilution WB 1:2000-1:5000 IHC 1:20-1:200 IF 1:50-1:200 -
Protocols:
-
儲存條件:Upon receipt, store at -20°C or -80°C. Avoid repeated freeze.
-
貨期:Basically, we can dispatch the products out in 1-3 working days after receiving your orders. Delivery time maybe differs from different purchasing way or location, please kindly consult your local distributors for specific delivery time.
-
用途:For Research Use Only. Not for use in diagnostic or therapeutic procedures.
引用文獻
- GSDME unlocks astrocyte-driven neurotoxicity in Alzheimer's Disease X Xie, C Ji, J Xu, X Lu, G Guo, W Liu, X Wu, Y Chen,bioRxiv,2025
相關產品
靶點詳情
-
功能:Catalyzes the phosphorylation of sphingosine to form sphingosine 1-phosphate (SPP), a lipid mediator with both intra- and extracellular functions. Also acts on D-erythro-sphingosine and to a lesser extent sphinganine, but not other lipids, such as D,L-threo-dihydrosphingosine, N,N-dimethylsphingosine, diacylglycerol, ceramide, or phosphatidylinositol. In contrast to proapoptotic SPHK2, has a negative effect on intracellular ceramide levels, enhances cell growth and inhibits apoptosis. Involved in the regulation of inflammatory response and neuroinflammation. Via the product sphingosine 1-phosphate, stimulates TRAF2 E3 ubiquitin ligase activity, and promotes activation of NF-kappa-B in response to TNF signaling leading to IL17 secretion. In response to TNF and in parallel to NF-kappa-B activation, negatively regulates RANTES induction through p38 MAPK signaling pathway. Involved in endocytic membrane trafficking induced by sphingosine, recruited to dilate endosomes, also plays a role on later stages of endosomal maturation and membrane fusion independently of its kinase activity. In Purkinje cells, seems to be also involved in the regulation of autophagosome-lysosome fusion upon VEGFA.; Has serine acetyltransferase activity on PTGS2/COX2 in an acetyl-CoA dependent manner. The acetyltransferase activity increases in presence of the kinase substrate, sphingosine. During neuroinflammation, through PTGS2 acetylation, promotes neuronal secretion of specialized preresolving mediators (SPMs), especially 15-R-lipoxin A4, which results in an increase of phagocytic microglia.
-
基因功能參考文獻:
- UCMSCs transfected by SPK1 gene potentially offer a novel mode for the treatment of MS. PMID: 29379030
- Neuronal SphK1 acetylates COX2 and contributes to pathogenesis in Alzheimer's disease patients and in a transgenic mouse model. PMID: 29662056
- siRNA-mediated knockdown of Sphk2 but not SphK1 resulted in a reduction of cargo content in purified exosomes PMID: 29955024
- These findings suggested that miR125b may regulate Alzheimer's disease (AD), and neuronal cell growth and apoptosis, via the regulation of inflammatory factors and oxidative stress by SphK1; therefore, miR125b may be involved in the development of AD. PMID: 29901156
- these findings suggest that SphK1 may play a pivotal role in HER2-positive breast carcinogenesis PMID: 28968647
- Authors found that elevated levels of pSphK1 were positive correlation with high expression of S1P, which in turn promoted metastasis of TNBC through S1P/S1PR3/Notch signaling pathway. PMID: 29605826
- SphK1 may be novel targets for inhibiting lymph node metastasis in esophageal squamous cell carcinoma. PMID: 28364399
- Butyrate and bioactive proteolytic form of Wnt-5a regulate colonic epithelial proliferation and spatial development PMID: 27562371
- Immunohistochemistry of xenograft tumors showed significant enhancement of caspase-3 cleavage and suppression of Ki67 and phospho-EGFR by the drug combination, but SphK1 downregulation occurred only in MDA-MB-468 tumors, so is unlikely to be integral to treatment efficacy PMID: 28778177
- Data show that sphingosine kinase 1 (SPHK1) was significantly upregulated in oral squamous cell carcinoma (OSCC) tissues and low levels of sphingosine-1-phosphate lyase 1 (SGPL1) mRNA correlated with a worse overall survival, and that sphingosine-1-phosphate receptor 2 (S1PR2) is over-expressed in a subset of tumours, which in part mediates sphingosine 1-phosphate (S1P)-induced migration of OSCC cells. PMID: 27160553
- SphK1 expression regulates the early stage of colon carcinogenesis and tumor growth, thus inhibition of SphK1 may be an effective strategy for colon cancer chemoprevention. PMID: 28583134
- the blockage of SPHK1 activity to attenuate autophagy may be a promising strategy for the prevention and treatment of patocellular carcinoma PMID: 28521610
- Results indicate the involvement of sphingosine kinase-1 (SphK1) in the invasiveness of oral squamous cell carcinoma (OSCC) and in unfavorable prognosis. PMID: 29491060
- Sphk1 induced NF-kappaB-p65 activation, increased expression of cyclin D1, shortened the cell division cycle, and thus promoted proliferation of breast epithelial cells. PMID: 27811358
- Inhibiting SPHK1 using specific siRNAs or the pharmacological inhibitor FTY720 led to potent anti-cancer activity in nasopharyngeal carcinoma cells/ PMID: 27811359
- Everolimus sensitizes prostate cancer cells to docetaxel by down-regulation of HIF-1alpha and sphingosine kinase 1 expression. PMID: 27821815
- Sphingosine kinase-1 (SK1) plays a crucial role in the metabolic reprogramming of human ovarian cancer cells. PMID: 28258651
- SphK1 is involved in maladaptive hypertrophy and we propose that heart failure might be an additional direct target for therapeutic intervention with SphK1 inhibitors. PMID: 28789830
- SPHK1 mediated autophagy is different in neurons and neuroblastoma cells PMID: 27467777
- Data indicate that the mitotic kinase Polo-like kinase 1 (PLK1) was an important effector of S1P-S1P5 signaling, and a new function of the SphK1-S1P pathway specifically in the control of mitosis in HeLa cells. PMID: 28351953
- SphKs/Sphingosine-1-phosphate signaling is critical for the growth and survival of estrogen receptor positive MCF-7 human breast cancer cells. PMID: 28108260
- SK1 activation is renoprotective via induction of autophagy in the fibrotic process PMID: 28733250
- Sphingosine kinase 1 is involved in papillary thyroid carcinoma development and progression and can serve as a potential biomarker predictive of lymph node metastasis. PMID: 28982849
- High SPHK1 expression is associated with hepatocellular carcinoma. PMID: 28206952
- we identified sphingosine kinase 1 (SPHK1) as a novel target of miR-506, the expression of which inhibited the SPHK1/Akt/NF-kappaB signaling pathway, which is activated in pancreatic cancer. High SPHK1 expression was significantly associated with poor survival in a large cohort of pancreatic cancer specimens. PMID: 27065335
- Inhibition of SPHK1 in human acute myeloid leukemia cells induces MCL1 degradation and caspase-dependent cell death. PMID: 27956387
- The analysis suggests that the catalytic function and regulation of SPHK1 and SPHK2 might be dependent on their conformational mobility. (Review) PMID: 27021309
- high expression associated with higher levels of sphingosine-1-phosphate, which in turn is associated with lymphatic metastasis in breast cancer PMID: 27621003
- our data suggest that SphK1 modulates the expression of EMT-related markers and cell migration by regulating the expression of p-FAK in CRC cells. Thus, SphK1 may play a functional role in mediating the EMT process in CRC. PMID: 28405684
- These results highlight the importance of sphingosine and its conversion to sphingosine-1-phosphate by SphK1 in endocytic membrane trafficking. PMID: 28049734
- By simulating therapeutic strategies that target multiple nodes of the pathway such as Raf and SphK1, we conclude that combination therapy should be much more effective in blocking VEGF signaling to EKR1/2. The model has important implications for interventions that target signaling pathways in angiogenesis relevant to cancer, vascular diseases, and wound healing. PMID: 28178265
- SphK1 is regulated by PDGF-BB in pulmonary artery smooth muscle cells via the transcription factor Egr-1, promoting cell proliferation. PMID: 27099350
- Melatonin-treated cells also exhibited an inhibition of the SphK1/S1P axis. Antifibrogenic effect of SphK1 inhibition was confirmed by treatment of LX2 cells with PF543. Abrogation of the lipid signaling pathway by the indole reveals novel molecular pathways that may account for the protective effect of melatonin in liver fibrogenesis. PMID: 27801960
- demonstrated the roles played by miR-144-3p and FN1 in mediating the oncogenic function of SphK1, which enhanced the understanding of the etiology of PTC PMID: 27942860
- SphK1 is associated with the proliferation and invasiveness of CRC cells and the SphK1 gene may contribute to a novel therapeutic approach against CRC. PMID: 26662312
- SPHK1 mRNA is up-regulation in colorectal cancer. PMID: 26937138
- Found that upregulation of SphK1 expression in the stiff substrate is dominant in metastatic cancer cells but not in primary cancer cells. These results suggest that alterations in the mechanical environment of the extracellular matrix surrounding the tumor cells actively regulate cellular properties such as secretion, which in turn, may contribute to cancer progression. PMID: 26877098
- In conclusion, these data suggested that HuR bound to SphK1 mRNA and played a crucial role in TGF-beta1-induced hepatic stellate cell activation. PMID: 26912347
- low oxLDL concentration triggers sprouting angiogenesis that involves ROS-induced activation of the neutral sphingomyelinase-2/sphingosine kinase-1 pathway, and is effectively inhibited by GW4869. PMID: 26855418
- SphK1 expression is functionally associated to cellular proliferation, apoptosis, invasion and mitotane sensitivity of adrenocortical carcinoma. PMID: 26673009
- Data show that long non-coding RNA HULC promotes tumor angiogenesis in liver cancer through microRNA miR-107/E2F1 transcription factor (E2F1)/sphingosine kinase 1 (SPHK1) signaling. PMID: 26540633
- High SPHK1 expression is associated with ovarian cancer. PMID: 26716409
- Sphk1 plays an important role in the malignant transformation of breast epithelial cells and modulates breast cancer metastasis through the regulation of Ecadherin expression. PMID: 26842184
- SPHK1 is involved in tumor development and progression of cervical cancer PMID: 26311741
- The silencing of SphK1 potentiated the apoptotic effects of the green tea polyphenol epigallocatechin-3-O-gallate. PMID: 26264277
- increased SK and SPL mRNA expression along with reduced sphingosine 1-phosphate levels were more commonly observed in hepatocellular carcinoma tissues. PMID: 26886371
- Hepatitis B virus X protein is able to elevate the expression of SPHK1 in hepatoma cells by upregulating transcription factor AP2 alpha. PMID: 26073327
- In summary, this study demonstrates a link between SphK1/sphingosine-1-phosphate and TGF-beta-induced miR-21 in renal tubular epithelial cells. PMID: 26376826
- High SPHK1 protein correlated with resistance to cisplatin (IC50) in an independent gastric cancer cell line panel and with survival of patients treated with chemotherapy prior to surgery but not in patients treated with surgery alone. PMID: 26493335
- MiR-506 suppresses the angiogenesis of liver cancer by inhibiting SPHK1. PMID: 26549227
顯示更多
收起更多
-
亞細胞定位:Cytoplasm. Nucleus. Cell membrane. Endosome membrane; Peripheral membrane protein. Membrane, clathrin-coated pit. Cell junction, synapse.
-
組織特異性:Widely expressed with highest levels in adult liver, kidney, heart and skeletal muscle. Expressed in brain cortex (at protein level).
-
數據庫鏈接:
Most popular with customers
-
-
YWHAB Recombinant Monoclonal Antibody
Applications: ELISA, WB, IHC, IF, FC
Species Reactivity: Human, Mouse, Rat
-
-
-
-
-
-















