SLC2A4RG Antibody
-
中文名稱:SLC2A4RG兔多克隆抗體
-
貨號:CSB-PA021558LA01HU
-
規格:¥440
-
圖片:
-
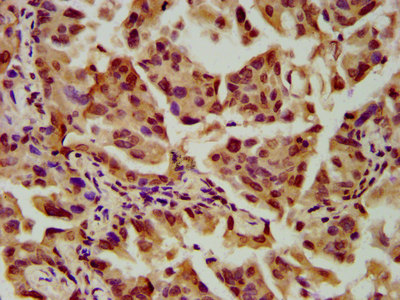
IHC image of CSB-PA021558LA01HU diluted at 1:600 and staining in paraffin-embedded human lung cancer performed on a Leica BondTM system. After dewaxing and hydration, antigen retrieval was mediated by high pressure in a citrate buffer (pH 6.0). Section was blocked with 10% normal goat serum 30min at RT. Then primary antibody (1% BSA) was incubated at 4°C overnight. The primary is detected by a biotinylated secondary antibody and visualized using an HRP conjugated SP system.
-
Immunofluorescence staining of Hela cells with CSB-PA021558LA01HU at 1:200, counter-stained with DAPI. The cells were fixed in 4% formaldehyde, permeabilized using 0.2% Triton X-100 and blocked in 10% normal Goat Serum. The cells were then incubated with the antibody overnight at 4°C. The secondary antibody was Alexa Fluor 488-congugated AffiniPure Goat Anti-Rabbit IgG(H+L).
-
-
其他:
產品詳情
-
產品名稱:Rabbit anti-Homo sapiens (Human) SLC2A4RG Polyclonal antibody
-
Uniprot No.:
-
基因名:SLC2A4RG
-
別名:GEF antibody; GLUT4 enhancer factor antibody; HDBP 1 antibody; HDBP-1 antibody; HDBP1 antibody; Huntington disease gene regulatory region binding protein 1 antibody; Huntington disease gene regulatory region-binding protein 1 antibody; S2A4R_HUMAN antibody; Si 1 2 19 antibody; Si 1 2 antibody; SLC2A4 regulator antibody; SLC2A4RG antibody; Zinc finger protein 2 5 Glut4 enhancer factor antibody
-
宿主:Rabbit
-
反應種屬:Human
-
免疫原:Recombinant Human SLC2A4 regulator protein (1-100AA)
-
免疫原種屬:Homo sapiens (Human)
-
標記方式:Non-conjugated
本頁面中的產品,SLC2A4RG Antibody (CSB-PA021558LA01HU),的標記方式是Non-conjugated。對于SLC2A4RG Antibody,我們還提供其他標記。見下表:
-
克隆類型:Polyclonal
-
抗體亞型:IgG
-
純化方式:>95%, Protein G purified
-
濃度:It differs from different batches. Please contact us to confirm it.
-
保存緩沖液:Preservative: 0.03% Proclin 300
Constituents: 50% Glycerol, 0.01M PBS, pH 7.4 -
產品提供形式:Liquid
-
應用范圍:ELISA, IHC, IF
-
推薦稀釋比:
Application Recommended Dilution IHC 1:500-1:1000 IF 1:200-1:500 -
Protocols:
-
儲存條件:Upon receipt, store at -20°C or -80°C. Avoid repeated freeze.
-
貨期:Basically, we can dispatch the products out in 1-3 working days after receiving your orders. Delivery time maybe differs from different purchasing way or location, please kindly consult your local distributors for specific delivery time.
-
用途:For Research Use Only. Not for use in diagnostic or therapeutic procedures.
相關產品
靶點詳情
-
功能:Transcription factor involved in SLC2A4 and HD gene transactivation. Binds to the consensus sequence 5'-GCCGGCG-3'.
-
基因功能參考文獻:
- GEF and MEF2A have roles in regulating the GLUT4 promoter PMID: 14630949
- Exercise increases MEF2 and GEF DNA binding and imply that these transcription factors could be potential targets for modulating GLUT4 expression in human skeletal muscle. PMID: 16368714
-
亞細胞定位:Cytoplasm. Nucleus. Note=Shuttles between the cytoplasm and the nucleus.
-
組織特異性:According to PubMed:14630949, expressed in heart, skeletal muscle, liver, kidney and pancreas; undetectable in lung, placenta or brain. According to PubMed:14625278, ubiquitously expressed, with lowest expression in brain and ileum.
-
數據庫鏈接:
Most popular with customers
-
-
YWHAB Recombinant Monoclonal Antibody
Applications: ELISA, WB, IHC, IF, FC
Species Reactivity: Human, Mouse, Rat
-
Phospho-YAP1 (S127) Recombinant Monoclonal Antibody
Applications: ELISA, WB, IHC
Species Reactivity: Human
-
-
-
-
-















