SLPI Antibody
-
中文名稱:SLPI兔多克隆抗體
-
貨號:CSB-PA07154A0Rb
-
規格:¥440
-
圖片:
-
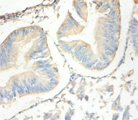
Immunohistochemistry of paraffin-embedded human ovarian cancer using CSB-PA07154A0Rb at dilution of 1:100
-
Immunohistochemistry of paraffin-embedded human endometrial cancer using CSB-PA07154A0Rb at dilution of 1:100
-
Immunofluorescent analysis of HepG2 cells using CSB-PA07154A0Rb at dilution of 1:100 and Alexa Fluor 488-congugated AffiniPure Goat Anti-Rabbit IgG(H+L)
-
-
其他:
產品詳情
-
產品名稱:Rabbit anti-Homo sapiens (Human) SLPI Polyclonal antibody
-
Uniprot No.:
-
基因名:SLPI
-
別名:ALK 1 antibody; ALK1 antibody; ALP antibody; Antileukoprotease antibody; Antileukoproteinase 1 antibody; Antileukoproteinase antibody; Antileukoproteinase1 antibody; BLPI antibody; Human seminal protease inhibitor antibody; HUSI 1 antibody; HUSI antibody; HUSI I antibody; HUSI-1 antibody; MPI antibody; Mucus proteinase inhibitor antibody; Protease inhibitor WAP4 antibody; Secretory leukocyte peptidase inhibitor antibody; Secretory leukocyte protease inhibitor antibody; Seminal proteinase inhibitor antibody; SLPI antibody; SLPI_HUMAN antibody; WAP four disulfide core domain protein 4 antibody; WAP four-disulfide core domain protein 4 antibody; WAP4 antibody; WFDC4 antibody
-
宿主:Rabbit
-
反應種屬:Human
-
免疫原:Recombinant Human Antileukoproteinase protein (26-132AA)
-
免疫原種屬:Homo sapiens (Human)
-
標記方式:Non-conjugated
本頁面中的產品,SLPI Antibody (CSB-PA07154A0Rb),的標記方式是Non-conjugated。對于SLPI Antibody,我們還提供其他標記。見下表:
-
克隆類型:Polyclonal
-
抗體亞型:IgG
-
純化方式:>95%, Protein G purified
-
濃度:It differs from different batches. Please contact us to confirm it.
-
保存緩沖液:Preservative: 0.03% Proclin 300
Constituents: 50% Glycerol, 0.01M PBS, PH 7.4 -
產品提供形式:Liquid
-
應用范圍:ELISA, IHC, IF
-
推薦稀釋比:
Application Recommended Dilution IHC 1:20-1:200 IF 1:50-1:200 -
Protocols:
-
儲存條件:Upon receipt, store at -20°C or -80°C. Avoid repeated freeze.
-
貨期:Basically, we can dispatch the products out in 1-3 working days after receiving your orders. Delivery time maybe differs from different purchasing way or location, please kindly consult your local distributors for specific delivery time.
-
用途:For Research Use Only. Not for use in diagnostic or therapeutic procedures.
相關產品
靶點詳情
-
功能:Acid-stable proteinase inhibitor with strong affinities for trypsin, chymotrypsin, elastase, and cathepsin G. Modulates the inflammatory and immune responses after bacterial infection, and after infection by the intracellular parasite L.major. Down-regulates responses to bacterial lipopolysaccharide (LPS). Plays a role in regulating the activation of NF-kappa-B and inflammatory responses. Has antimicrobial activity against mycobacteria, but not against salmonella. Contributes to normal resistance against infection by M.tuberculosis. Required for normal resistance to infection by L.major. Required for normal wound healing, probably by preventing tissue damage by limiting protease activity. Together with ELANE, required for normal differentiation and proliferation of bone marrow myeloid cells.
-
基因功能參考文獻:
- Study indicate that SLPI seems to be one of the important immunomodulatory proteins that provide local immune response in cervical mucosa. PMID: 30180755
- we investigated the biological effects of SLPI using Cell Counting Kit (CCK)-8, Annexin V/PI apoptosis assay and Caspase-Glo(R) 3/7 assay. The findings revealed that SLPI promoted apoptosis in the Leuk1 and WSU-HN4 cell lines. Mechanistic studies indicated that SLPI, at least in part, regulated cell apoptosis by inhibiting the expression of TNF receptor-associated factor 1 PMID: 29436667
- Together, these data support the clinical evaluation of dual angiogenic inhibition of the ALK1 and VEGF pathways in patients with advanced renal cell carcinoma (RCC) . PMID: 28031424
- the patients with systemic sclerosis had significantly increased serum levels of SLPI in comparison with the rheumatoid arthritis patients and the healthy controls PMID: 28606626
- gene expression profiling study based on microarray data for the three cell types identified a number of candidates, including LCP1 and GLI, that could be key molecules in the mechanism of SLPI-induced cell migration PMID: 28637988
- we show that SLPI acts as a key mediator in regulating the function of hepatic myeloid cells, to promote resolution responses through induction of MerTK expression within the resident macrophage population. PMID: 28450389
- these data demonstrate increased anti-inflammatory activity of the SLPI-A16G protein compared with SLPI-WT in a murine model of pulmonary Pseudomonas infection PMID: 26376365
- we demonstrated that the oncogenic effect of SLPI may be due to protection of growth factor progranulin from enzymatic cleavage or suppression of castration-resistant prostate cancer (CRPC)cell apoptosis independent of anti-protease activity of SLPI. These findings implicate SLPI as a potential biomarker of resistance to AR inhibition and therapeutic target for CRPC treatment PMID: 26876202
- Secretory leukocyte protease inhibitor mediates invasiveness of oral carcinoma cells. PMID: 27238568
- The results indicate that SERPINE2 and SLPI play a significant role in the development of papillary thyroid cancer and imply that the evaluation of serum concentrations of both anticoagulant molecules may be considered as additional marker for the differentiation of malignancies during the preoperative diagnosis of patients with thyroid gland tumors. PMID: 28255192
- Bronchial epithelial cells have decreased SLPI expression in response to hypoxia. PMID: 25851169
- Ongoing herpes simplex virus infection and resultant downregulation of local levels of SLPI may impart a greater susceptibility for keratinocytes to human papillomavirus type 16 infection through the host cell receptor annexin A2. PMID: 26555393
- SLPI is an independent predictor for both OS and DSS and a relevant prognostic biomarker in OSCC. PMID: 24764155
- The elevations in cervical elafin and SLPI expression in the women with preterm delivery might reflect the local response to the pathogen invasion into the cervix preceding preterm labor. PMID: 25559229
- These results demonstrate that SLPI down-regulates pIgR expression through the NF-kappaB signaling pathway by inhibiting degradation of IkappaBbeta protein. PMID: 26239418
- Abnormal over-expression of SLPI in pancreatic cancer cells may be associated with the development of disease through its roles in promoting cancer cell survival and proliferation as well as anti-apoptosis. PMID: 25319722
- study identifies a distinct immune response in SA characterized by a dysregulated IFN-gamma/SLPI axis that affects lung function. PMID: 26121748
- findings support a controlling role for SLPI in NET generation, which is of potential relevance to infectious and autoinflammatory diseases PMID: 25917460
- We identify SLPI as a new player in acquisition of microbial hyporesponsiveness by buccal and intestinal epithelium in the first weeks after microbial colonisation. PMID: 25056659
- Studies suggest that secretory leukocyte protease inhibitor (SLPI) as a mediator of systemic immune paresis in acute liver failure (ALF). PMID: 25041028
- Report presence of SLPI in vaginal secretions and its regulation in response to vaginal microbiota and to the concentrations of antimicrobial and proinflammatory mediators. PMID: 24023032
- Both mRNA and protein levels of SLPI were significantly higher in patients with biofilm associated chronic rhinosinusitis (CRS) than those with CRS and no biofilm and controls. PMID: 24121782
- These results show that Mycobacterium tuberculosis-induced IFN-gamma down-modulated SLPI levels by signaling through the IFN-gammaR in healthy donors. PMID: 24606882
- SLPI has antiprotease activity and antimicrobial activity against bacteria and fungi. SLPI is an important molecule in the functioning of the innate immune system. PMID: 16336202
- findings demonstrate that SLPI plays an important role from the initial stages of lung carcinogenesis to the progression of lung cancer in an NF-kappaB-dependent manner PMID: 24282288
- These results indicate that SLPI controls the proliferation, differentiation, and cell cycle of myeloid cells. PMID: 24352879
- The aim of this study was to investigate the intracellular function of SLPI and the mechanism-based modulation of neutrophil function by this antiprotease. PMID: 24073410
- Low SLPI expression is associated with papillomavirus infected head and neck squamous cell carcinomas. PMID: 23996702
- SLPI is bactericidal for gonococci and is expressed by reproductive tract epithelial cells and thus is likely to play a role in the pathogenesis of gonococcal infection. PMID: 22537232
- SLPI may contribute to psoriasis by enabling pDCs to sense extracellular DNA and produce IFN type I. PMID: 22786767
- Circulating SLPI increases with progressive metabolic dysfunction and is related to metabolic and inflammatory parameters in men PMID: 21377455
- confirmed that SLPI is significantly down-regulated in NPC tissues. In addition, based on our preliminary results, we propose that the reduction of SLPI in NPC cells is associated with the presence of the EBV genome and/or expression of EBV-encoded genes PMID: 22493362
- decreased expression in female reproductive tract in postmenopausal women with hormonal treatment PMID: 21940052
- Results show that SLPI promotes the metastasis of SNU638 gastric cancer cells by increasing MMP-2 and MMP-9 expression through Elk-1 signaling, indicating its role as a signaling molecule not a protease inhibitor. PMID: 21687932
- SLPI may possess antitumorigenic activity by virtue of its ability to interfere with multiple requisite proteolytic steps underlying tumor cell invasion. PMID: 21641406
- SLPI stimulates ovarian cancer invasion, modulated in part by its serine protease inhibitory activity attenuating MMP-9 release. PMID: 21676452
- The results presented here clearly indicate the repression of SLPI, measurable on both, mRNA and protein levels in metastatic primary HNSCC as compared to non-metastatic HNSCC. PMID: 21503571
- Constitutive expression of SLPI directly reduces the inflammatory response in the respiratory tract and improves lung function in an acute model of allergic asthma in SLPI transgenic and knockout mice. PMID: 21335488
- these findings indicate upregulation of SLPI in response to LPS in nasal secretions and show anti-apoptotic effects of SLPI in primary human neutrophils suggesting a new role of SLPI during neutrophilic inflammation. PMID: 21077989
- SLPI inhibited the expression of MMP-9 and IL-8 in normal human bronchial epithelial cells induced by cigarette smoke extract. PMID: 18953959
- 17Beta-estradiol inhibits IL-8 in cystic fibrosis by up-regulating secretory leucoprotease inhibitor PMID: 20378727
- Our observations are the first to implicate SPARC, SLPI, and NLRP2, a component of the innate immune system, in the pathogenesis of axial spondyloarthropathy PMID: 19900269
- Secretory leukocyte protease inhibitor antagonizes paclitaxel in ovarian cancer cells, and contribute to drug resistance. PMID: 20068074
- Using transgenic mice over-expressing secretory leukocyte protease inhibitor, this study shows an early protective effect after spinal cord contusion injury. PMID: 20047904
- Synthesized locally at mucosal sites. Efficiently inhibit target enzymes released into interstitium. Might be important in controlling excessive neutrophil elastase release in chronic obstructive pulmonary disease and cystic fibrosis. (review) PMID: 11667971
- Secretory leukocyte protease inhibitor in punch biopsies from human colonic mucosa. PMID: 11759111
- possible role in the defence against ascending urinary tract infections; establishing a source of SLPI in renal tubuli cells. PMID: 11817677
- Secretory leukocyte proteinase inhibitor and elafin are resistant to degradation by MMP-8. PMID: 11868825
- results indicate that menstrual status (pre- vs. postmenopausal) influences the production of SLPI and bactericidal activity by uterine epithelial cells PMID: 12023766
- mediates proliferation of human endometrial epithelial cells by positive and negative regulation of growth-associated genes PMID: 12023969
顯示更多
收起更多
-
亞細胞定位:Secreted.
-
組織特異性:Detected in blood plasma. Detected in bone marrow myeloid cells. Detected in airway sputum. Detected in parotid gland secretions. Detected in seminal plasma (at protein level). Detected in uterus cervix.
-
數據庫鏈接:
Most popular with customers
-
-
YWHAB Recombinant Monoclonal Antibody
Applications: ELISA, WB, IHC, IF, FC
Species Reactivity: Human, Mouse, Rat
-
Phospho-YAP1 (S127) Recombinant Monoclonal Antibody
Applications: ELISA, WB, IHC
Species Reactivity: Human
-
-
-
-
-















