SLCO1B3 Antibody
-
中文名稱:SLCO1B3兔多克隆抗體
-
貨號:CSB-PA882065LA01HU
-
規格:¥440
-
圖片:
-
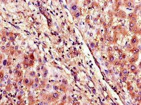
Immunohistochemistry of paraffin-embedded human liver tissue using CSB-PA882065LA01HU at dilution of 1:100
-
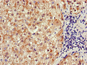
Immunohistochemistry of paraffin-embedded human liver cancer using CSB-PA882065LA01HU at dilution of 1:100
-
Immunofluorescent analysis of HepG2 cells using CSB-PA882065LA01HU at dilution of 1:100 and Alexa Fluor 488-congugated AffiniPure Goat Anti-Rabbit IgG(H+L)
-
-
其他:
產品詳情
-
產品描述:
The SLCO1B3 antibody is generated by immunizing a rabbit with recombinant human SLCO1B3 protein (amino acids 648-695). After that, the resulting polyclonal antibody mixture is extracted from the rabbit's serum and subjected to protein G affinity chromatography purification, which results in a 95% purity level. The purified SLCO1B3 polyclonal antibody is then assessed for its specificity to human SLCO1B3 protein via ELISA and WB assays.
The SLCO1B3 protein, also known as organic anion transporting polypeptide 1B3 (OATP1B3), is a transmembrane protein that is primarily expressed in the liver and other tissues involved in drug metabolisms and elimination, such as the kidney and intestine. In addition to its role in drug transport, SLCO1B3 has been implicated in the regulation of cellular signaling pathways, such as the Akt/mTOR pathway, which is involved in cell proliferation and survival. SLCO1B3 has also been shown to be involved in the regulation of hepatic lipid metabolism.
-
產品名稱:Rabbit anti-Homo sapiens (Human) SLCO1B3 Polyclonal antibody
-
Uniprot No.:
-
基因名:SLCO1B3
-
別名:HBLRR antibody; Liver-specific organic anion transporter 2 antibody; LST-2 antibody; LST-3TM13 antibody; LST3 antibody; OATP-8 antibody; OATP1B3 antibody; Organic anion transporter 8 antibody; Organic anion-transporting polypeptide 8 antibody; SLC21A8 antibody; SLCO1B3 antibody; SO1B3_HUMAN antibody; Solute carrier family 21 member 8 antibody; Solute carrier organic anion transporter family member 1B3 antibody
-
宿主:Rabbit
-
反應種屬:Human
-
免疫原:Recombinant Human Solute carrier organic anion transporter family member 1B3 protein (648-695AA)
-
免疫原種屬:Homo sapiens (Human)
-
標記方式:Non-conjugated
本頁面中的產品,SLCO1B3 Antibody (CSB-PA882065LA01HU),的標記方式是Non-conjugated。對于SLCO1B3 Antibody,我們還提供其他標記。見下表:
-
克隆類型:Polyclonal
-
抗體亞型:IgG
-
純化方式:>95%, Protein G purified
-
濃度:It differs from different batches. Please contact us to confirm it.
-
保存緩沖液:Preservative: 0.03% Proclin 300
Constituents: 50% Glycerol, 0.01M PBS, PH 7.4 -
產品提供形式:Liquid
-
應用范圍:ELISA, IHC, IF
-
推薦稀釋比:
Application Recommended Dilution IHC 1:20-1:200 IF 1:50-1:200 -
Protocols:
-
儲存條件:Upon receipt, store at -20°C or -80°C. Avoid repeated freeze.
-
貨期:Basically, we can dispatch the products out in 1-3 working days after receiving your orders. Delivery time maybe differs from different purchasing way or location, please kindly consult your local distributors for specific delivery time.
-
用途:For Research Use Only. Not for use in diagnostic or therapeutic procedures.
相關產品
靶點詳情
-
功能:Mediates the Na(+)-independent uptake of organic anions such as 17-beta-glucuronosyl estradiol, taurocholate, triiodothyronine (T3), leukotriene C4, dehydroepiandrosterone sulfate (DHEAS), methotrexate and sulfobromophthalein (BSP). Involved in the clearance of bile acids and organic anions from the liver.
-
基因功能參考文獻:
- Organic anion-transporting polypeptide 1B3 as a dual reporter gene for fluorescence and magnetic resonance imaging. PMID: 29146731
- When including the expression levels of SLCO1B3 in intraoperatively examined lymph nodes, 8 factors were found able to predict the prognosis of patients with carcinomas of the cecum and ascending colon. As regards the surgical therapeutic strategies, the resection of >15 local lymph nodes is appropriate for improving the prognosis of patients. PMID: 29658575
- Ct-OATP1B3 mRNA exists in extracellular vesicles and can be detected in (at least) mouse serum, strengthen the potential use of Ct-OATP1B3 mRNA as a serum-based Colorectal Cancer biomarker PMID: 29491222
- It shows high expression of OATP1B3 mRNA in human pancreatic islets, and a high association of OATP1B3 immunostaining with glucagon-producing pancreatic alpha cells. PMID: 28815335
- This study suggests that de novo OATP1B3 expression in prostate cancer drives greater androgen uptake and is consistent with previous observations that greater OATP1B3 activity results in the development of androgen deprivation therapy resistance and shorter overall survival PMID: 28389619
- rs4149117 had no association with hypoglycaemia. The rs4149117 mutation in the SLCO1B3 gene is not associated with sulfonylurea efficacy. PMID: 28444661
- Patients homozygous for the variant allele had significantly higher average E1C plasma concentrations than did other patients. Furthermore, three other SLCO1B1 SNPs, not in LD with rs4149056, were associated with both E1C concentrations and the E1C/E1 ratio and were cis-eQTLs for SLCO1B3. PMID: 28429243
- OATP1B3 protein expression starts at a very high expression level throughout the neonatal phase, thereafter declining in the early childhood years. Then protein expression starts to increase again during the preadolescent period. PMID: 27098745
- High transcript levels of OATP1B3, but not OATP1B1 were observed in isolated human adult islets. While OATP1B3 protein expression was variable, the carrier co-localized more frequently with glucagon-positive alpha cells than insulin-positive beta cells in islets of normal pancreatic tissues from ten subjects using dual immunostaining. PMID: 28493059
- the current studies for the first time report ubiquitination of OATP1B1 and OATP1B3 and the apparent substrate-dependent inhibitory effect of bortezomib on OATP1B3-mediated transport. The data suggest that bortezomib has a low risk of causing OATP-mediated DDIs PMID: 29107984
- Study showed that the multi-specific liver transporter OATP1B3 can form homo-oligomers and can interact with other transporters in the liver, including OATP1B1 and NTCP. We also demonstrated that the homo-oligomers work as two or more individual functional subunits. PMID: 28644885
- demonstrate that the N-terminal region is important for the membrane localization of the OATP1B subfamily members and should facilitate future investigations of the mechanisms involved in the regulation and membrane trafficking of these important transporter proteins PMID: 28216016
- SLCO1B3 was significantly downregulated in docetaxel-resistant patient-derived prostatic tumours xenografted into mice. SLCO1B3 determines intracellular concentrations of docetaxel and cabazitaxel and consequently influences taxane efficacy. Loss of the drug transporter SLCO1B3 may drive taxane resistance in prostate cancer. PMID: 27537383
- Our results indicated that OATP1B3 may play an important role in the transport of glycocholic acid and glycochenodeoxycholic acid in the human placenta. PMID: 25345542
- Cancer-type Organic Anion Transporting Polypeptide 1B3: Current Knowledge of the Gene Structure, Expression Profile, Functional Implications and Future Perspectives PMID: 26264344
- Carriers of a T allele of SLCO1B3-rs4149117 were less sensitive to thrombocytopenia than the homozygotes for the G allele PMID: 26267044
- Data suggest that OATP1B3 facilitates transport of the shellfish toxin okadaic acid into hepatocytes. PMID: 26134461
- SLCO1B3 699GG and 344TT genotypes are associated with non-response to IM, while ABCA3 4548-91 CC/CA genotypes are related to poor CMR in CML patients treated with standard-dose imatinib. PMID: 25056761
- OATP1B3 was confirmed as the most important transporter mediating hepatocellular carcinoma enhancement in gadoxetic acid-enhanced magnetic resonance imaging. PMID: 24946283
- studies elucidate a novel indirect inhibitory mechanism affecting hepatic uptake mediated by OATP1B3, and provide new insights into predicting OATP-mediated drug interactions between OATP substrates and kinase modulator drugs/endogenous compounds PMID: 25200870
- expression elevated in indocyanine green-accumulated hepatocellular carcinoma PMID: 25173835
- HEK293-OATP1B3 cells are resistant to microcystin-LR induced anoikis. PMID: 25456266
- Report regulation of OATP1B3-mediated telmisartan uptake in cultured hepatocytes. PMID: 24628404
- SLCO1B3 expression and promoter activity are modulated by COL7A1 in tumor keratinocytes isolated from recessive dystrophic epidermolysis bullosa. PMID: 24357722
- Cancer-type - OATP1B3 is capable of transporting its substrates into cancer cells. Its mRNA expression is regulated by DNA methylation-dependent gene silencing involving MBD2. PMID: 23812637
- CYP3A5*3 polymorphism was associated with imatinib efficacy while the SNP SLCO1B3 (T334G) was not associated with the response to imatinib treatment in Egyptian patients with CML in chronic phase. PMID: 23394475
- These data provide evidence that the drug transporter OATP1B3 functions as a determinant of the insulinotropic effect of glibenclamide on the tissue level. PMID: 24150606
- The patients with tumors showing high expression levels of at least one of OATP1B3 and CTR1 had potentially longer disease-free survival. PMID: 23782748
- The transcription of cancer-specific OATP1B3 is regulated during hypoxia through a commonly utilized pathway involving HIF-1alpha. PMID: 23924606
- Colon and pancreatic cancer cells express variant forms of OATP1B3. PMID: 23215050
- Data indicate that SLCO1B3 knockdown reduced cell size and 3-dimensional spheroid volume. PMID: 23352438
- There was no significant association of the SLCO1B3 polymorphisms with docetaxel clearance or neutropenia. PMID: 23188068
- The presence of the rs2117032 polymorphism of SLCO1B3 seemed to provide protection from hyperbilirubinemia. PMID: 22580719
- The expression of OATP1A2 and OATP1B3 in placenta decreased in, and may be involved in the pathophysiology of, intrahepatic cholestasis of pregnancy. OATP1B3 was localized to the vasculo-syncytial membrane of syncytiotrophoblasts. PMID: 22203093
- Site-directed mutagenesis of three key residues in OATP1B1 transmembrane helices 1 and 10, and extracellular loop 6, to the corresponding residues in OATP1B3, resulted in a gain of CCK-8 transport by OATP1B1. PMID: 22352740
- Influence of SLCO1B3 haplotype-tag SNPs on docetaxel disposition in Chinese nasopharyngeal cancer patients PMID: 21995462
- Thirty-six variations of OATP1B3 were identified in the Korean population, consisting of nine variations in the 5'-upstream region, ten in the exon regions, and seventeen in the intron regions. PMID: 22147445
- Isoform specific mRNA quantification showed that the Ct-OATP1B3 mRNA level was strikingly higher than that of Lt-OATP1B3 mRNA in human cancer tissues. PMID: 22326869
- immunohistochemical expression of OATP8 significantly decreases during multistep hepatocarcinogenesis PMID: 21626360
- SLCO1B3 expression, rather than CTNNB1 mutation, is the critical determinant of intratumoral cholestasis. PMID: 21615622
- Genetic variants of SLCO1B3 may function as pharmacogenomic determinants of resistance to androgen deprivation therapy in prostate cancer. PMID: 21606417
- Data indicate that hydroxyurea transport and cellular uptake by OATP1B3 is time- and temperature-dependent. PMID: 21256917
- OATP1B3 polymorphisms that result in altered expression, substrate specificity, and pH-dependent activity may be of potential relevance to hepatic clearance of substrate drugs in vivo. PMID: 21278621
- These results suggested that the SLCO1B3 334T>G polymorphism could have a significant impact on the intracellular concentration of imatinib in leukocytes as a promising biomarker for personalized treatment of chronic myeloid leukemia patients. PMID: 21212528
- Forty one nucleotide sequence variants leading to nine major haplotypes in the SLCO1B3 were identified in caucasian Canadians. PMID: 20877131
- Genetic variations of SLCO1B3 and UGT1A1 is associated serum bilirubin levels in Korean population. PMID: 20639394
- SLCO1B3 polymorphism significantly influences plasma mycophenolic acid glucuronide pharmacokinetics in Japanese renal transplant recipients. PMID: 18695635
- OATP1B3 is one of the transporters contributing to the supply of the estrogen precursor estrone-3-sulfate to estrogen-dependent breast cancer cells. PMID: 20615467
- DNA methylation-dependent gene silencing is at least partly involved in the regulation of OATP1B3 expression in cancer/immortalized cell lines. PMID: 20130966
- In this review, organic anion transporting polypeptide (OATP)1B3 is an uptake transporter specifically expressed in the liver, and is considered important for drugs, particularly as its pharmacological target organ is the liver. PMID: 19442037
顯示更多
收起更多
-
相關疾病:Hyperbilirubinemia, Rotor type (HBLRR)
-
亞細胞定位:Basolateral cell membrane; Multi-pass membrane protein.
-
蛋白家族:Organo anion transporter (TC 2.A.60) family
-
組織特異性:Highly expressed in liver, in particular at the basolateral membrane of hepatocytes near the central vein. Not detected in other tissues. Highly expressed in some cancer cell lines derived from colon, pancreas, liver and gall bladder.
-
數據庫鏈接:
Most popular with customers
-
YWHAB Recombinant Monoclonal Antibody
Applications: ELISA, WB, IHC, IF, FC
Species Reactivity: Human, Mouse, Rat
-
Phospho-YAP1 (S127) Recombinant Monoclonal Antibody
Applications: ELISA, WB, IHC
Species Reactivity: Human
-
-
-
-
-
-















