SNX3 Antibody
-
中文名稱:SNX3兔多克隆抗體
-
貨號:CSB-PA983441
-
規格:¥1100
-
圖片:
-
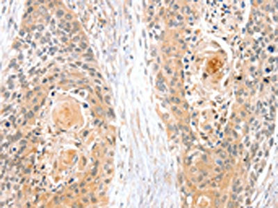
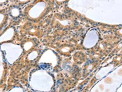
The image on the left is immunohistochemistry of paraffin-embedded Human thyroid cancer tissue using CSB-PA983441(SNX3 Antibody) at dilution 1/35, on the right is treated with synthetic peptide. (Original magnification: ×200)
-
The image on the left is immunohistochemistry of paraffin-embedded Human esophagus cancer tissue using CSB-PA983441(SNX3 Antibody) at dilution 1/35, on the right is treated with synthetic peptide. (Original magnification: ×200)
-
Gel: 12%SDS-PAGE, Lysate: 40 μg, Lane 1-3: A549 cells, lovo cells, hela cells, Primary antibody: CSB-PA983441(SNX3 Antibody) at dilution 1/250, Secondary antibody: Goat anti rabbit IgG at 1/8000 dilution, Exposure time: 2 minutes
-
-
其他:
產品詳情
-
Uniprot No.:
-
基因名:
-
別名:Grd19 antibody; MCOPS8 antibody; MGC151262 antibody; MGC151266 antibody; MGC17570 antibody; OTTHUMP00000016941 antibody; OTTHUMP00000046475 antibody; OTTHUMP00000046476 antibody; Protein SDP3 antibody; SDP3 antibody; SNX3 antibody; SNX3_HUMAN antibody; SNX3A antibody; Sorting nexin 3 antibody; Sorting nexin 3A antibody; Sorting nexin-3 antibody
-
宿主:Rabbit
-
反應種屬:Human,Mouse,Rat
-
免疫原:Synthetic peptide of Human SNX3
-
免疫原種屬:Homo sapiens (Human)
-
標記方式:Non-conjugated
-
抗體亞型:IgG
-
純化方式:Antigen affinity purification
-
濃度:It differs from different batches. Please contact us to confirm it.
-
保存緩沖液:-20°C, pH7.4 PBS, 0.05% NaN3, 40% Glycerol
-
產品提供形式:Liquid
-
應用范圍:ELISA,WB,IHC
-
推薦稀釋比:
Application Recommended Dilution ELISA 1:1000-1:2000 WB 1:200-1:1000 IHC 1:25-1:100 -
Protocols:
-
儲存條件:Upon receipt, store at -20°C or -80°C. Avoid repeated freeze.
-
貨期:Basically, we can dispatch the products out in 1-3 working days after receiving your orders. Delivery time maybe differs from different purchasing way or location, please kindly consult your local distributors for specific delivery time.
-
用途:For Research Use Only. Not for use in diagnostic or therapeutic procedures.
相關產品
靶點詳情
-
功能:Phosphoinositide-binding protein required for multivesicular body formation. Specifically binds phosphatidylinositol 3-phosphate (PtdIns(P3)). Also can bind phosphatidylinositol 4-phosphate (PtdIns(P4)), phosphatidylinositol 5-phosphate (PtdIns(P5)) and phosphatidylinositol 3,5-biphosphate (PtdIns(3,5)P2). Plays a role in protein transport between cellular compartments. Together with RAB7A facilitates endosome membrane association of the retromer cargo-selective subcomplex (CSC/VPS). May in part act as component of the SNX3-retromer complex which mediates the retrograde endosome-to-TGN transport of WLS distinct from the SNX-BAR retromer pathway. Promotes stability and cell surface expression of epithelial sodium channel (ENAC) subunits SCNN1A and SCNN1G. Not involved in EGFR degradation. Involved in the regulation of phagocytosis in dendritic cells possibly by regulating EEA1 recruitment to the nascent phagosomes. Involved in iron homeostasis through regulation of endocytic recycling of the transferrin receptor TFRC presumably by delivering the transferrin:transferrin receptor complex to recycling endosomes; the function may involve the CSC retromer subcomplex. In the case of Salmonella enterica infection plays arole in maturation of the Salmonella-containing vacuole (SCV) and promotes recruitment of LAMP1 to SCVs.
-
基因功能參考文獻:
- SNX3-retromer complex regulates the surface expression and function of PC1 and PC2 PMID: 28620080
- X-ray crystallographic analysis of a 4-component complex comprising the VPS26 & VPS35 subunits of retromer, sorting nexin SNX3, & recycling signal from the divalent cation transporter DMT1-II; analysis identifies a binding site for canonical recycling signals at the interface between VPS26 & SNX3; shows cooperative interactions among the VPS subunits, SNX3 & cargo that couple signal-recognition to membrane recruitment. PMID: 27889239
- Data show that over-expression of sorting nexin 3 (hSNX3) alters the morphology of colon cancer SW620 cells, but hardly affects cell migration. PMID: 26271979
- SNX3 negatively regulates phagocytosis in DC possibly by modulating recruitment of essential PI3P lipid-binding proteins of the phagocytic pathways, such as EEA1, to phagosomal membranes. PMID: 23237080
- This study found that four significant SNX3 SNPs in the discovery sample were replicated in a community-based sample of Israeli-Arabs PMID: 22673115
- SNX3 and SNX5 play essential roles in the aspirin-mediated accumulation of endocytosed-TfnR at the early/sorting endosome PMID: 22159558
- SNX3 plays a significant role in regulating the maturation of Salmonella containing vacuoles. PMID: 20482551
- Sorting nexin 3 (SNX3) is disrupted in a patient with a translocation t(6;13)(q21;q12) and microcephaly, microphthalmia, ectrodactyly, prognathism (MMEP) phenotype PMID: 12471201
- we cannot exclude the possibility that deletions at SNX3 may underlie MMEP, given that sequencing is unable to distinguish between homozygosity across loci versus large deletions PMID: 17655765
- Data show that Hrs is essential for lysosomal targeting but not multivesicular body biogenesis and transport to late endosomes, while SNX3 is required for multivesicular body formation, but not for EGF receptor degradation. PMID: 18767904
顯示更多
收起更多
-
相關疾病:Microphthalmia, syndromic, 8 (MCOPS8)
-
亞細胞定位:Early endosome. Cytoplasmic vesicle, phagosome.
-
蛋白家族:Sorting nexin family
-
數據庫鏈接:
Most popular with customers
-
-
YWHAB Recombinant Monoclonal Antibody
Applications: ELISA, WB, IHC, IF, FC
Species Reactivity: Human, Mouse, Rat
-
Phospho-YAP1 (S127) Recombinant Monoclonal Antibody
Applications: ELISA, WB, IHC
Species Reactivity: Human
-
-
-
-
-
VCP Recombinant Monoclonal Antibody
Applications: ELISA, WB, IHC, IF, IP
Species Reactivity: Human, Rat















