SLC39A7 Antibody
-
中文名稱:SLC39A7兔多克隆抗體
-
貨號:CSB-PA940611
-
規格:¥1100
-
圖片:
-
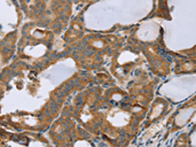
The image on the left is immunohistochemistry of paraffin-embedded Human thyroid cancer tissue using CSB-PA940611(SLC39A7 Antibody) at dilution 1/40, on the right is treated with synthetic peptide. (Original magnification: ×200)
-
Gel: 8%SDS-PAGE, Lysate: 40 μg, Lane 1-2: Huvec cells, 293T cells, Primary antibody: CSB-PA940611(SLC39A7 Antibody) at dilution 1/200, Secondary antibody: Goat anti rabbit IgG at 1/8000 dilution, Exposure time: 20 seconds
-
-
其他:
產品詳情
-
Uniprot No.:
-
基因名:SLC39A7
-
別名:SLC39A7; HKE4; RING5; Zinc transporter SLC39A7; Histidine-rich membrane protein Ke4; Really interesting new gene 5 protein; Solute carrier family 39 member 7; Zrt-, Irt-like protein 7; ZIP7
-
宿主:Rabbit
-
反應種屬:Human
-
免疫原:Synthetic peptide of Human SLC39A7
-
免疫原種屬:Homo sapiens (Human)
-
標記方式:Non-conjugated
-
抗體亞型:IgG
-
純化方式:Antigen affinity purification
-
濃度:It differs from different batches. Please contact us to confirm it.
-
保存緩沖液:-20°C, pH7.4 PBS, 0.05% NaN3, 40% Glycerol
-
產品提供形式:Liquid
-
應用范圍:ELISA,WB,IHC
-
推薦稀釋比:
Application Recommended Dilution ELISA 1:1000-1:2000 WB 1:200-1:1000 IHC 1:25-1:100 -
Protocols:
-
儲存條件:Upon receipt, store at -20°C or -80°C. Avoid repeated freeze.
-
貨期:Basically, we can dispatch the products out in 1-3 working days after receiving your orders. Delivery time maybe differs from different purchasing way or location, please kindly consult your local distributors for specific delivery time.
-
用途:For Research Use Only. Not for use in diagnostic or therapeutic procedures.
相關產品
靶點詳情
-
功能:Zinc transporter, that transports Zn(2+) from the endoplasmic reticulum/Golgi apparatus to the cytosol. Transport is stimulated by growth factors, such as EGF, and Ca(2+), as well as by exogenous Zn(2+).
-
基因功能參考文獻:
- Results suggest that solute carrier family 39 (zinc transporter), member 7 (SLC39A7) plays a crucial role in the proliferation and survival of colorectal cancer cells, which associates with colorectal tumorigenesis. PMID: 28981607
- These data reveal the role of ZIP7-mediated zinc release from intracellular stores in driving major pathways, such as MAPK, mTOR and PI3K-AKT, involved in providing cell survival and proliferation and often over activated in cancer. PMID: 28205653
- The recurrent seizures plus normal diet group showed worse performances in neurological reflex tests and reduced latencies to myoclonic seizures induced by penicillin compared with the control, which was concomitant with altered expressions of ZnT-7, MT-1, MT-2, and ZIP7. PMID: 27147436
- Knock-down of ZIP6 but not ZIP7 in MIN6 beta cells impaired the protective effects of GLP-1 on fatty acid-induced cell apoptosis, possibly via reduced activation of the p-ERK pathway PMID: 25969539
- The connection with proliferation and migration, as well as the activation of ZIP7 by CK2, a kinase that is antiapoptotic and promotes cell division PMID: 22317921
- Structure-function analysis of HKE4, a zinc transporter. PMID: 14525538
- ZIP7 is a functional zinc transporter that acts by transporting zinc from the Golgi apparatus to the cytoplasm of the cell PMID: 15705588
- ZIP7 is a critical component in the redistribution of zinc from intracellular stores to the cytoplasm and, as such, is essential for the zinc-induced inhibition of phosphatases, which leads to activation of growth factor receptors in MCF-7 cells PMID: 18583420
- ZIP7 releases zinc from the endoplasmic reticulum and might be required for tyrosine kinase activation. PMID: 19246244
顯示更多
收起更多
-
亞細胞定位:Endoplasmic reticulum membrane; Multi-pass membrane protein. Golgi apparatus, cis-Golgi network membrane; Multi-pass membrane protein.
-
蛋白家族:ZIP transporter (TC 2.A.5) family, KE4/Catsup subfamily
-
組織特異性:Widely expressed.
-
數據庫鏈接:
Most popular with customers
-
YWHAB Recombinant Monoclonal Antibody
Applications: ELISA, WB, IHC, IF, FC
Species Reactivity: Human, Mouse, Rat
-
Phospho-YAP1 (S127) Recombinant Monoclonal Antibody
Applications: ELISA, WB, IHC
Species Reactivity: Human
-
-
-
-
-
-















