SLITRK4 Antibody
-
中文名稱:SLITRK4兔多克隆抗體
-
貨號:CSB-PA265780
-
規格:¥1100
-
圖片:
-
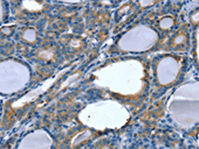
The image on the left is immunohistochemistry of paraffin-embedded Human thyroid cancer tissue using CSB-PA265780(SLITRK4 Antibody) at dilution 1/20, on the right is treated with fusion protein. (Original magnification: ×200)
-
Gel: 6%SDS-PAGE, Lysate: 40 μg, Lane: PC3 cells, Primary antibody: CSB-PA265780(SLITRK4 Antibody) at dilution 1/200, Secondary antibody: Goat anti rabbit IgG at 1/8000 dilution, Exposure time: 3 minutes
-
-
其他:
產品詳情
-
Uniprot No.:
-
基因名:SLITRK4
-
別名:DKFZp547M2010 antibody; SLIK4_HUMAN antibody; SLIT and NTRK like family member 4 antibody; SLIT and NTRK like protein 4 antibody; SLIT and NTRK-like protein 4 antibody; Slit and trk like 4 protein antibody; Slit and trk like gene 4 antibody; SLITRK 4 antibody; SLITRK4 antibody
-
宿主:Rabbit
-
反應種屬:Human,Mouse
-
免疫原:Fusion protein of Human SLITRK4
-
免疫原種屬:Homo sapiens (Human)
-
標記方式:Non-conjugated
-
抗體亞型:IgG
-
純化方式:Antigen affinity purification
-
濃度:It differs from different batches. Please contact us to confirm it.
-
保存緩沖液:-20°C, pH7.4 PBS, 0.05% NaN3, 40% Glycerol
-
產品提供形式:Liquid
-
應用范圍:ELISA,WB,IHC
-
推薦稀釋比:
Application Recommended Dilution ELISA 1:1000-1:2000 WB 1:200-1:1000 IHC 1:10-1:50 -
Protocols:
-
儲存條件:Upon receipt, store at -20°C or -80°C. Avoid repeated freeze.
-
貨期:Basically, we can dispatch the products out in 1-3 working days after receiving your orders. Delivery time maybe differs from different purchasing way or location, please kindly consult your local distributors for specific delivery time.
-
用途:For Research Use Only. Not for use in diagnostic or therapeutic procedures.
相關產品
靶點詳情
-
功能:It is involved in synaptogenesis and promotes synapse differentiation. Suppresses neurite outgrowth.
-
亞細胞定位:Membrane; Single-pass type I membrane protein. Cell membrane.
-
蛋白家族:SLITRK family
-
組織特異性:Expressed in the cerebral cortex of the brain and at higher levels in some astrocytic brain tumors such as astrocytomas, glioblastomas and primitive neuroectodermal tumors.
-
數據庫鏈接:
Most popular with customers
-
-
YWHAB Recombinant Monoclonal Antibody
Applications: ELISA, WB, IHC, IF, FC
Species Reactivity: Human, Mouse, Rat
-
Phospho-YAP1 (S127) Recombinant Monoclonal Antibody
Applications: ELISA, WB, IHC
Species Reactivity: Human
-
-
-
-
-















