SMURF1 Antibody
-
中文名稱:SMURF1兔多克隆抗體
-
貨號:CSB-PA026284
-
規格:¥1100
-
圖片:
-
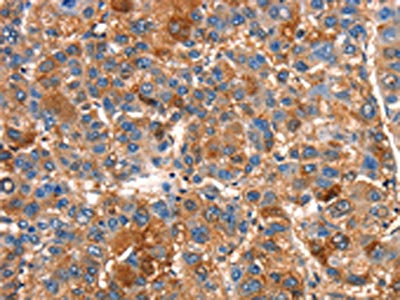
The image on the left is immunohistochemistry of paraffin-embedded Human liver cancer tissue using CSB-PA026284(SMURF1 Antibody) at dilution 1/15, on the right is treated with synthetic peptide. (Original magnification: ×200)
-
The image on the left is immunohistochemistry of paraffin-embedded Human gastric cancer tissue using CSB-PA026284(SMURF1 Antibody) at dilution 1/15, on the right is treated with synthetic peptide. (Original magnification: ×200)
-
-
其他:
產品詳情
-
Uniprot No.:
-
基因名:
-
別名:E3 ubiquitin-protein ligase SMURF1 antibody; hSMURF1 antibody; KIAA1625 antibody; Smad specific E3 ubiquitin ligase 1 antibody; SMAD specific E3 ubiquitin protein ligase 1 antibody; Smad ubiquitination regulatory factor 1 antibody; SMAD-specific E3 ubiquitin-protein ligase 1 antibody; SMUF1_HUMAN antibody; SMURF 1 antibody; smurf1 antibody
-
宿主:Rabbit
-
反應種屬:Human,Mouse
-
免疫原:Synthetic peptide of Human SMURF1
-
免疫原種屬:Homo sapiens (Human)
-
標記方式:Non-conjugated
-
抗體亞型:IgG
-
純化方式:Antigen affinity purification
-
濃度:It differs from different batches. Please contact us to confirm it.
-
保存緩沖液:-20°C, pH7.4 PBS, 0.05% NaN3, 40% Glycerol
-
產品提供形式:Liquid
-
應用范圍:ELISA,IHC
-
推薦稀釋比:
Application Recommended Dilution ELISA 1:1000-1:2000 IHC 1:25-1:100 -
Protocols:
-
儲存條件:Upon receipt, store at -20°C or -80°C. Avoid repeated freeze.
-
貨期:Basically, we can dispatch the products out in 1-3 working days after receiving your orders. Delivery time maybe differs from different purchasing way or location, please kindly consult your local distributors for specific delivery time.
-
用途:For Research Use Only. Not for use in diagnostic or therapeutic procedures.
相關產品
靶點詳情
-
功能:E3 ubiquitin-protein ligase that acts as a negative regulator of BMP signaling pathway. Mediates ubiquitination and degradation of SMAD1 and SMAD5, 2 receptor-regulated SMADs specific for the BMP pathway. Promotes ubiquitination and subsequent proteasomal degradation of TRAF family members and RHOA. Promotes ubiquitination and subsequent proteasomal degradation of MAVS. Plays a role in dendrite formation by melanocytes.
-
基因功能參考文獻:
- Nedd8 binding to Smurf plays important roles in the regulation of cell migration and the BMP and TGFbeta signaling pathways. PMID: 28169289
- Expression of Smurf1 was increased with WHO grade and was consistent with poor prognosis of gliomas. PMID: 28321604
- Smurf1 interacts with and targets Securin, an inhibitor of sister-chromatid separation, for poly-ubiquitination and proteasomal degradation. PMID: 28658604
- Smurf1 overexpression decreases USP25 protein turnover, and the E3 ligase enzymatic activity of Smurf1 is required for USP25 degradation. PMID: 29518389
- SMURF1 can be potentially used as a clinical biomarker and target for novel treatment of human GC. PMID: 28731194
- Uev1A appears to be involved in the BMP signaling pathway in which it collaborates with a ubiquitin E3 ligase Smurf1 to promote Smad1 degradation in a Ubc13-independent manner. PMID: 28771228
- High smurf1 expression is associated with neoplasms. PMID: 27036023
- activation of AMPK upregulated Smad6 and Smurf1 and thereby enhanced their interactions, resulting in its proteosome-dependent degradation of ALK2. PMID: 28847510
- we propose that the PKA-Smurf1-PIPKIgamma pathway has an important role in pulmonary tumorigenesis and imposes substantial clinical impact on development of novel diagnostic markers and therapeutic targets for lung cancer treatment. PMID: 28581524
- SMURF1 is increased in patients with pulmonary arterial hypertension PMID: 27214554
- Data suggest that SMURF1 is required for S phase progression; SMURF1 promotes ubiquitination-dependent degradation of WEE1; these functions of SMURF1 appear to be linked and may be important in cell proliferation and tumorigenesis. (SMURF1 = SMAD specific E3 ubiquitin protein ligase 1; WEE1 = wee 1 homolog [S pombe] protein) PMID: 28294307
- Taken together, our study for the first time clarified that the E3 ligase Smurf1 regulates USP5 protein stability and USP5-mediated TNF-alpha production through the ubiquitin proteasome pathway. PMID: 27133717
- results reveal the regulatory circuit between RUNX2 and SMURF1 controls RUNX2 expression and regulates odntoblastic differentiation in hDPSCs. PMID: 25260729
- EGF/Smurf1 inhibits Wnt/beta-catenin-induced osteogenic differentiation and that Smurf1 downregulates Wnt/b-catenin signaling by enhancing proteasomal degradation of beta-catenin. PMID: 26015066
- a model that CD166 regulates MCAM through a signaling flow from activation of PI3K/AKT and c-Raf/MEK/ERK signaling to the inhibition of potential MCAM ubiquitin E3 ligases, betaTrCP and Smurf1. PMID: 26004137
- SND1 promoted expression of the E3 ubiquitin ligase Smurf1, leading to RhoA ubiquitination and degradation. PMID: 25596283
- NF-kappaB bind to the -411 to -420 region of the SMURF1 promoter and plays an essential role in the expression of SMURF1. PMID: 26252093
- Smurf1 determines cell apoptosis rates downstream of DNA damage-induced ATR/Chk1 signalling by promoting degradation of RhoB. PMID: 25249323
- The role of SMURF1 and inhibition of BMP signaling in maintaining a CSC-like population was confirmed by the loss of a CD44(high) expressing. PMID: 25471937
- Results suggest that elevated transcription and expression levels of ubiquitin ligase E3s WWP1, Smurf1 and Smurf2 genes may be the mechanisms of occurrence, development and metastasis of prostate cancer. PMID: 25051198
- Fbxo3 promotes the proteasomal degradation of Smurf1. Fbxo3 promotes the poly-ubiquitination of Smurf1. PMID: 25721664
- TRIB2 associated-ubiquitin E3 ligases beta-transducin repeat-containing E3 ubiquitin protein ligase (beta-TrCP), COP1 and Smad ubiquitination regulatory factor 1 (Smurf1) reduced TCF4/beta-Catenin expression, and these effects could be enhanced by TRIB2. PMID: 25311538
- association of cortactin with Pfn-1 is regulated by c-Abl-mediated cortactin phosphorylation PMID: 24700460
- Smurf1 is localized within the Hirano bodies of Alzheimer's disease brains. PMID: 24238996
- CKIP-1 controlled Smurf1 expression in colon cancer PMID: 23995790
- Inhibiting Smurf1 mediated ubiquitination of Smad1/5. PMID: 24828823
- Results suggest that EGF-induced SMURF1 plays a role in breast cancer cell migration and invasion through the downregulation of RhoA. PMID: 24241683
- impaired phosphorylation and ubiquitination by p70S6K and Smurf1 increase the protein stability of TRIB2 in liver cancer PMID: 24089522
- Data indicate that Smad ubiquitin regulatory factor Smurf1 regulates cell migration through ubiquitination of tumor necrosis factor receptor-associated factor 4 (TRAF4). PMID: 23760265
- Resistance exercise resulted in a significant downregulation of MSTN and FBXO32 mRNA expression and a significant upregulation in FSTL3 and SMURF1 mRNA expression, and carbohydrate and protein feeding have little influence on the these markers expression. PMID: 22476926
- Smurf1 turnover is mediated by Ckip-1 and Rpt6. PMID: 23032291
- The expression of SMURF1 is enhanced in hepatocellular carcinoma, which may have played a role in the disease through affecting apoptosis and proliferation of hepatic cancer cells. PMID: 23042388
- USP9X is an important regulatory protein of SMURF1. PMID: 23184937
- Ndfip1 negatively regulates RIG-I-dependent immune signaling by enhancing E3 ligase Smurf1-mediated MAVS degradation. PMID: 23087404
- A Cdh1-APC/Smurf1/RhoA pathway that mediates axonal growth suppression in the developing mammalian brain. PMID: 22949615
- Smurf1 is a negative feedback regulator for IFN-gamma signaling by targeting STAT1 for ubiquitination and proteasomal degradation. PMID: 22474288
- Inflammatory cytokines led to direct activation of Smurf1 and downregulation of miR-17, thereby increasing degradation of Smurf1-mediated osteoblast-specific factors. PMID: 21898695
- studies uncover a cell-cycle-independent function of Cdh1, establishing Cdh1 as an upstream component that governs Smurf1 activity PMID: 22152476
- SMURF1 is an amplified oncogene driving multiple tumorigenic phenotypes in pancreatic cancer PMID: 21887346
- Data report that the C2 domain of Smurf1 is necessary and sufficient for binding RhoA, and therefore is crucial for targeting RhoA for ubiquitination. PMID: 21708152
- ER stress induces Smurf1 degradation and WFS1 up-regulation PMID: 21454619
- the Smurf1 C2 domain has a role in substrate selection and cellular localization PMID: 21402695
- This study provided the first evidence that Smurf1 functions as an E3 ligase to promote the ubiquitination and proteasomal degradation of KLF2. PMID: 21382345
- These results suggest a new role of Smurf1 in inflammation and immunity through controlling the degradation of TRAFs. PMID: 19937093
- plasma membrane localization of Smad7 by Smurf1 requires the C2 domain of Smurf1 and is essential for the inhibitory effect of Smad7 in the transforming growth factor-beta signaling pathway PMID: 12151385
- CRM1-dependent nuclear export of Smurf1 is essential for the negative regulation of TGF-beta signaling by Smad7. PMID: 12519765
- Smurf1 links the Cdc42/Rac1-PAR6 polarity complex to degradation of RhoA in lamellipodia and filopodia to prevent RhoA signaling during dynamic membrane movements PMID: 14657501
- Smad7 and Smurf1 have roles in regulation of TGF-beta signaling in scleroderma fibroblasts PMID: 14722617
- rhoA GTP-Binding Protein is targeted for ubiquitination and degradation via Smurf1 PMID: 15710384
- Smad6 interacts with Runx2 and mediates Smad ubiquitin regulatory factor 1-induced Runx2 degradation PMID: 16299379
顯示更多
收起更多
-
亞細胞定位:Cytoplasm. Cell membrane; Peripheral membrane protein; Cytoplasmic side.
-
組織特異性:Expressed in melanocytes.
-
數據庫鏈接:
Most popular with customers
-
-
YWHAB Recombinant Monoclonal Antibody
Applications: ELISA, WB, IHC, IF, FC
Species Reactivity: Human, Mouse, Rat
-
Phospho-YAP1 (S127) Recombinant Monoclonal Antibody
Applications: ELISA, WB, IHC
Species Reactivity: Human
-
-
-
-
-















