SLC5A11 Antibody
-
中文名稱:SLC5A11兔多克隆抗體
-
貨號:CSB-PA963419
-
規格:¥1100
-
圖片:
-
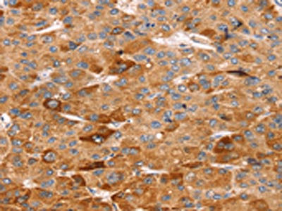
The image on the left is immunohistochemistry of paraffin-embedded Human liver cancer tissue using CSB-PA963419(SLC5A11 Antibody) at dilution 1/25, on the right is treated with synthetic peptide. (Original magnification: ×200)
-
The image on the left is immunohistochemistry of paraffin-embedded Human prostate cancer tissue using CSB-PA963419(SLC5A11 Antibody) at dilution 1/25, on the right is treated with synthetic peptide. (Original magnification: ×200)
-
-
其他:
產品詳情
-
Uniprot No.:
-
基因名:SLC5A11
-
別名:homolog of rabbit KST1 antibody; KST1 antibody; Na(+)/myo-inositol cotransporter 2 antibody; na+/myo-inositol cotransporter 2 antibody; putative sodium-coupled cotransporter RKST1 antibody; RKST1 antibody; SC5AB_HUMAN antibody; SGLT6 antibody; SLC5A11 antibody; SMIT2 antibody; Sodium-dependent glucose cotransporter antibody; Sodium/glucose cotransporter KST1 antibody; Sodium/myo-inositol cotransporter 2 antibody; Sodium/myo-inositol transporter 2 antibody; solute carrier family 5 (sodium/glucose cotransporter); member 11 antibody; Solute carrier family 5 member 11 antibody
-
宿主:Rabbit
-
反應種屬:Human,Mouse,Rat
-
免疫原:Synthetic peptide of Human SLC5A11
-
免疫原種屬:Homo sapiens (Human)
-
標記方式:Non-conjugated
-
抗體亞型:IgG
-
純化方式:Antigen affinity purification
-
濃度:It differs from different batches. Please contact us to confirm it.
-
保存緩沖液:-20°C, pH7.4 PBS, 0.05% NaN3, 40% Glycerol
-
產品提供形式:Liquid
-
應用范圍:ELISA,IHC
-
推薦稀釋比:
Application Recommended Dilution ELISA 1:2000-1:5000 IHC 1:25-1:100 -
Protocols:
-
儲存條件:Upon receipt, store at -20°C or -80°C. Avoid repeated freeze.
-
貨期:Basically, we can dispatch the products out in 1-3 working days after receiving your orders. Delivery time maybe differs from different purchasing way or location, please kindly consult your local distributors for specific delivery time.
-
用途:For Research Use Only. Not for use in diagnostic or therapeutic procedures.
相關產品
靶點詳情
-
功能:Involved in the sodium-dependent cotransport of myo-inositol (MI) with a Na(+):MI stoichiometry of 2:1. Exclusively responsible for apical MI transport and absorption in intestine. Also can transport D-chiro-inositol (DCI) but not L-fructose. Exhibits stereospecific cotransport of both D-glucose and D-xylose. May induce apoptosis through the TNF-alpha, PDCD1 pathway. May play a role in the regulation of MI concentration in serum, involving reabsorption in at least the proximal tubule of the kidney.
-
基因功能參考文獻:
- SLC5A11 is involved with some immune effects and interacts with immune-related gene(s); it is consistent with its function as an autoimmune modifier gene. PMID: 18069935
-
亞細胞定位:Membrane; Multi-pass membrane protein.
-
蛋白家族:Sodium:solute symporter (SSF) (TC 2.A.21) family
-
組織特異性:Highest expression in heart, skeletal muscle, kidney, liver and placenta. Weaker expression in brain, colon, spleen, lung and peripheral blood leukocytes.
-
數據庫鏈接:
Most popular with customers
-
-
YWHAB Recombinant Monoclonal Antibody
Applications: ELISA, WB, IHC, IF, FC
Species Reactivity: Human, Mouse, Rat
-
Phospho-YAP1 (S127) Recombinant Monoclonal Antibody
Applications: ELISA, WB, IHC
Species Reactivity: Human
-
-
-
-
-















