SNX16 Antibody
-
中文名稱:SNX16兔多克隆抗體
-
貨號:CSB-PA022360LA01HU
-
規格:¥440
-
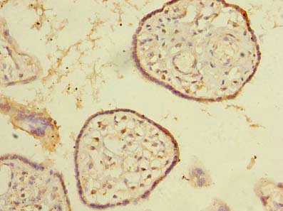
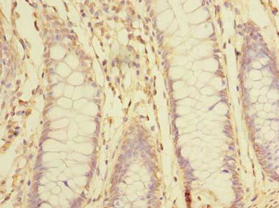
圖片:
-
其他:
產品詳情
-
產品名稱:Rabbit anti-Homo sapiens (Human) SNX16 Polyclonal antibody
-
Uniprot No.:
-
基因名:SNX16
-
別名:DKFZp666H147 antibody; OTTHUMP00000227313 antibody; OTTHUMP00000227314 antibody; SNX16 antibody; SNX16_HUMAN antibody; Sorting nexin-16 antibody
-
宿主:Rabbit
-
反應種屬:Human
-
免疫原:Recombinant Human Sorting nexin-16 protein (1-342AA)
-
免疫原種屬:Homo sapiens (Human)
-
標記方式:Non-conjugated
本頁面中的產品,SNX16 Antibody (CSB-PA022360LA01HU),的標記方式是Non-conjugated。對于SNX16 Antibody,我們還提供其他標記。見下表:
-
克隆類型:Polyclonal
-
抗體亞型:IgG
-
純化方式:>95%, Protein G purified
-
濃度:It differs from different batches. Please contact us to confirm it.
-
保存緩沖液:Preservative: 0.03% Proclin 300
Constituents: 50% Glycerol, 0.01M PBS, PH 7.4 -
產品提供形式:Liquid
-
應用范圍:ELISA, IHC
-
推薦稀釋比:
Application Recommended Dilution IHC 1:20-1:200 -
Protocols:
-
儲存條件:Upon receipt, store at -20°C or -80°C. Avoid repeated freeze.
-
貨期:Basically, we can dispatch the products out in 1-3 working days after receiving your orders. Delivery time maybe differs from different purchasing way or location, please kindly consult your local distributors for specific delivery time.
-
用途:For Research Use Only. Not for use in diagnostic or therapeutic procedures.
相關產品
靶點詳情
-
功能:May be involved in several stages of intracellular trafficking. Plays a role in protein transport from early to late endosomes. Plays a role in protein transport to the lysosome. Promotes degradation of EGFR after EGF signaling. Plays a role in intracellular transport of vesicular stomatitis virus nucleocapsids from the endosome to the cytoplasm.
-
基因功能參考文獻:
- SNX16 regulates the recycling trafficking of E-cadherin . SNX16 associates with the cytoplasmic domain of E-cadherin via PPII/alpha2 loop. PMID: 28712807
- SNX16 is a sorting nexin that may function in the trafficking of proteins between the early and late endosomal compartments PMID: 12813048
-
亞細胞定位:Early endosome membrane; Peripheral membrane protein; Cytoplasmic side. Late endosome membrane; Peripheral membrane protein; Cytoplasmic side. Cytoplasm. Lysosome.
-
蛋白家族:Sorting nexin family
-
組織特異性:Detected in placenta, lung, liver,heart and pancreas.
-
數據庫鏈接:
Most popular with customers
-
YWHAB Recombinant Monoclonal Antibody
Applications: ELISA, WB, IHC, IF, FC
Species Reactivity: Human, Mouse, Rat
-
-
-
-
-
-
-















