SLC6A15 Antibody
-
中文名稱:SLC6A15兔多克隆抗體
-
貨號:CSB-PA875657LA01HU
-
規格:¥440
-
圖片:
-
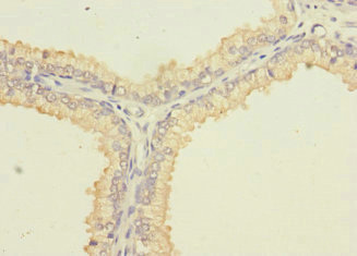
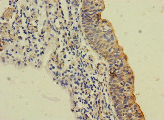
Immunohistochemistry of paraffin-embedded human bladder cancer using CSB-PA875657LA01HU at dilution of 1:100
-
Immunohistochemistry of paraffin-embedded human prostate cancer using CSB-PA875657LA01HU at dilution of 1:100
-
Immunofluorescent analysis of HepG2 cells using CSB-PA875657LA01HU at dilution of 1:100 and Alexa Fluor 488-congugated AffiniPure Goat Anti-Rabbit IgG(H+L)
-
-
其他:
產品詳情
-
產品名稱:Rabbit anti-Homo sapiens (Human) SLC6A15 Polyclonal antibody
-
Uniprot No.:
-
基因名:SLC6A15
-
別名:hv7 3 antibody; MGC87066 antibody; NTT73 antibody; Orphan sodium and chloride dependent neurotransmitter transporter NTT73 antibody; Orphan transporter v7 3 antibody; S6A15_HUMAN antibody; SBAT1 antibody; SLC6A15 antibody; sodium- and chloride-dependent neurotransmitter transporter NTT73 antibody; Sodium-coupled branched-chain amino-acid transporter 1 antibody; Sodium-dependent neutral amino acid transporter B(0)AT2 antibody; Solute carrier family 6 (neutral amino acid transporter) member 15 antibody; Solute carrier family 6 member 15 antibody; Transporter v7-3 antibody; V7 3 antibody
-
宿主:Rabbit
-
反應種屬:Human
-
免疫原:Recombinant Human Sodium-dependent neutral amino acid transporter B(0)AT2 protein (357-452AA)
-
免疫原種屬:Homo sapiens (Human)
-
標記方式:Non-conjugated
本頁面中的產品,SLC6A15 Antibody (CSB-PA875657LA01HU),的標記方式是Non-conjugated。對于SLC6A15 Antibody,我們還提供其他標記。見下表:
-
克隆類型:Polyclonal
-
抗體亞型:IgG
-
純化方式:>95%, Protein G purified
-
濃度:It differs from different batches. Please contact us to confirm it.
-
保存緩沖液:Preservative: 0.03% Proclin 300
Constituents: 50% Glycerol, 0.01M PBS, PH 7.4 -
產品提供形式:Liquid
-
應用范圍:ELISA, IHC, IF
-
推薦稀釋比:
Application Recommended Dilution IHC 1:20-1:200 IF 1:50-1:200 -
Protocols:
-
儲存條件:Upon receipt, store at -20°C or -80°C. Avoid repeated freeze.
-
貨期:Basically, we can dispatch the products out in 1-3 working days after receiving your orders. Delivery time maybe differs from different purchasing way or location, please kindly consult your local distributors for specific delivery time.
-
用途:For Research Use Only. Not for use in diagnostic or therapeutic procedures.
相關產品
靶點詳情
-
功能:Functions as a sodium-dependent neutral amino acid transporter. Exhibits preference for the branched-chain amino acids, particularly leucine, valine and isoleucine and methionine. Mediates the saturable, pH-sensitive and electrogenic cotransport of proline and sodium ions with a stoichiometry of 1:1. May have a role as transporter for neurotransmitter precursors into neurons. In contrast to other members of the neurotransmitter transporter family, does not appear to be chloride-dependent.
-
基因功能參考文獻:
- We observed an association between the SLC6A15 rs1545843 and resting-state brain function of the corpus callosum, cingulum and the frontal, parietal, and temporal lobes in MDD patients, which may be involved in the pathogenesis of Major Depressive Disorder. There was no interaction between rs1545843 genotypes and disease status. PMID: 28915082
- This study provides the first evidence that, at least among Han Chinese patients with PD, AA genotype at rs1545843 in the SLC6A15 gene. PMID: 28320136
- an association between the risk allele of the SLC6A15 gene rs1545843 and the White Matter Tracts integrity of the PHC in Major Depressive Disorder patients, which is known to play an important role in the neural circuit involved in emotion processing. PMID: 27723767
- The SLC6A15 gene plays a role in adrenocorticotropic hormone (ACTH) and cortisol secretion during cognitive impairments in unipolar depression. PMID: 22475622
- SNP rs1545843 associated with with local gray matter volume in median cingulate gyrus PMID: 23820837
- The data from human genetics(SLC6A15), expression studies, brain imaging, and animal models suggest a pathophysiological mechanism for MD that may be accessible to drug targeting. PMID: 21521612
- SBAT1-mediated transport of BCAA, particularly leucine, may be an important source of amino nitrogen for neurotransmitter synthesis in glutamatergic and GABAergic neurons. PMID: 16226721
- The substrate profile of the NTT4/XT1-dependent activity is similar to that of the closely related B(0)AT2/SBAT1 (SLC6A15), including a submillimolar apparent affinity for proline and leucine and a low millimolar apparent affinity for glutamine. PMID: 19147495
顯示更多
收起更多
-
亞細胞定位:Membrane; Multi-pass membrane protein.
-
蛋白家族:Sodium:neurotransmitter symporter (SNF) (TC 2.A.22) family, SLC6A15 subfamily
-
組織特異性:Almost exclusively expressed in the brain.
-
數據庫鏈接:
Most popular with customers
-
-
YWHAB Recombinant Monoclonal Antibody
Applications: ELISA, WB, IHC, IF, FC
Species Reactivity: Human, Mouse, Rat
-
Phospho-YAP1 (S127) Recombinant Monoclonal Antibody
Applications: ELISA, WB, IHC
Species Reactivity: Human
-
-
-
-
-















