SOX11 Antibody
-
中文名稱:SOX11兔多克隆抗體
-
貨號:CSB-PA657438
-
規格:¥1100
-
圖片:
-
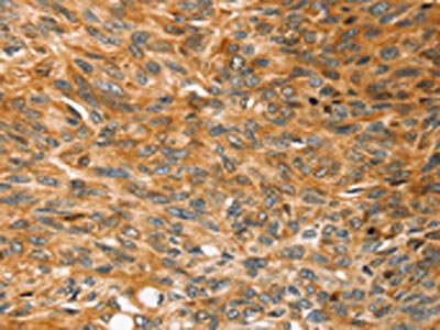
The image on the left is immunohistochemistry of paraffin-embedded Human esophagus cancer tissue using CSB-PA657438(SOX11 Antibody) at dilution 1/20, on the right is treated with synthetic peptide. (Original magnification: ×200)
-
The image on the left is immunohistochemistry of paraffin-embedded Human breast cancer tissue using CSB-PA657438(SOX11 Antibody) at dilution 1/20, on the right is treated with synthetic peptide. (Original magnification: ×200)
-
-
其他:
產品詳情
-
Uniprot No.:
-
基因名:
-
別名:MRD27 antibody; SOX11 antibody; SOX11_HUMAN antibody; SRY (sex determining region Y) box 11 antibody; SRY related HMG box gene 11 antibody; SRY-box 11 antibody; Transcription factor SOX-11 antibody
-
宿主:Rabbit
-
反應種屬:Human,Mouse,Rat
-
免疫原:Synthetic peptide of Human SOX11
-
免疫原種屬:Homo sapiens (Human)
-
標記方式:Non-conjugated
-
抗體亞型:IgG
-
純化方式:Antigen affinity purification
-
濃度:It differs from different batches. Please contact us to confirm it.
-
保存緩沖液:-20°C, pH7.4 PBS, 0.05% NaN3, 40% Glycerol
-
產品提供形式:Liquid
-
應用范圍:ELISA,IHC
-
推薦稀釋比:
Application Recommended Dilution ELISA 1:2000-1:5000 IHC 1:25-1:100 -
Protocols:
-
儲存條件:Upon receipt, store at -20°C or -80°C. Avoid repeated freeze.
-
貨期:Basically, we can dispatch the products out in 1-3 working days after receiving your orders. Delivery time maybe differs from different purchasing way or location, please kindly consult your local distributors for specific delivery time.
-
用途:For Research Use Only. Not for use in diagnostic or therapeutic procedures.
相關產品
靶點詳情
-
功能:Transcription factor that acts as a transcriptional activator. Binds cooperatively with POU3F2/BRN2 or POU3F1/OCT6 to gene promoters, which enhances transcriptional activation. Acts as a transcriptional activator of TEAD2 by binding to its gene promoter and first intron. Plays a redundant role with SOX4 and SOX12 in cell survival of developing tissues such as the neural tube, branchial arches and somites, thereby contributing to organogenesis.
-
基因功能參考文獻:
- Data demonstrate a key role for SOX11 in normal kidney development and may suggest that variants in this gene predispose to CAKUT. PMID: 29459093
- miR-223 was found to be negatively correlated with the mRNA level of SOX11 in clinical samples. Our work demonstrates for the first time that miR-223 is repressed and correlated with high-risk clinical features in MCL, which provides a potential molecule to target to optimize MCL management. PMID: 29158064
- SOX11 hypermethylation was associated with adverse clinicopathological characteristics of prostate cancer PMID: 29315911
- Our results confirm high specificity of SOX11 expression as a molecular marker for minimal residual disease in mantle cell lymphoma PMID: 29520657
- Both SOX11 and TFE3 were overexpressed in solid-pseudopapillary neoplasms (SPNs) and may be involved in the pathogenesis. PMID: 29272888
- Studied the association between miR-211-5p and SOX11 in regards to proliferation, viability, and invasion of human thyroid cancer (TC) cells. Found miR-211-5p was upregulated and SOX11 was downregulated in TC tissues and cell lines, and found By inhibiting SOX11, miR-211- 5p suppressed the proliferation and invasion of the TC cells. PMID: 28703321
- REVIEW: addresses the implication of SOX11 overexpression and frequent genetic lesions, cooperating with cyclin D1 underlying the pathogenesis of mantle cell lymphoma PMID: 28466437
- our work casts new light on the biology of mantle cell lymphoma (MCL), revealing the role of SOX11 exerting a functional effect through the repression of BCL6 transcription in MCL cells PMID: 26710884
- Study showed for the first time that HIG-2 and SOX11 mutually co-regulate each other, and that HIG-2 and SOX11 knock-down promote increased proliferation in a non-synergistic manner in primary mantle cell lymphoma cells. PMID: 26757780
- Solid pseudopapillary neoplasms (SPNs) showed positive staining for SRY-related high-mobility group box 11 (SOX-11), transcription factor E3 (TFE3) and beta-catenin on cell blocks. PMID: 29045075
- SOX11 (sex determining region Y-box 11) was inversely expressed with miR-223-3p in ovarian cancer (OC) cell lines and tissue specimens. miR-223-3p mimic decreased SOX11 expression. Overexpressing SOX11 inhibited ovarian cancer cell proliferation and invasion, which indicated that miR-223-3p regulated OC cell proliferation and invasion through targeting SOX11 expression. PMID: 28587313
- Our studies demonstrate that SOX11 is a critical regulator of multiple basal-like breast cancer phenotypes, including growth, migration, invasion, and expression of signature basal-like breast cancer genes PMID: 26894864
- findings suggest that SOX11 is a potential biomarker for ductal carcinoma in situ lesions containing cells harbouring distinct biological features that are likely to progress to invasive breast cancer. PMID: 28707729
- SOX11 antigen can be reliably detected in decalcified tissue bone marrow tissue from mantle cell lymphoma patients. PMID: 27720733
- results suggest that SOX11 promotes MCL homing and invasion and increases CAM-DR through the direct regulation of CXCR4 and FAK expression and FAK/PI3K/AKT pathway activation, contributing to a more aggressive phenotype. PMID: 28533307
- Analysis of 28 other patients with CHARGE showed no SOX11 copy number changes or pathogenic sequence variants. To our knowledge, this child's chromosomal abnormality is unique and represents the first co-occurrence of duplication 2p25 and clinical features of CHARGE syndrome PMID: 26850571
- SOX11 immunohistochemistry could be a useful adjunct in distinguishing secondary cutaneous mantle cell lymphoma from primary cutaneous B-cell lymphomas. PMID: 26762898
- BLIMP1 and XBP1 expression was also significantly more frequent in SOX11-negative than in -positive cases PMID: 26360498
- SOX11 is useful in differentiating cyclin D1-positive diffuse large B-cell lymphoma from mantle cell lymphoma PMID: 22642745
- SOX11 deletion or mutation can present with a Coffin-Siris phenotype PMID: 26543203
- The ability of sox11 to reduce effector caspase activity was also reflected in its capacity to reduce cell death following toxic insult. Interestingly, other sox proteins also had the ability to reduce caspase-6 activity but to a lesser extent than sox11 PMID: 26505998
- Results show that in non-malignant cells, SOX11 is strongly marked by enrichment of H3K27me3 while tumors in general show promoter DNA methylation. PMID: 25880212
- The utility of mRNA analysis in defining SOX11 expression levels in mantle cell lymphoma and reactive lymph nodes. PMID: 25887497
- implementing detection of SOX11 in diagnostic flow cytometry would be beneficial for accurate and reliable diagnosis of MCL, especially for distinguishing cases of MCL and B-CLL/SLL with aberrant immune phenotypes PMID: 25120048
- Our results indicate that aberrant SOX11 gene promoter methylation may underlie its down-regulation in Gastric cancer PMID: 25801783
- The results of this study suggest that differential miRNA expression in neurons could contribute to an altered function of the transcription factor SOX11 and other genes in the setting of epilepsy PMID: 25766675
- SOX11 overexpression suppresses PCa cell migration and invasion. In conclusion, our findings demonstrate that SOX11 could suppress cell proliferation, migration, and invasion of PCa in vitro. PMID: 25773392
- These results suggest SOX11 as a possible biomarker that adds new biological information that could contribute to a better understanding of this pathology PMID: 25608839
- De novo SOX11 mutations cause Coffin-Siris syndrome. Sox11 is expressed in fetal brain and adult brain and heart tissue. PMID: 24886874
- Currently, there are contradictions regarding the association of SOX11 gene expression and outcome in MCL, while some authors have related the lack of SOX11 expression with good prognosis, others find it associated with an adverse clinical course. PMID: 24736261
- SOX11 directly binds to genes in critical intracellular pathways controlling cell cycle and proliferation in MCL. PMID: 24681958
- High nuclear SOX11 expression to be associated with more prolonged overall survival. PMID: 25041022
- High SOX11 expression is associated with mantle cell lymphoma. PMID: 25056830
- PDGFA is a SOX11 direct target gene upregulated in MCL cells whose inhibition impaired SOX11-enhanced in vitro angiogenic effects on endothelial cells PMID: 25092176
- IHC revealed protein expression of all four genes. IHC staining for ADAM12, FAP, and WISP1 correlated with CDR and was higher, whereas SOX11 staining was lower in tumors with earlier recurrence following excision PMID: 24402778
- Results show that SOX11 is a potential tumor-suppressor and an independent positive prognostic factor in gastric cancer patients with less advanced clinicopathological features. PMID: 24604109
- This is the first report stating that quantification of SOX11 can be used as an minimal residual disease marker equal to the key translocation t(11;14) in Mantle cell lymphoma. PMID: 24878000
- patients with SOX11 expression showed a shorter TTT and SOX11-expressing MCL patients showed probably a more indolent course, but further analyses within a larger cohort are warranted to prove the independent diagnostic role of SOX11 expression PMID: 23648671
- SOX11 is overexpressed in cutaneous malignant melanoma patients. PMID: 23867449
- Characterize the new monoclonal anti-SOX11 antibodies, suitable for Western blot assay and immunohistochemistry. PMID: 24145648
- SOX11 is not able to identify mantle cell lymphoma from B-cell non-Hodgkin lymphomas PMID: 24225745
- There was statistically significant differences in SOX11 mRNA expression between mantle cell lymphoma and other B-cell non-Hodgkin lymphomas. PMID: 22967417
- The importance of Sox11 expression as a favourable prognosticator in glioblastomas. PMID: 23619925
- We confirm the importance of SOX11 as a diagnostic antigen in MCL as 100% of tissue micro array (TMA) cases show bright nuclear staining, using the SOX11-C1 antibody in IHC-P. PMID: 22738398
- SOX11 contributes to tumor development by altering the terminal B-cell differentiation program of mantle cell lymphoma. PMID: 23321250
- Downregulation of SOX11 is associated with neurodevelopmental defects in trisomies 21. PMID: 22752091
- significant difference between the expression levels of SOX11 in patients with mantle cell lymphoma at diagnosis (n = 21) and in healthy donors (n = 18) (blood: P < 0.0001; marrow: P = 0.0001) PMID: 22827557
- observations suggest the idea that MCL with mutated IGHV, SOX11-negativity, and nonnodal presentation correspond to a subtype of the disease with more indolent behavior PMID: 22915760
- High expression of SOX11 is associated with mantle cell lymphoma. PMID: 21479697
- In vitro studies demonstrated a SOX11-dependent regulation of mantle cell lymphoma - specific gene expression. PMID: 21880559
顯示更多
收起更多
-
相關疾?。?/div>Mental retardation, autosomal dominant 27 (MRD27)亞細胞定位:Nucleus.組織特異性:Expressed primarily in the brain and heart, with low expression in the kidney, pancreas and muscle.數據庫鏈接:
Most popular with customers
-
-
YWHAB Recombinant Monoclonal Antibody
Applications: ELISA, WB, IHC, IF, FC
Species Reactivity: Human, Mouse, Rat
-
Phospho-YAP1 (S127) Recombinant Monoclonal Antibody
Applications: ELISA, WB, IHC
Species Reactivity: Human
-
-
-
-
-















