SLC7A6 Antibody
-
中文名稱:SLC7A6兔多克隆抗體
-
貨號:CSB-PA849761LA01HU
-
規格:¥440
-
圖片:
-
Western Blot
Positive WB detected in: K562 whole cell lysate, Mouse Heart tissue lysate
All lanes: SLC7A6 antibody at 1:1000
Secondary
Goat polyclonal to rabbit IgG at 1/50000 dilution
Predicted band size: 57 kDa
Observed band size: 57 kDa -
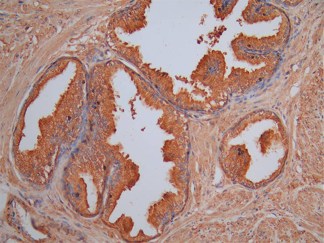
IHC image of CSB-PA849761LA01HU diluted at 1:100 and staining in paraffin-embedded human prostate cancer performed on a Leica BondTM system. After dewaxing and hydration, antigen retrieval was mediated by high pressure in a citrate buffer (pH 6.0). Section was blocked with 10% normal goat serum 30min at RT. Then primary antibody (1% BSA) was incubated at 4°C overnight. The primary is detected by a Goat anti-rabbit polymer IgG labeled by HRP and visualized using 0.05% DAB.
-
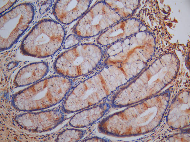
IHC image of CSB-PA849761LA01HU diluted at 1:100 and staining in paraffin-embedded human colorectal cancer performed on a Leica BondTM system. After dewaxing and hydration, antigen retrieval was mediated by high pressure in a citrate buffer (pH 6.0). Section was blocked with 10% normal goat serum 30min at RT. Then primary antibody (1% BSA) was incubated at 4°C overnight. The primary is detected by a Goat anti-rabbit polymer IgG labeled by HRP and visualized using 0.05% DAB.
-
Immunofluorescence staining of Hela cell with CSB-PA849761LA01HU at 1:90, counter-stained with DAPI. The cells were fixed in 4% formaldehyde and blocked in 10% normal Goat Serum. The cells were then incubated with the antibody overnight at 4C. The secondary antibody was Alexa Fluor 488-congugated AffiniPure Goat Anti-Rabbit IgG(H+L).
-
-
其他:
產品詳情
-
產品名稱:Rabbit anti-Homo sapiens (Human) SLC7A6 Polyclonal antibody
-
Uniprot No.:
-
基因名:SLC7A6
-
別名:SLC7A6 antibody; KIAA0245 antibody; Y+L amino acid transporter 2 antibody; Cationic amino acid transporter antibody; y+ system antibody; Solute carrier family 7 member 6 antibody; y(+)L-type amino acid transporter 2 antibody; Y+LAT2 antibody; y+LAT-2 antibody
-
宿主:Rabbit
-
反應種屬:Human, Mouse
-
免疫原:Recombinant Human Y+L amino acid transporter 2 protein (473-515AA)
-
免疫原種屬:Homo sapiens (Human)
-
標記方式:Non-conjugated
本頁面中的產品,SLC7A6 Antibody (CSB-PA849761LA01HU),的標記方式是Non-conjugated。對于SLC7A6 Antibody,我們還提供其他標記。見下表:
-
克隆類型:Polyclonal
-
抗體亞型:IgG
-
純化方式:>95%, Protein G purified
-
濃度:It differs from different batches. Please contact us to confirm it.
-
保存緩沖液:Preservative: 0.03% Proclin 300
Constituents: 50% Glycerol, 0.01M PBS, pH 7.4 -
產品提供形式:Liquid
-
應用范圍:ELISA, WB, IHC, IF
-
推薦稀釋比:
Application Recommended Dilution WB 1:500-1:5000 IHC 1:20-1:200 IF 1:20-1:200 -
Protocols:
-
儲存條件:Upon receipt, store at -20°C or -80°C. Avoid repeated freeze.
-
貨期:Basically, we can dispatch the products out in 1-3 working days after receiving your orders. Delivery time maybe differs from different purchasing way or location, please kindly consult your local distributors for specific delivery time.
-
用途:For Research Use Only. Not for use in diagnostic or therapeutic procedures.
相關產品
靶點詳情
-
功能:Involved in the sodium-independent uptake of dibasic amino acids and sodium-dependent uptake of some neutral amino acids. Requires coexpression with SLC3A2/4F2hc to mediate the uptake of arginine, leucine and glutamine. Also acts as an arginine/glutamine exchanger, following an antiport mechanism for amino acid transport, influencing arginine release in exchange for extracellular amino acids. Plays a role in nitric oxide synthesis in human umbilical vein endothelial cells (HUVECs) via transport of L-arginine. Involved in the transport of L-arginine in monocytes. Reduces uptake of ornithine in retinal pigment epithelial (RPE) cells.
-
基因功能參考文獻:
- Results suggest that leukemia cell proliferation can be significantly suppressed by blocking amino acid transporter LAT3. PMID: 24142711
- Inhibition of LAT transporters may provide a novel therapeutic target in metastatic castration-resistant prostate cancer, via suppression of mammalian target of rapamycin complex 1 activity and M-phase cell cycle genes. PMID: 24052624
- LAT3 may play a crucial role in the development and maintenance of podocyte structure and function by regulating protein synthesis and the actin cytoskeleton. PMID: 19443642
-
亞細胞定位:Basolateral cell membrane; Multi-pass membrane protein.
-
蛋白家族:Amino acid-polyamine-organocation (APC) superfamily, L-type amino acid transporter (LAT) (TC 2.A.3.8) family
-
組織特異性:Expressed in normal fibroblasts and those from LPI patients. Also expressed in HUVECs, monocytes, RPE cells, and various carcinoma cell lines.
-
數據庫鏈接:
Most popular with customers
-
-
YWHAB Recombinant Monoclonal Antibody
Applications: ELISA, WB, IHC, IF, FC
Species Reactivity: Human, Mouse, Rat
-
Phospho-YAP1 (S127) Recombinant Monoclonal Antibody
Applications: ELISA, WB, IHC
Species Reactivity: Human
-
-
-
-
-















