SLC30A10 Antibody
-
中文名稱:SLC30A10兔多克隆抗體
-
貨號:CSB-PA747695LA01HU
-
規格:¥440
-
圖片:
-
Western Blot
Positive WB detected in: SY5Y whole cell lysate(20μg), COLO205 whole cell lysate(20μg), Mouse Brain tissue lysate(20μg)
All lanes: SLC30A10 antibody at 1:1000
Secondary
Goat polyclonal to rabbit IgG at 1/20000 dilution
Predicted band size: 53,27,25 kDa
Observed band size: 53 kDa
Exposure time: 120s -
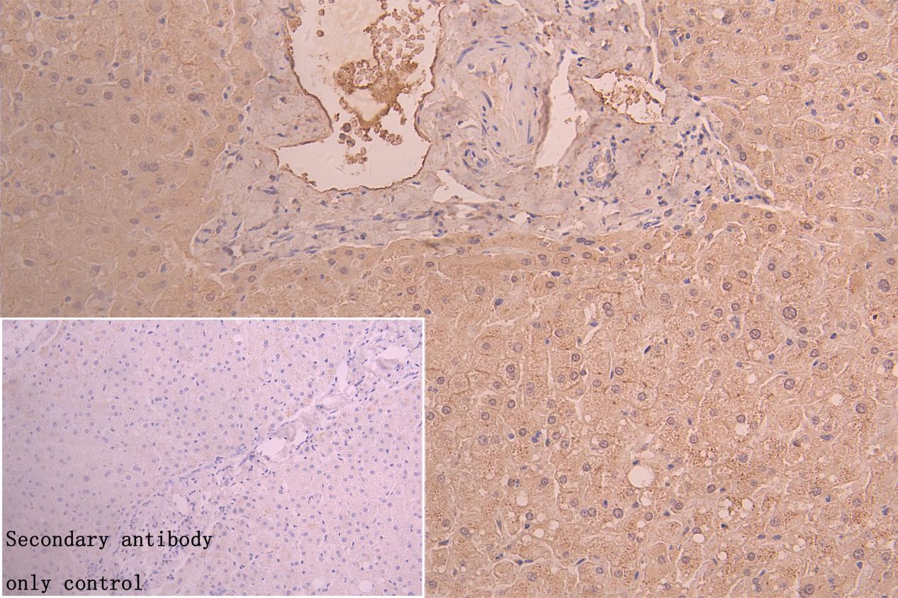
IHC image of CSB-PA747695LA01HU diluted at 1:50 and staining in paraffin-embedded human liver tissue performed on a Leica BondTM system. After dewaxing and hydration, antigen retrieval was mediated by high pressure in a citrate buffer (pH 6.0). Section was blocked with 10% normal goat serum 30min at RT. Then primary antibody (1% BSA) was incubated at 4°C overnight. The primary is detected by a Goat anti-rabbit polymer IgG labeled by HRP and visualized using 0.05% DAB. Secondary antibody only control: uses 1% BSA instead of primary antibody
-
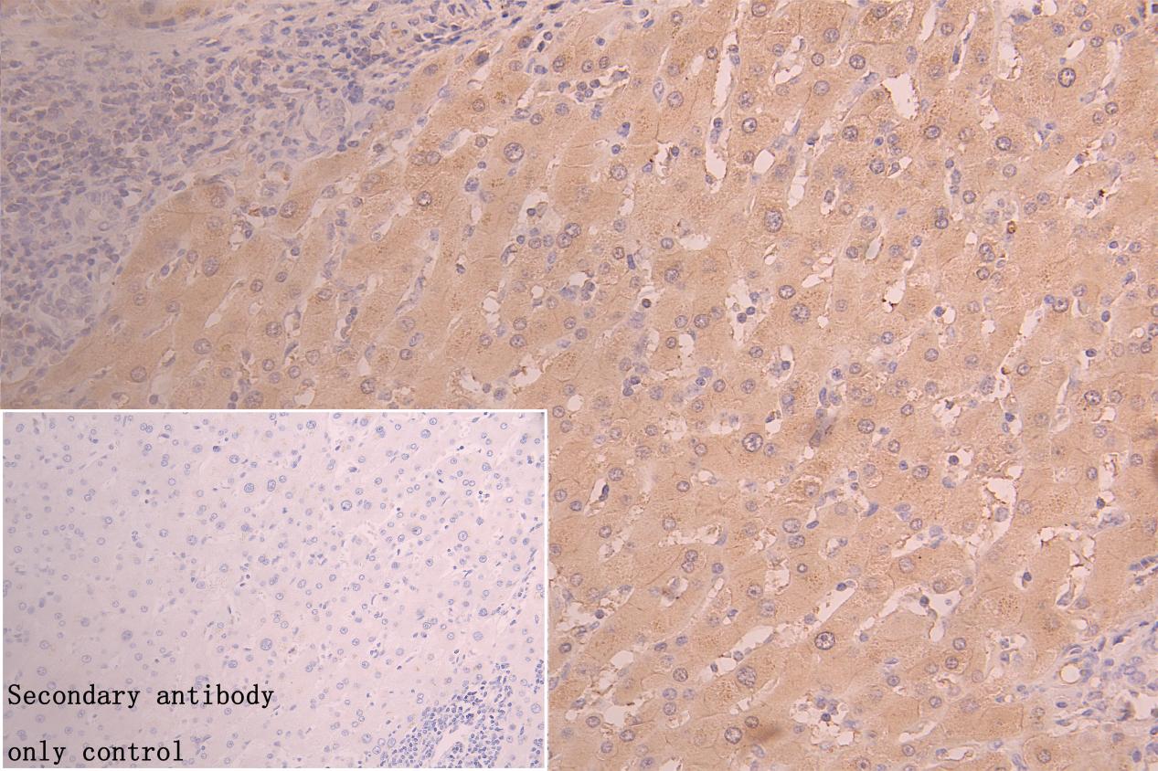
IHC image of CSB-PA747695LA01HU diluted at 1:50 and staining in paraffin-embedded human liver cancer performed on a Leica BondTM system. After dewaxing and hydration, antigen retrieval was mediated by high pressure in a citrate buffer (pH 6.0). Section was blocked with 10% normal goat serum 30min at RT. Then primary antibody (1% BSA) was incubated at 4°C overnight. The primary is detected by a Goat anti-rabbit polymer IgG labeled by HRP and visualized using 0.05% DAB. Secondary antibody only control: uses 1% BSA instead of primary antibody
-
-
其他:
產品詳情
-
產品描述:
The SLC30A10 antibody is a premium polyclonal antibody used to detect the SLC30A10 protein of human and mouse origin. The recombinant human zinc transporter 10 protein (58-278AA) is used as the immunogen to immunize the rabbit to obtain the SLC30A10 antibody. This unconjugated SLC30A10 antibody exists as an IgG isoform. It is purified using protein G and reaches up to 95% in purity. It has been validated for use in four applications, including ELISA, WB, IHC, and IF. Its target protein SLC30A10 protects cells from manganese ion toxicosis by clearing out manganese when sensing the increased manganese levels. In the liver cells, the SLC30A10 protein removes the manganese by transporting it out of the cells into bile.
-
產品名稱:Rabbit anti-Homo sapiens (Human) SLC30A10 Polyclonal antibody
-
Uniprot No.:
-
基因名:SLC30A10
-
別名:SLC30A10; ZNT10; ZNT8; Zinc transporter 10; ZnT-10; Manganese transporter SLC30A10; Solute carrier family 30 member 10
-
宿主:Rabbit
-
反應種屬:Human, Mouse
-
免疫原:Recombinant Human Zinc transporter 10 protein (58-278AA)
-
免疫原種屬:Homo sapiens (Human)
-
標記方式:Non-conjugated
本頁面中的產品,SLC30A10 Antibody (CSB-PA747695LA01HU),的標記方式是Non-conjugated。對于SLC30A10 Antibody,我們還提供其他標記。見下表:
-
克隆類型:Polyclonal
-
抗體亞型:IgG
-
純化方式:>95%, Protein G purified
-
濃度:It differs from different batches. Please contact us to confirm it.
-
保存緩沖液:Preservative: 0.03% Proclin 300
Constituents: 50% Glycerol, 0.01M PBS, PH 7.4 -
產品提供形式:Liquid
-
應用范圍:ELISA, WB, IHC
-
推薦稀釋比:
Application Recommended Dilution WB 1:500-1:2000 IHC 1:50-1:200 -
Protocols:
-
儲存條件:Upon receipt, store at -20°C or -80°C. Avoid repeated freeze.
-
貨期:Basically, we can dispatch the products out in 1-3 working days after receiving your orders. Delivery time maybe differs from different purchasing way or location, please kindly consult your local distributors for specific delivery time.
-
用途:For Research Use Only. Not for use in diagnostic or therapeutic procedures.
相關產品
靶點詳情
-
功能:Plays a pivotal role in manganese transport. Manganese is an essential cation for the function of several enzymes, including some crucially important for the metabolism of neurotransmitters and other neuronal metabolic pathways. However, elevated levels of manganese are cytotoxic and induce oxidative stress, mitochondrial dysfunction and apoptosis. Acts as manganese efflux transporter and confers protection against manganese-induced cell death. Also acts as zinc transporter involved in zinc homeostasis. Seems to mediate zinc transport into early endosomes and recycling endosomes to prevent zinc toxicity; the function may be regulated by heterodimerization with other zinc transporters of the SLC30A subfamily. The SLC30A3:SLC30A10 heterodimer is involved in zinc transport-dependent regulation of the EGFR/ERK transduction pathway in endosomes. May be involved in regulation of zinc-dependent senescence of vascular smooth muscle cells.
-
基因功能參考文獻:
- Structural homology analysis provide evidence that L349P mutation severe structural changes of ZnT-10 in its CTD domain resulting in abnormal reduced function. PMID: 27550551
- SLC30A10 has a protective role in 1-methyl-4-phenylpyridinium-induced toxicity via PERK-ATF4 pathway. PMID: 28688763
- xpressing either wild-type or mutant forms of SLC30A10 was sufficient to inhibit the effect of ATP2C1 in response to Mn challenge in both zebrafish embryos and HeLa cells. These findings suggest that either activating ATP2C1 or restoring the Mn-induced trafficking of ATP2C1 can reduce Mn accumulation, providing a possible target for treating HMDPC. PMID: 28692648
- results indicate that residues in the transmembrane and C-terminal domains together confer optimal manganese transport capability to SLC30A10 and suggest that the mechanism of ion coordination in the transmembrane domain of SLC30A10 may be substantially different from that in YiiP/other SLC30 proteins. PMID: 27307044
- allele was also associated with increased sway velocity (15%, P = .033; adjusted for age and sex) and reduced SLC30A10 expression PMID: 26628504
- We describe early disease manifestations (including videos) in 5 previously unreported Indian children, carrying novel homozygous SLC30A10 mutation PMID: 25778823
- SLC30A10 is a cell surface-localized manganese efflux transporter that reduces manganese levels and protects against manganese toxicity. PMID: 25319704
- These results suggest that both the up-regulation of ZIP14 and the down-regulation of ZnT10 by IL-6 might have enhanced the accumulation of manganese in SH-SY5Y cells. PMID: 24576911
- a case of inherited manganism caused by SLC30A10 mutation is presented PMID: 23369405
- ZnT10 is significantly decreased in the frontal cortex in Alzheimer's disease. PMID: 23741496
- This review will address Mn transport proteins, the newly discovered SLC30A10 mutations and their implications to Parkinsonism and Mn regulation. PMID: 23357421
- The study demonstrates down-regulation by Zn of ZnT10 mRNA levels in cultured intestinal and neuroblastoma cell lines and demonstrate reduced transcription from the ZnT10 promoter at an elevated extracellular Zn concentration. PMID: 22706290
- SLC30A10 mutations cause a treatable recessive disease with pleomorphic phenotype, and provide compelling evidence that SLC30A10 plays a pivotal role in manganese transport. PMID: 22341971
- This work has confirmed that SLC30A10 functions as a Mn transporter in humans that, when defective, causes Mn accumulation in liver and brain. PMID: 22341972
- identified the full-length sequences of SLC30A10, extending the SLC30 family to ten members; used an expressed sequence tag (EST) data mining strategy to determine the pattern of ZnT genes expression in tissues PMID: 15154973
顯示更多
收起更多
-
相關疾病:Hypermanganesemia with dystonia 1 (HMNDYT1)
-
亞細胞定位:Cell membrane; Multi-pass membrane protein. Golgi apparatus, trans-Golgi network. Recycling endosome. Early endosome.
-
蛋白家族:Cation diffusion facilitator (CDF) transporter (TC 2.A.4) family, SLC30A subfamily
-
組織特異性:Specifically expressed in fetal liver and fetal brain. Expressed in adult tissues with relative levels small intestine > liver > testes > brain > ovary > colon > cervix > prostate > placenta.
-
數據庫鏈接:
Most popular with customers
-
-
YWHAB Recombinant Monoclonal Antibody
Applications: ELISA, WB, IHC, IF, FC
Species Reactivity: Human, Mouse, Rat
-
Phospho-YAP1 (S127) Recombinant Monoclonal Antibody
Applications: ELISA, WB, IHC
Species Reactivity: Human
-
-
-
-
-















