SNX18 Antibody
-
中文名稱:SNX18兔多克隆抗體
-
貨號:CSB-PA850423ESR1HU
-
規格:¥440
-
圖片:
-
Western blot
All lanes: SNX18 antibody at 1.6µg/ml
Lane 1: A549 whole cell lysate
Lane 2: Hela whole cell lysate
Lane 3: Mouse kidney tissue
Secondary
Goat polyclonal to rabbit IgG at 1/10000 dilution
Predicted band size: 69, 70, 65 kDa
Observed band size: 69 kDa -
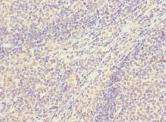
Immunohistochemistry of paraffin-embedded human tonsil tissue using CSB-PA850423ESR1HU at dilution of 1:100
-
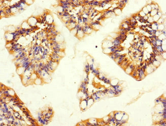
Immunohistochemistry of paraffin-embedded human small intestine tissue using CSB-PA850423ESR1HU at dilution of 1:100
-
-
其他:
產品詳情
-
產品名稱:Rabbit anti-Homo sapiens (Human) SNX18 Polyclonal antibody
-
Uniprot No.:
-
基因名:SNX18
-
別名:FLJ11997 antibody; FLJ32560 antibody; FLJ61062 antibody; MGC150827 antibody; MGC150829 antibody; SH3 and PX domain containing protein 3B antibody; SH3 and PX domain-containing protein 3B antibody; SH3PX2 antibody; SH3PXD3B antibody; SNAG 1 antibody; SNAG1 antibody; SNX18 antibody; SNX18_HUMAN antibody; Sorting nexin 18 antibody; Sorting nexin associated golgi protein 1 antibody; Sorting nexin-18 antibody; Sorting nexin-associated Golgi protein 1 antibody
-
宿主:Rabbit
-
反應種屬:Human, Mouse
-
免疫原:Recombinant Human Sorting nexin-18 protein (449-628AA)
-
免疫原種屬:Homo sapiens (Human)
-
標記方式:Non-conjugated
-
克隆類型:Polyclonal
-
抗體亞型:IgG
-
純化方式:Antigen Affinity Purified
-
濃度:It differs from different batches. Please contact us to confirm it.
-
保存緩沖液:PBS with 0.02% sodium azide, 50% glycerol, pH7.3.
-
產品提供形式:Liquid
-
應用范圍:ELISA, WB, IHC
-
推薦稀釋比:
Application Recommended Dilution WB 1:1000-1:5000 IHC 1:20-1:200 -
Protocols:
-
儲存條件:Upon receipt, store at -20°C or -80°C. Avoid repeated freeze.
-
貨期:Basically, we can dispatch the products out in 1-3 working days after receiving your orders. Delivery time maybe differs from different purchasing way or location, please kindly consult your local distributors for specific delivery time.
-
用途:For Research Use Only. Not for use in diagnostic or therapeutic procedures.
相關產品
靶點詳情
-
功能:Involved in endocytosis and intracellular vesicle trafficking, both during interphase and at the end of mitosis. Required for efficient progress through mitosis and cytokinesis. Required for normal formation of the cleavage furrow at the end of mitosis. Plays a role in endocytosis via clathrin-coated pits, but also clathrin-independent, actin-dependent fluid-phase endocytosis. Plays a role in macropinocytosis. Binds to membranes enriched in phosphatidylinositol 4,5-bisphosphate and promotes membrane tubulation. Stimulates the GTPase activity of DNM2. Promotes DNM2 location at the plasma membrane. Together with DNM2, involved in autophagosome assembly by regulating trafficking from recycling endosomes of phospholipid scramblase ATG9A.
-
基因功能參考文獻:
- SNX18 promotes autophagosome formation by virtue of its ability to remodel membranes and provide membrane to forming autophagosomes. PMID: 23878278
- The sorting nexin 9 (SNX9) subfamily members - SNX9, SNX18 and SNX33 - are required for progression and completion of mitosis. PMID: 22718350
- FIP5-SNX18 complex plays a pivotal role in the polarized transport of apical proteins during apical lumen initiation in epithelial cells. PMID: 21969467
- functions in multiple pathways of endocytosis at the plasma membrane PMID: 20427313
- The results indicate that SNX9-family members make up discrete membrane-scission units together with dynamin, and suggest that SNX18 mediates budding of carriers for AP-1-positive endosomal trafficking. PMID: 18411244
顯示更多
收起更多
-
亞細胞定位:Endomembrane system; Peripheral membrane protein; Cytoplasmic side. Endosome membrane; Peripheral membrane protein; Cytoplasmic side. Recycling endosome membrane; Peripheral membrane protein; Cytoplasmic side. Cell membrane; Peripheral membrane protein; Cytoplasmic side. Cytoplasmic vesicle membrane; Peripheral membrane protein; Cytoplasmic side.
-
蛋白家族:Sorting nexin family
-
數據庫鏈接:
Most popular with customers
-
-
YWHAB Recombinant Monoclonal Antibody
Applications: ELISA, WB, IHC, IF, FC
Species Reactivity: Human, Mouse, Rat
-
Phospho-YAP1 (S127) Recombinant Monoclonal Antibody
Applications: ELISA, WB, IHC
Species Reactivity: Human
-
-
-
-
-















