SLC35A2 Antibody
-
中文名稱:SLC35A2兔多克隆抗體
-
貨號:CSB-PA021584LA01HU
-
規格:¥440
-
圖片:
-
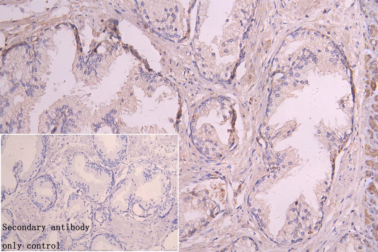
IHC image of CSB-PA021584LA01HU diluted at 1:150 and staining in paraffin-embedded human prostate.cancer performed on a Leica BondTM system. After dewaxing and hydration, antigen retrieval was mediated by high pressure in a citrate buffer (pH 6.0). Section was blocked with 10% normal goat serum 30min at RT. Then primary antibody (1% BSA) was incubated at 4°C overnight. The primary is detected by a Goat anti-rabbit polymer IgG labeled by HRP and visualized using 0.05% DAB. Secondary antibody only control: uses 1% BSA instead of primary antibody
-
Western Blot
Positive WB detected in: 293 whole cell lysate, PC-3 whole cell lysate, MCF7 whole cell lysate, Hela whole cell lysate, Jurkat whole cell lysate, HepG2 whole cell lysate, SH-SY5Y whole cell lysate All lanes:SLC35A2 Antibody at 1:1000
Secondary
Goat polyclonal to rabbit IgG at 1/50000 dilution
Predicted band size: 41 kDa
Observed band size: 41 kDa -
Western Blot
Positive WB detected in: Mouse Brain tissue lysate, Rat Brain tissue lysate
All lanes:SLC35A2 Antibody at 1:1000
Secondary
Goat polyclonal to rabbit IgG at 1/50000 dilution
Predicted band size: 41 kDa
Observed band size: 41 kDa
-
-
其他:
產品詳情
-
產品名稱:Rabbit anti-Homo sapiens (Human) SLC35A2 Polyclonal antibody
-
Uniprot No.:
-
基因名:SLC35A2
-
別名:SLC35A2 antibody; UGALT antibody; UGT antibody; UGTL antibody; UDP-galactose translocator antibody; Solute carrier family 35 member A2 antibody; UDP-galactose transporter antibody; UDP-Gal-Tr antibody; UGT antibody
-
宿主:Rabbit
-
反應種屬:Human, Mouse,Rat
-
免疫原:Synthesized peptide derived from human SLC35A2
-
免疫原種屬:Homo sapiens (Human)
-
克隆類型:Polyclonal
-
抗體亞型:IgG
-
純化方式:Antigen?affinity?purification
-
濃度:It differs from different batches. Please contact us to confirm it.
-
保存緩沖液:Liquid in PBS containing 50% glycerol, 0.5% BSA and 0.02% sodium azide.
-
產品提供形式:Liquid
-
應用范圍:ELISA, WB, IHC
-
推薦稀釋比:
Application Recommended Dilution WB 1:1000-1:3000 IHC 1:100-1:300 -
Protocols:
-
儲存條件:Upon receipt, store at -20°C or -80°C. Avoid repeated freeze.
-
貨期:Basically, we can dispatch the products out in 1-3 working days after receiving your orders. Delivery time maybe differs from different purchasing way or location, please kindly consult your local distributors for specific delivery time.
-
用途:For Research Use Only. Not for use in diagnostic or therapeutic procedures.
相關產品
靶點詳情
-
功能:Transports nucleotide sugars from the cytosol into Golgi vesicles where glycosyltransferases function.
-
基因功能參考文獻:
- The short N-terminal region composed of 35 N-terminal amino-acid residues of UGT was crucial for galactosylation of N-glycans. PMID: 25451267
- UDP-galactose (SLC35A2) and UDP-N-acetylglucosamine (SLC35A3) Transporters Form Glycosylation-related Complexes with Mannoside Acetylglucosaminyltransferases (Mgats). PMID: 25944901
- De novo mutations in SLC35A2 encoding a UDP-galactose transporter cause early-onset epileptic encephalopathy. PMID: 24115232
- The data further supports the hypothesis that UGT and NGT cooperate in the UDP-Gal delivery for glycosyltransferases located in the Golgi apparatus. PMID: 23583405
- Mosaicism of the UDP-galactose transporter SLC35A2 causes a congenital disorder of glycosylation. PMID: 23561849
- localization of the UDP-Gal transporter may depend on the presence of the partner splice variant PMID: 21918738
顯示更多
收起更多
-
相關疾病:Congenital disorder of glycosylation 2M (CDG2M)
-
亞細胞定位:Golgi apparatus membrane; Multi-pass membrane protein.
-
蛋白家族:Nucleotide-sugar transporter family, SLC35A subfamily
-
數據庫鏈接:
Most popular with customers
-
-
Phospho-YAP1 (S127) Recombinant Monoclonal Antibody
Applications: ELISA, WB, IHC
Species Reactivity: Human
-
-
-
-
-
-















