SLC5A5 Antibody
-
中文名稱:SLC5A5兔多克隆抗體
-
貨號:CSB-PA276678
-
規格:¥1100
-
圖片:
-
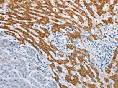
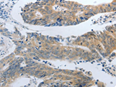
The image on the left is immunohistochemistry of paraffin-embedded Human colon cancer tissue using CSB-PA276678(SLC5A5 Antibody) at dilution 1/30, on the right is treated with synthetic peptide. (Original magnification: ×200)
-
The image on the left is immunohistochemistry of paraffin-embedded Human liver cancer tissue using CSB-PA276678(SLC5A5 Antibody) at dilution 1/30, on the right is treated with synthetic peptide. (Original magnification: ×200)
-
Gel: 8%SDS-PAGE, Lysate: 40 μg, Lane 1-2: Human colon tissue, Human ovarian cancer tissue, Primary antibody: CSB-PA276678(SLC5A5 Antibody) at dilution 1/450, Secondary antibody: Goat anti rabbit IgG at 1/8000 dilution, Exposure time: 1 minute
-
-
其他:
產品詳情
-
Uniprot No.:
-
基因名:
-
別名:Na(+)/I(-) cotransporter antibody; Na(+)/I(-) symporter antibody; Na+/I- cotransporter antibody; Na+/I-symporter antibody; NIS antibody; SC5A5_HUMAN antibody; Slc5a5 antibody; sodium iodide symporter antibody; Sodium-iodide symporter antibody; Sodium/iodide cotransporter antibody; Solute carrier family 5 (sodium iodide symporter) member 5 antibody; solute carrier family 5 (sodium/iodide cotransporter), member 5 antibody; Solute carrier family 5 member 5 antibody; TDH1 antibody
-
宿主:Rabbit
-
反應種屬:Human
-
免疫原:Synthetic peptide of Human SLC5A5
-
免疫原種屬:Homo sapiens (Human)
-
標記方式:Non-conjugated
-
抗體亞型:IgG
-
純化方式:Antigen affinity purification
-
濃度:It differs from different batches. Please contact us to confirm it.
-
保存緩沖液:-20°C, pH7.4 PBS, 0.05% NaN3, 40% Glycerol
-
產品提供形式:Liquid
-
應用范圍:ELISA,WB,IHC
-
推薦稀釋比:
Application Recommended Dilution ELISA 1:1000-1:5000 WB 1:500-1:2000 IHC 1:25-1:100 -
Protocols:
-
儲存條件:Upon receipt, store at -20°C or -80°C. Avoid repeated freeze.
-
貨期:Basically, we can dispatch the products out in 1-3 working days after receiving your orders. Delivery time maybe differs from different purchasing way or location, please kindly consult your local distributors for specific delivery time.
-
用途:For Research Use Only. Not for use in diagnostic or therapeutic procedures.
相關產品
靶點詳情
-
功能:Mediates iodide uptake in the thyroid gland.
-
基因功能參考文獻:
- The present work reveals much lower iodide affinity in the pocket of human SMCT1 analogous to the putative iodide-binding pocket of human NIS. PMID: 29131623
- The expression of NIS differs insignificantly in gastric tissue of obese and control individuals. PMID: 29631680
- NIS localization in the follicular lumen in nodular goiter patients PMID: 28190186
- Results show transgene induction under hypoxia in tumor cell spheroid models, or radioiodide uptake using sodium iodide symporter (NIS). PMID: 27458162
- Data suggest iodination of TG is involved in regulation of NIS expression in thyroid follicle via TSH/TSHR signaling; NIS expression and PKA activity are up-regulated by lowly iodinated TG; NIS expression is down-regulated and PKC activity up-regulated by highly iodinated TG. (TG, thyroglobulin; NIS, sodium/iodide symporter; PK, protein kinase; TSH, thyroid-stimulating hormone; TSHR, thyroid-stimulating hormone receptor) PMID: 28396984
- Data indicate that although fewer than 25% of cells expressed Na+/I- symporter (NIS), combining131I- with gemcitabine (GEMGEM/131I)- caused dramatic tumor regression in NIS-transduced breast cancer brain metastases (BCBMs). PMID: 27363025
- Experiments in whole cells demonstrated that these four residues participate in transport by NIS: mutations at these positions result in proteins that, although expressed at the plasma membrane, transport little or no I(-) These residues are conserved throughout the entire SLC5 family, to which NIS belongs, suggesting that they serve a similar function in the other transporters PMID: 27562170
- Study brings out molecular evidence showing that NIS is a direct target of wild-type p53 and its activation upon Doxorubicin drug exposure results in suppression of NIS expression and function in breast cancer cells. PMID: 28528452
- radiotracer accumulation in transfected cells correlated with the induction of hNIS and with the expression of miRNAs detected by real time PCR. PMID: 28493972
- Results indicate that Na+/I- symporter (NIS) can be used as an objective used as an objective criterion for determining the sensitivity of luminal B and basal breast cancer (BC)subtypes to neoadjuvant chemotherapy (NACT). PMID: 28361851
- Our findings indicated that hTERT promoter-driven expression of the NIS gene in HeLa cells led to 188Re uptake and therapeutic effects. Thus, NIS-based gene therapy and imaging using the hTERT promoter and 188Re may be possible. PMID: 27573304
- SLC5A5 was down-regulated in FTC and PTC. Its expression could be modulated by hsa-let-7f-5p. ATC showed a loss of SLC5A5/hsa-let7f-5p correlation PMID: 26960757
- Mutating the sites located on the C-terminal domain of the protein has no effect except for the creation of a diacidic motif that decreases the total NIS protein level without affecting its expression at the plasma membrane. PMID: 26831514
- Therefore, enhancing functional NIS by the increasing level of glycosylation may be suggested as a promising therapeutic strategy for cancer patients who show refractory response to conventional radioiodine treatment. PMID: 26599396
- Our results confirmed that NIS overexpression enhances the sensitivity of ER-negative breast cancer cells to radioiodide therapy. PMID: 25955347
- miR-146b-3p binds to the 3'-untranslated region of PAX8 and sodium/iodide symporter, leading to impaired protein translation and a subsequent reduction in iodide uptake. PMID: 26282166
- Study demonstrates an association of one variant and several haplotypes of the NIS gene with differentiated thyroid cancer. PMID: 26160439
- Data suggest that SLC5A5, SLC5A8 (sodium-coupled monocarboxylate transporter 1), and SLC26A4 (pendrin), the 3 known iodide transporters, are important in breast tissue metabolism in lactation and in breast neoplasms. [REVIEW] PMID: 26285906
- Real time PCR revealed that both cell lines express mRNA of lactoferrin receptors while flow cytometry and confocal microscopy showed the cells efficiently internalize bLf which upregulates NIS expression. PMID: 26213306
- Although the affinity of NIS for I- is low, it increases when Na+ is bound. NIS takes advantage of the extracellular Na+ concentration and the pronounced increase in its own affinity for I- and for the second Na+ elicited by binding of the first. PMID: 24888603
- concluded that NIS-mediated RAIU could be modulated by miR-146b; accordingly, miR-146b might serve as one of targets to enhance efficacy of radioactive therapy against poorly differential thyroid carcinoma PMID: 25960292
- In normal salivary gland, striated duct cells strongly expressed NIS. In Warthin's tumors, eosinophilic epithelial cells exhibited NIS expression, but expression was varied among cases. Tc-positive specimens were NIS+. Tc-negative specimens were NIS-. PMID: 25199743
- Due to their low NIS expression, TCV and DSPTC need higher cumulative doses of radioactive iodine therapy to improve their prognosis. PMID: 24096868
- results indicate that the NIS mutation rate is very low in the Guangxi Zhuang Region, China, and it is necessary to study mutations of other genes that have major effects on thyroid dyshormonogenesis and have not as yet been studied in this population. PMID: 25465605
- Relatively weak melanoma-specific promoter directs high NIS activity in melanoma cell, however weaker cancer-specific promoters drive high NIS activity only in certain melanoma cell line. PMID: 25842835
- BRAF V600E inhibited NIS expression by the upregulation of its promoter methylation. Specific regions of CpG islands of NIS promoter in BRAF V600E harboring papillary thyroid carcinoma were highly methylated compared with surrounding normal tissue. PMID: 25378232
- Given the recent progress in the study of NIS regulation as molecular basis for new therapeutic approaches in extrathyroidal cancers. PMID: 24884806
- The expression of TSHR and NIS genes is differently controlled by multiple mechanisms, including epigenetic events elicited by major signaling pathways involved in thyroid tumorigenesis. PMID: 24353283
- NIS is a new ovarian cancer marker, opening a door for the use of radioiodide in the diagnosis and treatment of ovarian cancer patients. PMID: 24708099
- this study identified a new distal enhancer, NIS distal enhancer, that regulates gene expression through DNA methylation in thyroid cancer. PMID: 24432988
- The results suggest a a key structural role for the delta-amino group of R124 in the Na+/I- symporter's maturation and cell surface targeting. PMID: 23690546
- NIS expression is tightly modulated during the transition of intercalated to striated ducts and striated to excretory ducts in salivary ductal cells. NIS expression in salivary glands is decreased during inflammation and tumor formation PMID: 23441638
- Data indicate that Na+/I- symporter and type 3 iodothyronine deiodinase genes are expressed in term placenta and amniotic membrane. PMID: 23857380
- the NIS gene is a direct target of the p53 family. PMID: 24052075
- SLC5A5 is composed of 13 transmembrane helices and 643 amino acid residues in humans. (Review) PMID: 23988430
- Data indicate that interhelical interaction is required for Na(+)/I(-) symporter (NIS) folding and activity. PMID: 23650190
- Data from mutant recombinant proteins suggest that proto-oncogene PBF/PTTG1IP (pituitary tumor-transforming 1 interacting protein) is phosphoprotein and highlight importance of tyrosine residue Y174 in its interaction/co-localization with NIS. PMID: 23678037
- MEK inhibition leads to lysosome-mediated NIS protein degradation in human breast cancer cells PMID: 23404856
- The study indicates a positive link between hNIS and ER expression in breast cancer. PMID: 23342072
- NIS is highly expressed in early human trophoblast at the feto-maternal interface. PMID: 23174149
- Data indicate that MV-NIS, an oncolytic measles virus that encodes the human thyroidal sodium iodide symporter (NIS), deliver targeted radiotherapy to the tumor site and promote a localized bystander effect. above and beyond that achieved by MV alone. PMID: 23134812
- Data from various thyroid cancer cell lines suggest that PARP (poly(ADP-ribose) polymerase) inhibition increases NIS gene expression through a particular modulation of transcriptional regulatory mechanisms (i.e., specific histone modifications). PMID: 22982218
- Data indicate that expression of SLC5A5 in placenta is up-regulated during placentation; during the first trimester, SLC5A5 mRNA is low at 6 weeks and peaks at 12 weeks; expression of SLC5A5 protein increases with increased placental vascularization. PMID: 22954554
- Nevirapine may induce the up-regulation of NIS mRNA and TSHR mRNA in FRO anaplastic thyroid carcinoma cells. PMID: 22781452
- Molecular imaging of luciferase signal and sodium-iodide symporter imaging may be useful for in vivo optimization of bioenergetics in transplanted cells. PMID: 23255420
- Sodium/iodide symporter is expressed in the majority of seminomas and embryonal testicular carcinomas. PMID: 23117572
- our results established NIS as a carrier protein that interacts with a major cell signaling hub to facilitate tumor cell locomotion and invasion. PMID: 22962269
- The BRAF(V600E) mutation was associated with a statistically significant lower functional NIS protein expression in the classic variant of papillary thyroid carcinomas. PMID: 23163107
- CREM expression is increased in thyroid cancer tissue and may play a role in the downregulation of sodium iodide symporter expression in thyroid cancer acting at the transcriptional level PMID: 22510021
- analysis of subcellular distribution of the sodium iodide symporter in benign and malignant thyroid tissues PMID: 22545753
顯示更多
收起更多
-
相關疾病:Thyroid dyshormonogenesis 1 (TDH1)
-
亞細胞定位:Membrane; Multi-pass membrane protein.
-
蛋白家族:Sodium:solute symporter (SSF) (TC 2.A.21) family
-
組織特異性:Expression is primarily in thyroid tissue, but also to a lower extent in mammary gland and ovary. Expression is reduced in tumors.
-
數據庫鏈接:
Most popular with customers
-
-
YWHAB Recombinant Monoclonal Antibody
Applications: ELISA, WB, IHC, IF, FC
Species Reactivity: Human, Mouse, Rat
-
Phospho-YAP1 (S127) Recombinant Monoclonal Antibody
Applications: ELISA, WB, IHC
Species Reactivity: Human
-
-
-
-
-















