SLC2A5 Antibody
-
中文名稱:SLC2A5兔多克隆抗體
-
貨號:CSB-PA596199
-
規格:¥1100
-
圖片:
-
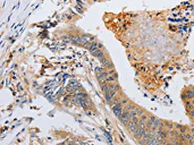
The image on the left is immunohistochemistry of paraffin-embedded Human colon cancer tissue using CSB-PA596199(SLC2A5 Antibody) at dilution 1/12, on the right is treated with synthetic peptide. (Original magnification: ×200)
-
The image on the left is immunohistochemistry of paraffin-embedded Human brain tissue using CSB-PA596199(SLC2A5 Antibody) at dilution 1/12, on the right is treated with synthetic peptide. (Original magnification: ×200)
-
-
其他:
產品詳情
-
Uniprot No.:
-
基因名:SLC2A5
-
別名:Facilitated glucose transporter member 5 antibody; Fructose transporter antibody; Glucose transporte; kidney antibody; Glucose Transporter 5 GLUT5 antibody; glucose transporter like protein 5 antibody; Glucose transporter type 5 antibody; Glucose transporter type 5 small intestine antibody; GLUT 5 antibody; GLUT-5 antibody; GLUT5 antibody; GTR5_HUMAN antibody; SLC 2A5 antibody; SLC2A5 antibody; small intestine antibody; solute carrier family 2 (facilitated glucose/fructose transporter); member 5 antibody; Solute carrier family 2 antibody
-
宿主:Rabbit
-
反應種屬:Human
-
免疫原:Synthetic peptide of Human SLC2A5
-
免疫原種屬:Homo sapiens (Human)
-
標記方式:Non-conjugated
-
抗體亞型:IgG
-
純化方式:Antigen affinity purification
-
濃度:It differs from different batches. Please contact us to confirm it.
-
保存緩沖液:-20°C, pH7.4 PBS, 0.05% NaN3, 40% Glycerol
-
產品提供形式:Liquid
-
應用范圍:ELISA,IHC
-
推薦稀釋比:
Application Recommended Dilution ELISA 1:1000-1:2000 IHC 1:10-1:50 -
Protocols:
-
儲存條件:Upon receipt, store at -20°C or -80°C. Avoid repeated freeze.
-
貨期:Basically, we can dispatch the products out in 1-3 working days after receiving your orders. Delivery time maybe differs from different purchasing way or location, please kindly consult your local distributors for specific delivery time.
-
用途:For Research Use Only. Not for use in diagnostic or therapeutic procedures.
相關產品
靶點詳情
-
功能:Functions as a fructose transporter that has only low activity with other monosaccharides. Can mediate the uptake of 2-deoxyglucose, but with low efficiency. Essential for fructose uptake in the small intestine. Plays a role in the regulation of salt uptake and blood pressure in response to dietary fructose. Required for the development of high blood pressure in response to high dietary fructose intake.
-
基因功能參考文獻:
- identified amino acid residues of GLUT5 that define its substrate specificity for glucose transporter 5 (GLUT5)-mediated fructose transport. PMID: 29259131
- fructose can be used by glioma cells, and restrict the fructose intake or targeting GLUT5 could be efficacious strategies in glioma. PMID: 29660339
- SLC2A5-inhibits the human normal adjacent lung adenocarcinoma cytoplasmic pro-B cell development mechanism network. PMID: 25326153
- SGLT1 and GLUT5 expression in the plasma membrane is regulated by TNFalpha, leading to alteration on sugar transport, suggesting that TNFalpha could be a physiological local regulator of nutrient absorption in response to an intestinal inflammatory status. PMID: 23910014
- [(99m)Tc]GLA uptake is related to GLUT-5 transporter expression and transport PMID: 23084044
- A role for the GLUT5 isoform in fructose uptake that takes place in clear renal cell carcinoma cells and which subsequently leads to the malignant progression. PMID: 21165569
- these results suggest that methylation of histone H3 at K4 and acetylation of histones H3 and H4 are involved in SLC2A5 gene induction associated with intestinal differentiation of Caco-2 cells. PMID: 20043883
- Fructose modulation of GLUT5 mRNA stability via cyclic AMP-signalling pathway and PABP (polyadenylated-binding protein)-interacting protein (Paip) 2. PMID: 12820898
- GLUT5 expression is dramatically increased in diabetic muscle and pioglitazone treatment reverses this overexpression. PMID: 17251278
- De-phosphorylation of GR at Ser203 in nuclei associates with GR nuclear translocation and GLUT5 gene expression in Caco-2 cells. PMID: 18424253
- These results suggest that the histone H3 di-methylation at lysine 9, as well as acetylation at lysine 9/14, may be indispensable for coordinated induction of the GLUT5 gene by p44/42 MAP kinase inhibition and the glucocorticoid hormone. PMID: 18439419
- Slc2a5 (Glut5) is essential for the absorption of fructose in the intestine and generation of fructose-induced hypertension. PMID: 19091748
顯示更多
收起更多
-
亞細胞定位:Apical cell membrane; Multi-pass membrane protein. Cell membrane; Multi-pass membrane protein. Cell membrane, sarcolemma.
-
蛋白家族:Major facilitator superfamily, Sugar transporter (TC 2.A.1.1) family, Glucose transporter subfamily
-
組織特異性:Detected in skeletal muscle, and in jejunum brush border membrane and basolateral membrane (at protein level). Expressed in small intestine, and at much lower levels in kidney, skeletal muscle, and adipose tissue.
-
數據庫鏈接:
Most popular with customers
-
-
YWHAB Recombinant Monoclonal Antibody
Applications: ELISA, WB, IHC, IF, FC
Species Reactivity: Human, Mouse, Rat
-
Phospho-YAP1 (S127) Recombinant Monoclonal Antibody
Applications: ELISA, WB, IHC
Species Reactivity: Human
-
-
-
-
-















