SPAG8 Antibody
-
中文名稱:SPAG8兔多克隆抗體
-
貨號:CSB-PA269500
-
規格:¥1100
-
圖片:
-
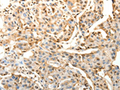
The image on the left is immunohistochemistry of paraffin-embedded Human cervical cancer tissue using CSB-PA269500(SPAG8 Antibody) at dilution 1/25, on the right is treated with fusion protein. (Original magnification: ×200)
-
The image on the left is immunohistochemistry of paraffin-embedded Human lung cancer tissue using CSB-PA269500(SPAG8 Antibody) at dilution 1/25, on the right is treated with fusion protein. (Original magnification: ×200)
-
-
其他:
產品詳情
-
Uniprot No.:
-
基因名:SPAG8
-
別名:BS 84 antibody; CILD28 antibody; HSD 1 antibody; HSD-1 antibody; HSD1 antibody; hSMP1 antibody; MGC26201 antibody; MH SPAG8 antibody; OTTHUMP00000021352 antibody; OTTMUSP00000032209 antibody; SMP-1 antibody; SMP1 antibody; SPAG3 antibody; SPAG8 antibody; SPAG8_HUMAN antibody; Sperm associated antigen 8 antibody; Sperm associated antigen 8 like protein antibody; Sperm membrane protein 1 antibody; Sperm membrane protein BS-84 antibody; Sperm-associated antigen 8 antibody; Testicular tissue protein Li 177 antibody
-
宿主:Rabbit
-
反應種屬:Human
-
免疫原:Fusion protein of Human SPAG8
-
免疫原種屬:Homo sapiens (Human)
-
標記方式:Non-conjugated
-
抗體亞型:IgG
-
純化方式:Antigen affinity purification
-
濃度:It differs from different batches. Please contact us to confirm it.
-
保存緩沖液:-20°C, pH7.4 PBS, 0.05% NaN3, 40% Glycerol
-
產品提供形式:Liquid
-
應用范圍:ELISA,IHC
-
推薦稀釋比:
Application Recommended Dilution ELISA 1:1000-1:5000 IHC 1:25-1:100 -
Protocols:
-
儲存條件:Upon receipt, store at -20°C or -80°C. Avoid repeated freeze.
-
貨期:Basically, we can dispatch the products out in 1-3 working days after receiving your orders. Delivery time maybe differs from different purchasing way or location, please kindly consult your local distributors for specific delivery time.
-
用途:For Research Use Only. Not for use in diagnostic or therapeutic procedures.
相關產品
靶點詳情
-
功能:Plays a role in spermatogenesis by enhancing the binding of CREM isoform tau to its coactivator FHL5 and increasing the FHL5-regulated transcriptional activation of CREM isoform tau. Involved in the acrosome reaction and in binding of sperm to the zona pellucida. Plays a role in regulation of the cell cycle by controlling progression through the G2/M phase, possibly by delaying the activation of CDK1 which is required for entry into mitosis. May play a role in fertility and microtubule formation through interaction with RANBP9.
-
基因功能參考文獻:
- Results indicate that SPAG8 acts as a regulator of ACT and plays an important role in CREM-ACT-mediated gene transcription during spermatogenesis. PMID: 20488182
- The antibody of this recombinant protein inhibits the mouse acrosome reaction and prmits mouse sperm-zona pellucida binding. PMID: 17187156
- Sperm associated antigen 8 might be involved in the regulation of cell cycle by changing the phosphorylation level of Tyr15 on CDC2 Protein Kinase. PMID: 19548270
-
亞細胞定位:Cytoplasm. Nucleus. Cytoplasmic vesicle, secretory vesicle, acrosome. Cytoplasm, cytoskeleton, microtubule organizing center. Cytoplasm, cytoskeleton, spindle.
-
蛋白家族:SPAG8 family
-
組織特異性:Expressed in testis (germ cells), but not in liver, kidney, prostate and small intestine.
-
數據庫鏈接:
Most popular with customers
-
-
YWHAB Recombinant Monoclonal Antibody
Applications: ELISA, WB, IHC, IF, FC
Species Reactivity: Human, Mouse, Rat
-
Phospho-YAP1 (S127) Recombinant Monoclonal Antibody
Applications: ELISA, WB, IHC
Species Reactivity: Human
-
-
-
-
-















