SMARCA2 Antibody
-
中文名稱:SMARCA2兔多克隆抗體
-
貨號:CSB-PA021799LA01HU
-
規格:¥440
-
圖片:
-
Chromatin Immunoprecipitation Hela (1.1*106) were cross-linked with formaldehyde, sonicated, and immunoprecipitated with 4µg anti-SMARCA2 or a control normal rabbit IgG. The resulting ChIP DNA was quantified using real-time PCR with primers (CSB-PP021799HU) against the ESR1 pS2 promoter.
-
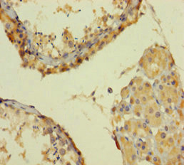
Immunohistochemistry of paraffin-embedded human testis tissue using CSB-PA021799LA01HU at dilution of 1:100
-
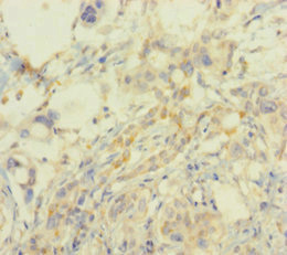
Immunohistochemistry of paraffin-embedded human pancreatic cancer using CSB-PA021799LA01HU at dilution of 1:100
-
-
其他:
產品詳情
-
產品名稱:Rabbit anti-Homo sapiens (Human) SMARCA2 Polyclonal antibody
-
Uniprot No.:
-
基因名:
-
別名:ATP dependent helicase SMARCA2 antibody; ATP-dependent helicase SMARCA2 antibody; BAF190 antibody; BAF190B antibody; BRG1-associated factor 190B antibody; BRM antibody; FLJ36757 antibody; Global transcription activator homologous sequence antibody; hBRM antibody; hSNF2a antibody; MGC74511 antibody; Possible global transcription activator SNF2L2 antibody; Probable global transcription activator SNF2L2 antibody; Protein brahma homolog antibody; SMARCA2 antibody; SMCA2_HUMAN antibody; SNF2 alpha antibody; SNF2 like 2 antibody; SNF2-alpha antibody; SNF2/SWI2 like protein 2 antibody; SNF2L2 antibody; SNF2LA antibody; Sth1p antibody; Sucrose nonfermenting 2 like protein 2 antibody; SWI/SNF related matrix associated actin dependent regulator of chromatin subfamily A member 2 antibody; SWI/SNF-related matrix-associated actin-dependent regulator of chromatin subfamily A member 2 antibody
-
宿主:Rabbit
-
反應種屬:Human
-
免疫原:Recombinant Human Probable global transcription activator SNF2L2 protein (700-1216AA)
-
免疫原種屬:Homo sapiens (Human)
-
標記方式:Non-conjugated
本頁面中的產品,SMARCA2 Antibody (CSB-PA021799LA01HU),的標記方式是Non-conjugated。對于SMARCA2 Antibody,我們還提供其他標記。見下表:
-
克隆類型:Polyclonal
-
抗體亞型:IgG
-
純化方式:>95%, Protein G purified
-
濃度:It differs from different batches. Please contact us to confirm it.
-
保存緩沖液:Preservative: 0.03% Proclin 300
Constituents: 50% Glycerol, 0.01M PBS, PH 7.4 -
產品提供形式:Liquid
-
應用范圍:ELISA, IHC, ChIP
-
推薦稀釋比:
Application Recommended Dilution IHC 1:20-1:200 -
Protocols:
-
儲存條件:Upon receipt, store at -20°C or -80°C. Avoid repeated freeze.
-
貨期:Basically, we can dispatch the products out in 1-3 working days after receiving your orders. Delivery time maybe differs from different purchasing way or location, please kindly consult your local distributors for specific delivery time.
-
用途:For Research Use Only. Not for use in diagnostic or therapeutic procedures.
相關產品
靶點詳情
-
功能:Involved in transcriptional activation and repression of select genes by chromatin remodeling (alteration of DNA-nucleosome topology). Component of SWI/SNF chromatin remodeling complexes that carry out key enzymatic activities, changing chromatin structure by altering DNA-histone contacts within a nucleosome in an ATP-dependent manner. Binds DNA non-specifically. Belongs to the neural progenitors-specific chromatin remodeling complex (npBAF complex) and the neuron-specific chromatin remodeling complex (nBAF complex). During neural development a switch from a stem/progenitor to a postmitotic chromatin remodeling mechanism occurs as neurons exit the cell cycle and become committed to their adult state. The transition from proliferating neural stem/progenitor cells to postmitotic neurons requires a switch in subunit composition of the npBAF and nBAF complexes. As neural progenitors exit mitosis and differentiate into neurons, npBAF complexes which contain ACTL6A/BAF53A and PHF10/BAF45A, are exchanged for homologous alternative ACTL6B/BAF53B and DPF1/BAF45B or DPF3/BAF45C subunits in neuron-specific complexes (nBAF). The npBAF complex is essential for the self-renewal/proliferative capacity of the multipotent neural stem cells. The nBAF complex along with CREST plays a role regulating the activity of genes essential for dendrite growth.
-
基因功能參考文獻:
- association of the BRG1/hBRM bromodomain with nucleosomes plays a regulatory rather than targeting role PMID: 28706277
- High expression of SMARCA2 is associated with benign differentiated tumors. PMID: 29391527
- Here, the authors show that C-terminally truncated forms of both SMARCA2 and SMARCA4, produced by caspase-mediated cleavage, accumulate in cells infected with different RNA or DNA viruses. The levels of truncated SMARCA2 or SMARCA4 strongly correlate with the degree of cell damage and death observed after virus infection. PMID: 29848589
- at genes where BRG1 and BRM antagonize one another we observe a nearly complete rescue of gene expression changes in the combined BRG/BRM double knockdown PMID: 29273066
- Expression of BRM and MMP2 in the thoracic aortic aneurysm and aortic dissection is very high, indicating that BRM and MMP2 may play important roles in the occurrence and development of thoracic aortic aneurysm and aortic dissection. PMID: 28678310
- Although Genome-Wide Association studies have not been carried out in the field of alcohol-related hepatocellular carcinoma (HCC), common single nucleotide polymorphisms conferring a small increase in the risk of liver cancer risk have been identified. Specific patterns of gene mutations including CTNNB1, TERT, ARID1A and SMARCA2 exist in alcohol-related HCC. [review] PMID: 28296015
- PRC2-mediated repression of SMARCA2 predicts EZH2 inhibitor activity in SWI/SNF mutant tumors. PMID: 29087303
- two promoter BRM germline variants were associated with worse outcome in our esophageal adenocarcinoma (EAC) patients. This significantly poorer outcome was independent of TNM classification at diagnosis or other clinic-demographic variables. PMID: 28427211
- Epigenetic regulatory molecules bind to two BRM promoter sequence variants but not to their wild-type sequences. These variants are associated with adverse overall and progression-free survival. Decreased BRM gene expression, seen with these variants, is also associated with worse overall survival PMID: 27827316
- We also demonstrate that tazemetostat, a potent and selective EZH2 inhibitor currently in phase II clinical trials, induces potent antiproliferative and antitumor effects in SCCOHT cell lines and xenografts deficient in both SMARCA2 and SMARCA4. These results exemplify an additional class of rhabdoid-like tumors that are dependent on EZH2 activity for survival. PMID: 28292935
- Two BRM promoter polymorphisms were strongly associated with hepatocellular carcinoma (HCC) prognosis but were not associated with increased HCC susceptibility. PMID: 28892201
- This de novo SMARCA2 missense mutation c.3721C>G, p.Gln1241Glu is the only reported mutation on exon 26 outside the ATPase domain of SMARCA2 to be associated with Nicolaides-Baraitser syndrome and adds to chromatin remodeling as a pathway for epileptogenesis. PMID: 27665729
- We conclude that their features better resemble Coffin-Siris syndrome, rather than Nicolaides-Baraitser syndrome and that these features likely arise from SMARCA2 over-dosage. Pure 9p duplications (not caused by unbalanced translocations) are rare. Copy number analysis in patients with features that overlap with Coffin-Siris syndrome is recommended to further determine their genetic aspects. PMID: 27264538
- BRM could activate JAK2/STAT3 pathway to promote pancreatic cancer growth and chemoresistance. PMID: 28602977
- BRM gene mutation, chromosome 9 monosomy or BRM deletion and CpG methylation contribute collectively to the loss of BRM expression in poorly differentiated clear cell renal cell carcinoma PMID: 28070921
- BRM-741 and BRM-1321 insertion polymorphisms are associated with susceptibility to cancer. PMID: 28571677
- BRG1/BRM and c-MYC have an antagonistic relationship regulating the expression of cardiac conduction genes that maintain contractility, which is reminiscent of their antagonistic roles as a tumor suppressor and oncogene in cancer. PMID: 28232072
- Two functional promoter BRM polymorphisms were not associated with pancreatic adenocarcinoma risk, but are strongly associated with survival. PMID: 27487558
- SMARCA4 and SMARCA2 deficiency is observed in 5.1% and 4.8% of non-small cell lung cancer PMID: 28038711
- our data suggest that concomitant loss of SMARCA2 and SMARCA4 is another hallmark of small cell carcinoma of the ovary, hypercalcemic type-a finding that offers new opportunities for therapeutic interventions. PMID: 26564006
- this study shows for the first time novel SMARCA4-deficient and SMARCA2-deficient variants in undifferentiated gastrointestinal tract carcinomas PMID: 26551623
- SMARCA4 loss, either alone or with SMARCA2, is highly sensitive and specific for small cell carcinoma of the ovary, hypercalcaemic type, restoration of either SWI/SNF ATPase can inhibit the growth of SCCOHT cell lines PMID: 26356327
- We report, for the first time, co-inactivation and frequent mutations of SMARCB1, SMARCA2 and PBRM1 in MRTs. PMID: 25496315
- The miR-199a/Brm/EGR1 axis is a determinant of anchorage-independent growth in epithelial tumor cell lines PMID: 25673149
- Knockout of BRG1 or BRM using CRISPR/Cas9 technology resulted in the loss of viability, consistent with a requirement for both enzymes in triple negative breast cancer cells PMID: 25808524
- BAF complex gene SMARCA2 is mutated in Coffin-Siris syndrome patients. PMID: 25081545
- Phenotype and genotype in Nicolaides-Baraitser syndrome patients with SMARCA2 mutations PMID: 25169058
- Over-expression of BRM in melanoma cells that harbor oncogenic BRAF promoted changes in cell cycle progression and apoptosis consistent with a tumor suppressive role. PMID: 25026375
- Findings suggest that the BRM promoter double insertion homozygotes may be associated with an increased risk of early-stage UADT cancers independent of smoking status and histology. PMID: 24519853
- these data show that the mechanism of BRM silencing contributes to the pathogenesis of Rhabdoid tumors PMID: 24913006
- loss of BRM expression is a common feature among poorly differentiated tumours in clear cell renal cell carcinomas. We hypothesize that loss of BRM expression is involved in tumor de-differentiation in clear cell RCCs. PMID: 24471421
- Data suggest that Brg1 and Brm integrate various proinflammatory cues into cell adhesion molecule transactivation in endothelial injury. PMID: 23963727
- loss of BRM epigenetically induces C/EBPbeta transcription, which then directly induces alpha5 integrin transcription to promote the malignant behavior of mammary epithelial cells PMID: 23770848
- A SMARCA2-containing residual SWI/SNF complex underlies the oncogenic activity of SMARCA4 mutant cancers. PMID: 24421395
- Depletion of BRM in BRG1-deficient cancer cells leads to a cell cycle arrest, induction of senescence, and increased levels of global H3K9me3. PMID: 24520176
- the mitogen-activated protein kinase pathway regulates both BRM acetylation and BRM silencing as MAP kinase pathway inhibitors both induced BRM as well as caused BRM deacetylation. PMID: 23524580
- Data indicate that transient knockdown of BRG1 or BRM reduces hypoxia induction of several known HIF1 and HIF2 target genes in Hep3B cells. PMID: 23897427
- High SMARCA2 expression is associated with lung cancer PMID: 23872584
- BRM expression was lost in 25% of cell lines and 16% of tumors. PMID: 23322154
- findings suggest that BRM promoter polymorphism (BRM-1321) could regulate BRM expression and may serve as a potential marker for genetic susceptibility to HCC PMID: 23359823
- SMARCA2 rs2296212 and rs4741651 variants were associated with oligodendroglioma risk. PMID: 23276717
- Loss of BRG1 and BRM was frequent in E-cadherin-low, TTF-1-low, and vimentin-high cases. PMID: 23163725
- Reduced expression of BRM may contribute to the carcinogenesis of hepatocellular carcinoma. PMID: 23088494
- SWI/SNF chromatin remodeling complex catalytic subunits Brg1 and Brm modulate cisplatin cytotoxicity by facilitating efficient repair of the cisplatin DNA lesions. PMID: 22721696
- sequenced the exomes of ten individuals with Nicolaides-Baraitser syndrome and identified heterozygous variants in SMARCA2 in eight of them. PMID: 22366787
- multiple distinct transcriptional patterns of GR and Brm interdependence PMID: 21646426
- The expression of BRG1 and BRM correlates with the development of prostatic cancer. PMID: 21092585
- results reveal that miR-199a and Brm form a double-negative feedback loop through Egr1, leading to the generation of two distinct cell types during carcinogenesis. PMID: 21189327
- The hBrm/Brg1 switch is an indicator of the responsiveness of a gene to heat-shock or IFNgamma stimulation and may represent an "on-off switch" of gene expression in vivo. PMID: 21079652
- The methylation levels of CpG islands within Brahma increased during spermatogenesis and decreased during oogenesis PMID: 20719309
顯示更多
收起更多
-
相關疾?。?/div>Nicolaides-Baraitser syndrome (NCBRS); Schizophrenia (SCZD)亞細胞定位:Nucleus.蛋白家族:SNF2/RAD54 helicase family數據庫鏈接:
Most popular with customers
-
-
YWHAB Recombinant Monoclonal Antibody
Applications: ELISA, WB, IHC, IF, FC
Species Reactivity: Human, Mouse, Rat
-
Phospho-YAP1 (S127) Recombinant Monoclonal Antibody
Applications: ELISA, WB, IHC
Species Reactivity: Human
-
-
-
-
-















