SLC32A1 Antibody
-
中文名稱:SLC32A1兔多克隆抗體
-
貨號:CSB-PA863984LA01HU
-
規格:¥440
-
圖片:
-
Western Blot
Positive WB detected in: Mouse brain tissue
All lanes: SLC32A1 antibody at 3.4μg/ml
Secondary
Goat polyclonal to rabbit IgG at 1/50000 dilution
Predicted band size: 58 kDa
Observed band size: 58 kDa -
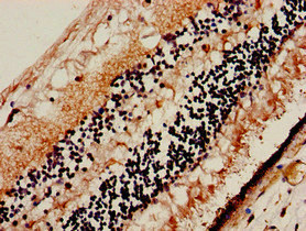
Immunohistochemistry of paraffin-embedded human eye tissue using CSB-PA863984LA01HU at dilution of 1:100
-
Immunofluorescent analysis of HepG2 cells using CSB-PA863984LA01HU at dilution of 1:100 and Alexa Fluor 488-congugated AffiniPure Goat Anti-Rabbit IgG(H+L)
-
-
其他:
產品詳情
-
產品描述:
The SLC32A1 antibody can be used to recognize the human and mouse SLC32A1 protein. When a rabbit received an injection of the recombinant human SLC32A1 protein (14-118aa), an immune response occurred in the rabbit producing large amounts of antibodies against the SLC32A1 protein. The rabbit's blood was collected and isolated to get the anti-serum, which was subjected to protein G purification to obtain the SLC32A1 polyclonal antibody (purity 95%+). This SLC32A1 antibody has accessed its specificity in ELISA, WB, IHC, and IF applications.
SLC32A1, also known as VIAAT, is a membrane protein responsible for transporting inhibitory neurotransmitters, such as gamma-aminobutyric acid (GABA) and glycine, into synaptic vesicles in neurons. It plays an important role in the regulation of neuronal excitability and inhibition in the nervous system. Dysfunction of SLC32A1 has been associated with several neurological and psychiatric disorders, including epilepsy, schizophrenia, and autism.
-
產品名稱:Rabbit anti-Homo sapiens (Human) SLC32A1 Polyclonal antibody
-
Uniprot No.:
-
基因名:
-
別名:bA122O1.1 antibody; GABA and glycine transporter antibody; hVIAAT antibody; SLC32A 1 antibody; Slc32a1 antibody; solute carrier family 32 (GABA vesicular transporter) member 1 antibody; Solute carrier family 32 member 1 antibody; Vesicular GABA Amino Acid Transporter antibody; Vesicular GABA transporter antibody; Vesicular inhibitory amino acid transporter antibody; VGAT antibody; VIAAT antibody; VIAAT_HUMAN antibody
-
宿主:Rabbit
-
反應種屬:Human, Mouse
-
免疫原:Recombinant Human Vesicular inhibitory amino acid transporter protein (14-118AA)
-
免疫原種屬:Homo sapiens (Human)
-
標記方式:Non-conjugated
本頁面中的產品,SLC32A1 Antibody (CSB-PA863984LA01HU),的標記方式是Non-conjugated。對于SLC32A1 Antibody,我們還提供其他標記。見下表:
-
克隆類型:Polyclonal
-
抗體亞型:IgG
-
純化方式:>95%, Protein G purified
-
濃度:It differs from different batches. Please contact us to confirm it.
-
保存緩沖液:Preservative: 0.03% Proclin 300
Constituents: 50% Glycerol, 0.01M PBS, pH 7.4 -
產品提供形式:Liquid
-
應用范圍:ELISA, WB, IHC, IF
-
推薦稀釋比:
Application Recommended Dilution WB 1:500-1:5000 IHC 1:20-1:200 IF 1:50-1:200 -
Protocols:
-
儲存條件:Upon receipt, store at -20°C or -80°C. Avoid repeated freeze.
-
貨期:Basically, we can dispatch the products out in 1-3 working days after receiving your orders. Delivery time maybe differs from different purchasing way or location, please kindly consult your local distributors for specific delivery time.
-
用途:For Research Use Only. Not for use in diagnostic or therapeutic procedures.
相關產品
靶點詳情
-
功能:Involved in the uptake of GABA and glycine into the synaptic vesicles.
-
基因功能參考文獻:
- VIATT has been identified in horizontal cells of the adult outer retina in culture, either at their terminals or throughout the entire cell. PMID: 12115694
- Subjects with schizophrenia exhibited expression deficits in GABA transpter 1. PMID: 17471287
-
亞細胞定位:Cytoplasmic vesicle membrane; Multi-pass membrane protein.
-
蛋白家族:Amino acid/polyamine transporter 2 family
-
組織特異性:Retina. Expressed throughout the horizontal cells or more specifically at the terminals.
-
數據庫鏈接:
Most popular with customers
-
-
YWHAB Recombinant Monoclonal Antibody
Applications: ELISA, WB, IHC, IF, FC
Species Reactivity: Human, Mouse, Rat
-
Phospho-YAP1 (S127) Recombinant Monoclonal Antibody
Applications: ELISA, WB, IHC
Species Reactivity: Human
-
-
-
-
-















