SLC4A4 Antibody
-
中文名稱:SLC4A4兔多克隆抗體
-
貨號:CSB-PA773563
-
規格:¥1100
-
圖片:
-
The image on the left is immunohistochemistry of paraffin-embedded Human brain tissue using CSB-PA773563(SLC4A4 Antibody) at dilution 1/50, on the right is treated with fusion protein. (Original magnification: ×200)
-
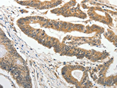
The image on the left is immunohistochemistry of paraffin-embedded Human colon cancer tissue using CSB-PA773563(SLC4A4 Antibody) at dilution 1/50, on the right is treated with fusion protein. (Original magnification: ×200)
-
-
其他:
產品詳情
-
Uniprot No.:
-
基因名:SLC4A4
-
別名:DKFZp781H1314 antibody; Electrogenic sodium bicarbonate cotransporter 1 antibody; hhNMC antibody; HNBC 1 antibody; HNBC1 antibody; kNBC 1 antibody; KNBC antibody; kNBC1 antibody; Na(+)/HCO3(-) cotransporter antibody; Na+HCO3- cotransporter 4 antibody; NBC 1 antibody; NBC 2 antibody; NBC1 antibody; NBC2 antibody; Nbc4 antibody; NBCE 1 antibody; NBCE1 antibody; OTTHUMP00000160355 antibody; OTTHUMP00000218884 antibody; OTTHUMP00000218885 antibody; PNBC antibody; S4A4_HUMAN antibody; SLC4A4 antibody; SLC4A5 antibody; Sodium bicarbonate cotransporter 1 (sodium bicarbonate cotransporter, kidney, sodium bicarbonate cotransporter, pancreas) antibody; Sodium bicarbonate cotransporter antibody; Sodium bicarbonate cotransporter kidney antibody; sodium bicarbonate cotransporter member 4 antibody; Sodium bicarbonate cotransporter pancreas antibody; Solute carrier family 4 member 4 antibody; Solute carrier family 4 sodium bicarbonate cotransporter member 4 antibody; Solute carrier family 4 sodium bicarbonate cotransporter member 5 antibody; Solute carrier family 4, sodium bicarbonate cotransporter, member 4, brain type antibody
-
宿主:Rabbit
-
反應種屬:Human,Mouse,Rat
-
免疫原:Fusion protein of Human SLC4A4
-
免疫原種屬:Homo sapiens (Human)
-
標記方式:Non-conjugated
-
抗體亞型:IgG
-
純化方式:Antigen affinity purification
-
濃度:It differs from different batches. Please contact us to confirm it.
-
保存緩沖液:-20°C, pH7.4 PBS, 0.05% NaN3, 40% Glycerol
-
產品提供形式:Liquid
-
應用范圍:ELISA,IHC
-
推薦稀釋比:
Application Recommended Dilution ELISA 1:2000-1:5000 IHC 1:50-1:200 -
Protocols:
-
儲存條件:Upon receipt, store at -20°C or -80°C. Avoid repeated freeze.
-
貨期:Basically, we can dispatch the products out in 1-3 working days after receiving your orders. Delivery time maybe differs from different purchasing way or location, please kindly consult your local distributors for specific delivery time.
-
用途:For Research Use Only. Not for use in diagnostic or therapeutic procedures.
相關產品
靶點詳情
-
功能:Electrogenic sodium/bicarbonate cotransporter with a Na(+):HCO3(-) stoichiometry varying from 1:2 to 1:3. May regulate bicarbonate influx/efflux at the basolateral membrane of cells and regulate intracellular pH.; May have a higher activity than isoform 1.
-
基因功能參考文獻:
- A novel mechanism for variable phenotypic expressivity in band-shaped corneal dystrophy mediated by an AU-rich element (ARE)-creating mutation in SLC4A4 in three unrelated consanguineous families has been described. PMID: 28754144
- the structure of the membrane domain dimer of human NBCe1 at 3.9 A resolution by cryo electron microscopy, was determined. PMID: 29500354
- Common variants in the SLC4A4 gene might contribute to the variation of blood pressure responses to dietary sodium intake in Han Chinese population. PMID: 26582410
- R510H and Q913R identified in a patient with proximal renal tubular acidosis. Mutant proteins exhibit substantial intracellular retention when expressed in mammalian renal cell lines. Q913R is associated with an unusual HCO3- independent anion-leak in Xenopus oocytes. PMID: 27338124
- miR-224 was significantly downregulated as ameloblasts differentiated, in parallel with upregulation of SLC4A4 and CFTR. PMID: 26055330
- The R298S is a temperature-sensitive mutation in NBCe1-A that results in instability of the colloidal system leading to abnormal aggregation. PMID: 25743102
- our results indicate that SLC4A4 contributes to the HCO3(-) transport and tumor cell phenotype PMID: 25612232
- These results revealed that insulin can stimulate PT sodium transport even in type 2 diabetes with overt nephropathy. PMID: 25866180
- Data indicate that a domain-like structure formed by extracellular loop 3 (EL-3) is present at the SLC4 Na+-coupled transporter NBCe1-A dimeric interface. PMID: 25568315
- The cell membrane gene SLC4A4 and the trafficking regulator gene COPA, which also plays an important role in early endosome maturation, were identified for the cellular entry of poly-arginine peptide. PMID: 24489756
- Our results demonstrate a surprisingly high apparent bicarbonate sensitivity mediated by NBCe1 in cortical astrocytes PMID: 24453308
- a clear understanding of the structure-functional properties of NBCe1 is a prerequisite for elucidating the mechanisms of defective transepithelial bicarbonate transport--{REVIEW} PMID: 23917030
- A substrate access tunnel in the cytosolic domain is not an essential feature of the solute carrier 4 (SLC4) family of bicarbonate transporters. PMID: 24121512
- Suggest NBce1-A missense mutation as new pathogenic mechanism for generating human proximal tubular acidosis. PMID: 23636456
- features of NBCe1-like activity in renal preparations are influenced by yet-to-be-identified renal factors PMID: 23324180
- analysis of NBCe1 protein transmembrane segment 1 and structural effect of proximal renal tubular acidosis (pRTA) S427L mutation PMID: 23362273
- novel role of STCH in the regulation of pHi through site-specific interactions with NBCe1-B and NHE1 and subsequent modulation of membrane transporter expression. PMID: 23303189
- Data identified IGF1, SLC4A4, WWOX, and SFMBT1 as hypertension susceptibility genes by gene based association scan and gene expression analysis. PMID: 22479346
- Simultaneous switching of the putative transmembrane segment (TM6) and TM12 of NBCe1 for those from NBCn1 severely impairs the expression of the transporter at the plasma membrane. PMID: 22383045
- the regulation of anion fluxes in insulin-producing cells may involve both SLC4A4 and TMEM16A PMID: 22415075
- study finds that NBCe1-B is equally stimulated by autoinhibitory domain removal and coexpression of IRBIT with full-length NBCe1-B. PMID: 22012331
- NBCe1 (SLC4A4) is electrogenic because it has an apparent Na+:HCO stoichiometry of 1:2 or 1:3, whereas NBCn1 (SLC4A7) is electroneutral because it has an apparent stoichiometry of 1:1. PMID: 21224233
- Slc4a4/NBCe1 is a key element in a feedforward mechanism linking excitatory synaptic transmission to fast modulation of glycolysis in astrocytes. PMID: 21976511
- the present results suggested that PTH stimulated intestinal HCO(3)(-) secretion, particularly in the ileum, by inducing the basolateral HCO(3)(-) uptake via NBCe1. PMID: 21621518
- Identify a novel homozygous nonsense mutation (W516X) in the kidney-type electrogenic sodium bicarbonate cotransporter 1 in a patient with isolated proximal renal tubular acidosis. PMID: 21228764
- IRBIT opposes the effects of WNKs and SPAK by recruiting PP1 to the complex to dephosphorylate CFTR and NBCe1-B, restoring their cell surface expression, in addition to stimulating their activities PMID: 21317537
- among four SNPs, only the K558R variant, which is predicted to lie in transmembrane segment 5, significantly reduces the NBCe1A activity without changing the trafficking behavior or the apparent extracellular Na(+) affinity. PMID: 21234596
- C-terminal transmembrane region of NBCe1-A is tightly folded with unique structural and functional features. PMID: 20837482
- the pRTA residues in NBCe1-A are buried in the protein complex/lipid bilayer where they perform important structural roles. PMID: 20197274
- An in vitro transcription/translation analysis in the presence of canine pancreatic microsomal membranes shows that pNBC1 contains 10 transmembrane domains with cytoplasmic localization of the N- and C-termini. PMID: 12534288
- phosphorylation of Ser1026 mediates the cAMP-dependent shift in the stoichiometry of pNBC1, whereas Thr49 plays an essential role in the cAMP-induced increase in basolateral membrane conductance PMID: 12730338
- expression of kNBC-1 but not of pNBC-1 was detected in both normal human kidney and renal cell carcinoma tissues PMID: 14559244
- carbonic anhydrase IV binds EC4 of NBC1, and this interaction is essential for full NBC1 activity PMID: 14567693
- the electrogenic NBCe1 renders the cell membrane potential an effective regulator of intracellular H(+) buffering and acid/base-coupled metabolite transport PMID: 15123668
- First direct evidence that a complex of an electrogenic sodium bicarbonate cotransporter (human kNBC1) with carbonic anhydrase II functions as a transport metabolon. PMID: 15218065
- a carboxyl-terminal motif with the sequence QQPFLS, which spans amino acid residues 1010-1015, and specifically the amino acid residue Phe (position 1013) are essential for the exclusive targeting of NBC1 to the basolateral membrane PMID: 15273250
- Early activation of NBC1 activity by 10% CO2 was mediated by NBC1 phosphorylation. PMID: 15366422
- The expression of two missense mutations of NBC1 in MDCK cells and X. laevis oocytes to determine the distribution of the mutant proteins in polarized cells is reported. PMID: 15713912
- asymmetry of distribution of kNBC1 charged amino acids involved in ion recognition in putative outward-facing and inward-facing conformations PMID: 15817634
- NBC1 may have a role in proximal renal tubular acidosis and ocular abnormalities PMID: 15930088
- PMA inhibition of hkNBCe1 is mediated by Ca-dependent PKC and PMA does not induce downregulation of cotransporter surface expression. ANG II inhibition of hkNBCe1 is mediated by both PKCepsilon and downregulation of cotransporter surface expression. PMID: 16159892
- NBC1 targets to the basolateral membrane of OK cells by a default mechanism and the COOH terminus plays a role on NBC1 stability in the basolateral membrane. PMID: 16622177
- CA II does not enhance NBCe1-A activity PMID: 16687407
- Pathophysiology of proximal renal tubular acidosis(pRTA0 caused by R881C mutation is likely due to deficit of NBCe1-A at proximal tubule basolateral membrane, rather than defect in transport activity of individual molecules. PMID: 16707554
- Existence of an electrogenic sodium bicarbonate cotransporter in the basolateral membrane of respiratory epithelial cells that mediates bicarbonate entry from the interstitium. PMID: 16857349
- We propose that the phenylalanine-leucine motif in the COOH-terminal tail of NBC1 is essential for the targeting of NBC1 to the basolateral membrane but is distinct from the membrane-targeting di-leucine motif identified in other membrane proteins. PMID: 17182531
- Of the NBC1 mutations, G486R, like T485S, is a partial loss of function mutation without major trafficking abnormalities, while L522P causes the clinical phenotypes mainly through its inability to reach the plasma membranes. PMID: 17661077
- No mutation was found in the coding regions and intron-exon boundaries of the genes for CA II, CA IV, CA XIV, kNCB1, NHE3, NHE8, NHRF1, NHRF2 and SLC26A6 amplified from genomic DNA of family members with pRTA. PMID: 17881426
- Autosomal recessive pRTA with ocular abnormalities' is, for instance, attributable to homozygous mutations in the gene for kNBC-1 PMID: 18223262
- analysis of the SLC4A4 human mutation and structural model PMID: 18441326
顯示更多
收起更多
-
相關疾?。?/div>Renal tubular acidosis, proximal, with ocular abnormalities and mental retardation (pRTA-OA)亞細胞定位:Basolateral cell membrane; Multi-pass membrane protein.蛋白家族:Anion exchanger (TC 2.A.31) family組織特異性:Isoform 1 is expressed in pancreas and to a lower extent in heart, skeletal muscle, liver, parotid salivary glands, prostate, colon, stomach, thyroid, brain and spinal chord. Corneal endothelium cells express only isoform 1 (at protein level). Isoform 2 i數據庫鏈接:
Most popular with customers
-
-
YWHAB Recombinant Monoclonal Antibody
Applications: ELISA, WB, IHC, IF, FC
Species Reactivity: Human, Mouse, Rat
-
Phospho-YAP1 (S127) Recombinant Monoclonal Antibody
Applications: ELISA, WB, IHC
Species Reactivity: Human
-
-
-
-
-















