SLC2A11 Antibody
-
中文名稱:SLC2A11兔多克隆抗體
-
貨號:CSB-PA062447
-
規格:¥1100
-
圖片:
-
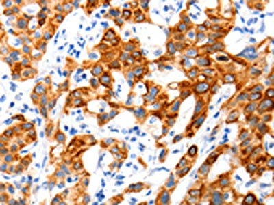
The image on the left is immunohistochemistry of paraffin-embedded Human lung cancer tissue using CSB-PA062447(SLC2A11 Antibody) at dilution 1/140, on the right is treated with synthetic peptide. (Original magnification: ×200)
-
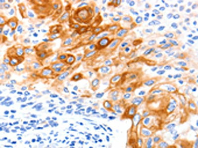
The image on the left is immunohistochemistry of paraffin-embedded Human cervical cancer tissue using CSB-PA062447(SLC2A11 Antibody) at dilution 1/140, on the right is treated with synthetic peptide. (Original magnification: ×200)
-
-
其他:
產品詳情
-
Uniprot No.:
-
基因名:SLC2A11
-
別名:SLC2A11 antibody; GLUT11Solute carrier family 2 antibody; facilitated glucose transporter member 11 antibody; Glucose transporter type 11 antibody; GLUT-11 antibody
-
宿主:Rabbit
-
反應種屬:Human
-
免疫原:Synthetic peptide of Human SLC2A11
-
免疫原種屬:Homo sapiens (Human)
-
標記方式:Non-conjugated
-
抗體亞型:IgG
-
純化方式:Antigen affinity purification
-
濃度:It differs from different batches. Please contact us to confirm it.
-
保存緩沖液:-20°C, pH7.4 PBS, 0.05% NaN3, 40% Glycerol
-
產品提供形式:Liquid
-
應用范圍:ELISA,IHC
-
推薦稀釋比:
Application Recommended Dilution ELISA 1:2000-1:10000 IHC 1:100-1:300 -
Protocols:
-
儲存條件:Upon receipt, store at -20°C or -80°C. Avoid repeated freeze.
-
貨期:Basically, we can dispatch the products out in 1-3 working days after receiving your orders. Delivery time maybe differs from different purchasing way or location, please kindly consult your local distributors for specific delivery time.
-
用途:For Research Use Only. Not for use in diagnostic or therapeutic procedures.
相關產品
靶點詳情
-
功能:Facilitative glucose transporter.
-
基因功能參考文獻:
- Critical roles for novel GLUT family members highlight a therapeutic strategy entailing selective GLUT inhibition to specifically target aberrant glucose metabolism in cancer. PMID: 22452979
- a novel sugar transporter that is alternatively spliced in various tissues PMID: 12175779
- Different promoters and splicing generate three SLC2A11 isoforms which are expressed in a tissue specific manner but do not appear to differ in their functional characteristics. PMID: 16154905
- GLUT11 can also transport fructose, but it has the motif DSV at the same position, which appears to function in the same manner as NXI and when all three residues are replaced with NAV fructose transport lost. PMID: 17710649
-
亞細胞定位:Cell membrane; Multi-pass membrane protein.
-
蛋白家族:Major facilitator superfamily, Sugar transporter (TC 2.A.1.1) family, Glucose transporter subfamily
-
組織特異性:Expressed in heart and skeletal muscle.
-
數據庫鏈接:
Most popular with customers
-
-
YWHAB Recombinant Monoclonal Antibody
Applications: ELISA, WB, IHC, IF, FC
Species Reactivity: Human, Mouse, Rat
-
Phospho-YAP1 (S127) Recombinant Monoclonal Antibody
Applications: ELISA, WB, IHC
Species Reactivity: Human
-
-
-
-
-















