SPATA7 Antibody
-
中文名稱:SPATA7兔多克隆抗體
-
貨號:CSB-PA503322
-
規格:¥1100
-
圖片:
-
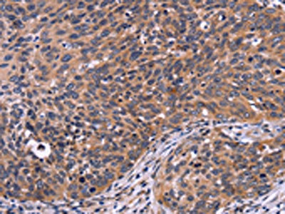
The image on the left is immunohistochemistry of paraffin-embedded Human thyroid cancer tissue using CSB-PA503322(SPATA7 Antibody) at dilution 1/30, on the right is treated with fusion protein. (Original magnification: ×200)
-
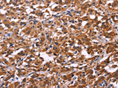
The image on the left is immunohistochemistry of paraffin-embedded Human cervical cancer tissue using CSB-PA503322(SPATA7 Antibody) at dilution 1/30, on the right is treated with fusion protein. (Original magnification: ×200)
-
-
其他:
產品詳情
-
Uniprot No.:
-
基因名:SPATA7
-
別名:SPATA7 antibody; HSD3 antibody; Spermatogenesis-associated protein 7 antibody; HSD-3.1 antibody; Spermatogenesis-associated protein HSD3 antibody
-
宿主:Rabbit
-
反應種屬:Human
-
免疫原:Fusion protein of Human SPATA7
-
免疫原種屬:Homo sapiens (Human)
-
標記方式:Non-conjugated
-
抗體亞型:IgG
-
純化方式:Antigen affinity purification
-
濃度:It differs from different batches. Please contact us to confirm it.
-
保存緩沖液:-20°C, pH7.4 PBS, 0.05% NaN3, 40% Glycerol
-
產品提供形式:Liquid
-
應用范圍:ELISA,IHC
-
推薦稀釋比:
Application Recommended Dilution ELISA 1:2000-1:5000 IHC 1:50-1:200 -
Protocols:
-
儲存條件:Upon receipt, store at -20°C or -80°C. Avoid repeated freeze.
-
貨期:Basically, we can dispatch the products out in 1-3 working days after receiving your orders. Delivery time maybe differs from different purchasing way or location, please kindly consult your local distributors for specific delivery time.
-
用途:For Research Use Only. Not for use in diagnostic or therapeutic procedures.
相關產品
靶點詳情
-
功能:Involved in the maintenance of both rod and cone photoreceptor cells. It is required for recruitment and proper localization of RPGRIP1 to the photoreceptor connecting cilium (CC), as well as photoreceptor-specific localization of proximal CC proteins at the distal CC. Maintenance of protein localization at the photoreceptor-specific distal CC is essential for normal microtubule stability and to prevent photoreceptor degeneration.
-
基因功能參考文獻:
- Compound heterozygous c.1100A > G, p.(Y367C) and c.1102_1103delCT, p.(L368Efs*4) variants in SPATA7 manifest as an unusual RP phenotype in this case, showing extensive choroidal sclerosis and retinal pigment epithelium (RPE) atrophy with evidence of progression over two years on multimodal imaging. PMID: 29411205
- We present the clinical and genetic findings of two siblings harboring the c.1112T>C/p.I371T homozygous mutation in the SPATA7 gene. PMID: 28481129
- The disease resulting from SPATA7 mutations in this patient initially presented as a cone-rod dystrophy (CRD), but changed over time into a phenotype more reminiscent of late-stage retinitis pigmentosa (RP). PMID: 26854980
- SPATA7 plays a role in RPGRIP1-mediated protein trafficking across the connecting cilium of photoreceptor cells. Apoptotic degeneration of these cells triggered by protein mislocalization is a mechanism of disease progression in LCA3/juvenile RP patients PMID: 25398945
- A novel homozygous large deletion in SPATA7 associated with juvenile retinitis pigmentosa has been found in a consanguineous Israeli Muslim Arab family. PMID: 25814828
- Digenic and triallelic mutations of CRB1 and SPATA7 were detected in a Chinese family with Leber congenital amaurosis. The results imply that CRB1 and SPATA7 may not interact with each other directly. PMID: 22219627
- In conclusion, our data established the first linkage association of a loss-of-function mutation in the SPATA7 gene with a typical retinitis pigmentosa (RP) phenotype and not with leber congenital amaurosis or early onset RP. PMID: 22136677
- Mutations in SPATA7 are a rare cause of childhood retinal dystrophy accounting for 1.7% of disease in this cohort. PMID: 21310915
- analysis of the SPATA7 mutations in Leber congenital amaurosis and the associated phenotype PMID: 20104588
- isolation and characterization of HSD-3.1 expressed in the testis PMID: 12736779
- Spata7 is expressed in the mature mouse retina. PMID: 19268277
顯示更多
收起更多
-
相關疾病:Leber congenital amaurosis 3 (LCA3); Retinitis pigmentosa autosomal recessive (ARRP)
-
亞細胞定位:Cytoplasm, cytoskeleton, cilium axoneme. Cytoplasm, cytoskeleton, cilium basal body. Cytoplasm, cytoskeleton. Cell projection, cilium, photoreceptor outer segment.
-
數據庫鏈接:
Most popular with customers
-
-
YWHAB Recombinant Monoclonal Antibody
Applications: ELISA, WB, IHC, IF, FC
Species Reactivity: Human, Mouse, Rat
-
Phospho-YAP1 (S127) Recombinant Monoclonal Antibody
Applications: ELISA, WB, IHC
Species Reactivity: Human
-
-
-
-
-















