SOCS6 Antibody
-
中文名稱:SOCS6兔多克隆抗體
-
貨號:CSB-PA022395ESR1HU
-
規格:¥440
-
圖片:
-
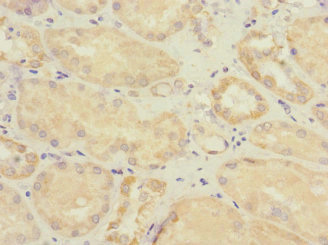
Immunohistochemistry of paraffin-embedded human kidney tissue using CSB-PA022395ESR1HU at dilution of 1:100
-
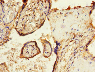
Immunohistochemistry of paraffin-embedded human placenta tissue using CSB-PA022395ESR1HU at dilution of 1:100
-
Immunofluorescent analysis of A549 cells using CSB-PA022395ESR1HU at dilution of 1:100 and Alexa Fluor 488-congugated AffiniPure Goat Anti-Rabbit IgG(H+L)
-
-
其他:
產品詳情
-
產品名稱:Rabbit anti-Homo sapiens (Human) SOCS6 Polyclonal antibody
-
Uniprot No.:
-
基因名:
-
別名:CIS-4 antibody; CIS4 antibody; Cish4 antibody; Cytokine inducible SH2 protein 4 antibody; Cytokine-inducible SH2 protein 4 antibody; HSPC060 antibody; SOCS-4 antibody; SOCS-6 antibody; SOCS4 antibody; Socs6 antibody; SOCS6_HUMAN antibody; SSI4 antibody; STAI4 antibody; STAT induced STAT inhibitor 4 antibody; STAT4 antibody; STATI4 antibody; Suppressor of cytokine signaling 4 antibody; Suppressor of cytokine signaling 6 antibody
-
宿主:Rabbit
-
反應種屬:Human
-
免疫原:Recombinant Human Suppressor of cytokine signaling 6 protein (1-210AA)
-
免疫原種屬:Homo sapiens (Human)
-
標記方式:Non-conjugated
-
克隆類型:Polyclonal
-
抗體亞型:IgG
-
純化方式:Antigen Affinity Purified
-
濃度:It differs from different batches. Please contact us to confirm it.
-
保存緩沖液:PBS with 0.02% sodium azide, 50% glycerol, pH7.3.
-
產品提供形式:Liquid
-
應用范圍:ELISA, IHC, IF
-
推薦稀釋比:
Application Recommended Dilution IHC 1:20-1:200 IF 1:50-1:200 -
Protocols:
-
儲存條件:Upon receipt, store at -20°C or -80°C. Avoid repeated freeze.
-
貨期:Basically, we can dispatch the products out in 1-3 working days after receiving your orders. Delivery time maybe differs from different purchasing way or location, please kindly consult your local distributors for specific delivery time.
-
用途:For Research Use Only. Not for use in diagnostic or therapeutic procedures.
相關產品
靶點詳情
-
功能:SOCS family proteins form part of a classical negative feedback system that regulates cytokine signal transduction. May be a substrate recognition component of a SCF-like ECS (Elongin BC-CUL2/5-SOCS-box protein) E3 ubiquitin-protein ligase complex which mediates the ubiquitination and subsequent proteasomal degradation of target proteins. Regulates KIT degradation by ubiquitination of the tyrosine-phosphorylated receptor.
-
基因功能參考文獻:
- Together, our data provide important evidence for miR-19 mediated SOCS6 in OS growth and revealed miR-19/SOCS6/JAK2/STAT3 pathway as a potential therapeutic strategy for OS patients. PMID: 28986253
- Results indicate that similar to PTEN pseudogene (PTENP1), suppressor of cytokine signaling 6 protein (SOCS6) expression was also significantly lower in esophageal squamous cell carcinoma (ESCC) samples. PMID: 28731203
- our results describe for the first time the role of miR-494-3p during normal hematopoietic stem/progenitor cells differentiation and suggest that its increased expression, and the subsequent downregulation of its target SOCS6, might contribute to the megakaryocyte hyperplasia commonly observed in primary myelofibrosis patients. PMID: 28423484
- miR-142-3p regulates NPC development by down-regulating SOCS6 expression and suggest that modulation of miR-142-3p expression could be a therapeutic strategy for NPC PMID: 26183850
- Studied both the function of upregulated miR-424-5p in pancreatic cancer and how downstream suppressor of cytokine-induced signaling 6 (SOCS6) is negatively regulated by miR-424-5p. PMID: 23653113
- miR-17-5p might function as a pro-proliferative factor by repressing SOCS6 in gastric cancer PMID: 24801601
- Results show that SOCS6 forms complex with DRP1 and the mitochondrial phosphatase PGAM5, attenuates DRP1 phosphorylation, and promotes DRP1 mitochondrial translocation. PMID: 22955947
- SOCS6 negatively regulates Flt3 activation, the downstream Erk signaling pathway, and cell proliferation. PMID: 22952242
- Reduced copy number and mRNA expression of SOCS6 are associated with disease recurrence in primary lung squamous cell carcinoma and may be useful prognostic biomarkers. PMID: 22363434
- The results may contribute to understanding SOCS5 and SOCS6 expression regulation in various cancer tissues, and show that these two factors may be used for diagnosing cancer. PMID: 22081311
- SOCS6 has ubiquitin ligase activity toward c-KIT PMID: 21030588
- These results establish that SOCS-6 acts as a negative regulator of T cell activation by promoting ubiquitin-dependent proteolysis of p56(lck). PMID: 20007709
- Data support the importance of loss-of-function of SOCS6 as a frequent event in gastric tumorigenesis. PMID: 19646809
- HOIL-1 expression stabilizes SOCS6 and induces the ubiquitination and degradation of proteins associated with SOCS6 PMID: 16643902
- These observations suggest that Erk activation may be correlated in the cells with high expression of SOCS6. PMID: 17210122
- These observations suggest that SOCS6 is composed of at least two functional domains required for its biological role in localizing and degrading Stat3 in the nucleus. PMID: 17603019
- Study demonstrated that hypermethylation of the SOCS6 promoter is one of the mechanisms for the epigenetic regulation of SOCS6 expression. PMID: 19716864
顯示更多
收起更多
-
數據庫鏈接:
Most popular with customers
-
-
YWHAB Recombinant Monoclonal Antibody
Applications: ELISA, WB, IHC, IF, FC
Species Reactivity: Human, Mouse, Rat
-
Phospho-YAP1 (S127) Recombinant Monoclonal Antibody
Applications: ELISA, WB, IHC
Species Reactivity: Human
-
-
-
-
-















