SLC31A2 Antibody
-
中文名稱:SLC31A2兔多克隆抗體
-
貨號:CSB-PA021577LA01HU
-
規格:¥440
-
圖片:
-
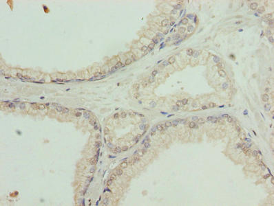
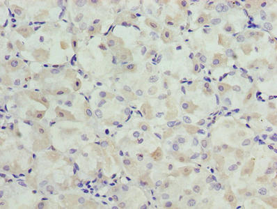
Immunohistochemistry of paraffin-embedded human prostate cancer using CSB-PA021577LA01HU at dilution of 1:100
-
Immunohistochemistry of paraffin-embedded human gastric cancer using CSB-PA021577LA01HU at dilution of 1:100
-
Immunofluorescent analysis of Hela cells using CSB-PA021577LA01HU at dilution of 1:100 and Alexa Fluor 488-congugated AffiniPure Goat Anti-Rabbit IgG(H+L)
-
-
其他:
產品詳情
-
產品名稱:Rabbit anti-Homo sapiens (Human) SLC31A2 Polyclonal antibody
-
Uniprot No.:
-
基因名:SLC31A2
-
別名:SLC31A2; COPT2; CTR2; Probable low affinity copper uptake protein 2; Copper transporter 2; hCTR2; Solute carrier family 31 member 2
-
宿主:Rabbit
-
反應種屬:Human
-
免疫原:Recombinant Human Probable low affinity copper uptake protein 2 protein (44-93AA)
-
免疫原種屬:Homo sapiens (Human)
-
標記方式:Non-conjugated
本頁面中的產品,SLC31A2 Antibody (CSB-PA021577LA01HU),的標記方式是Non-conjugated。對于SLC31A2 Antibody,我們還提供其他標記。見下表:
-
克隆類型:Polyclonal
-
抗體亞型:IgG
-
純化方式:Antigen Affinity Purified
-
濃度:It differs from different batches. Please contact us to confirm it.
-
保存緩沖液:Preservative: 0.03% Proclin 300
Constituents: 50% Glycerol, 0.01M PBS, PH 7.4 -
產品提供形式:Liquid
-
應用范圍:ELISA, IHC, IF
-
推薦稀釋比:
Application Recommended Dilution IHC 1:20-1:200 IF 1:50-1:200 -
Protocols:
-
儲存條件:Upon receipt, store at -20°C or -80°C. Avoid repeated freeze.
-
貨期:Basically, we can dispatch the products out in 1-3 working days after receiving your orders. Delivery time maybe differs from different purchasing way or location, please kindly consult your local distributors for specific delivery time.
-
用途:For Research Use Only. Not for use in diagnostic or therapeutic procedures.
相關產品
靶點詳情
-
功能:Involved in low-affinity copper uptake.
-
基因功能參考文獻:
- 11 single-nucleotide polymorphisms (SNPs) in CTR1, CTR2, ATP7A, and ATP7B were genotyped in these patients. PMID: 28737129
- Decreased expression of CTR2 is associated with clear cell renal cell carcinoma. PMID: 26411550
- Over-expression of CTR2 increased exchangeable Cu(+) by 150% and rendered the human epithelial 2008 cancer cell model 2.5-fold resistant to cisplatin. PMID: 24522273
- Increased CTR2 expression is associated with platinum resistance in epithelial ovarian cancer. PMID: 23564780
- hCTR2 is as an oligomeric membrane protein localized in lysosomes, which stimulates copper delivery to the cytosol of human cells at relatively high copper concentrations. PMID: 17617060
- Ctr2 promotes copper uptake at the plasma membrane and plays a role in regulating copper levels in COS-7 cells PMID: 17944601
- CTR2 functions by limiting drug accumulation, and its expression correlates with the sensitivity of human ovarian carcinoma cell lines to cisplatin. PMID: 19509135
顯示更多
收起更多
-
亞細胞定位:Membrane; Multi-pass membrane protein.
-
蛋白家族:Copper transporter (Ctr) (TC 1.A.56) family, SLC31A subfamily
-
組織特異性:Ubiquitous.
-
數據庫鏈接:
Most popular with customers
-
YWHAB Recombinant Monoclonal Antibody
Applications: ELISA, WB, IHC, IF, FC
Species Reactivity: Human, Mouse, Rat
-
Phospho-YAP1 (S127) Recombinant Monoclonal Antibody
Applications: ELISA, WB, IHC
Species Reactivity: Human
-
-
-
-
-
-















