SLC25A12 Antibody
-
中文名稱:SLC25A12兔多克隆抗體
-
貨號:CSB-PA907856
-
規格:¥1100
-
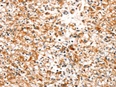
圖片:
-
The image on the left is immunohistochemistry of paraffin-embedded Human brain tissue using CSB-PA907856(SLC25A12 Antibody) at dilution 1/30, on the right is treated with synthetic peptide. (Original magnification: ×200)
-
The image on the left is immunohistochemistry of paraffin-embedded Human prostate cancer tissue using CSB-PA907856(SLC25A12 Antibody) at dilution 1/30, on the right is treated with synthetic peptide. (Original magnification: ×200)
-
-
其他:
產品詳情
-
Uniprot No.:
-
基因名:SLC25A12
-
別名:SLC25A12; ARALAR1; Calcium-binding mitochondrial carrier protein Aralar1; Mitochondrial aspartate glutamate carrier 1; Solute carrier family 25 member 12
-
宿主:Rabbit
-
反應種屬:Human,Mouse
-
免疫原:Synthetic peptide of Human SLC25A12
-
免疫原種屬:Homo sapiens (Human)
-
標記方式:Non-conjugated
-
抗體亞型:IgG
-
純化方式:Antigen affinity purification
-
濃度:It differs from different batches. Please contact us to confirm it.
-
保存緩沖液:-20°C, pH7.4 PBS, 0.05% NaN3, 40% Glycerol
-
產品提供形式:Liquid
-
應用范圍:ELISA,IHC
-
推薦稀釋比:
Application Recommended Dilution ELISA 1:1000-1:2000 IHC 1:25-1:100 -
Protocols:
-
儲存條件:Upon receipt, store at -20°C or -80°C. Avoid repeated freeze.
-
貨期:Basically, we can dispatch the products out in 1-3 working days after receiving your orders. Delivery time maybe differs from different purchasing way or location, please kindly consult your local distributors for specific delivery time.
-
用途:For Research Use Only. Not for use in diagnostic or therapeutic procedures.
相關產品
靶點詳情
-
功能:Mitochondrial and calcium-binding carrier that catalyzes the calcium-dependent exchange of cytoplasmic glutamate with mitochondrial aspartate across the mitochondrial inner membrane. May have a function in the urea cycle.
-
基因功能參考文獻:
- Genetic variants of SLC25A12 may be associated with risks for childhood ASD. PMID: 28536923
- The features of AGC1 structure and function in physiology and pathology, regulation by calcium, dependency on mitochondrial membrane potential, role in cancer cells, and tissue specificity are reviewed. AGC1 is involved in the glutamate-mediated excitotoxicity in neurons and AGC gene or protein alterations were discovered in rare human diseases. Review. PMID: 27132995
- Sensitivity analyses including only studies with family-based design demonstrated significant association between autism spectrum disorders and SNPs rs2292813 and rs2056202. In contrast, sensitivity analyses including case-control design studies only failed to find a significant association. Review. PMID: 25663199
- rs2056202 and rs2292813 in SLC25A12 may contribute significantly to autism spectrum disorders risk. PMID: 25921325
- Structure of the calcium bound and calcium free N- and C-terminal domains is described, elucidating the mechanism of calcium regulation. PMID: 25410934
- The physiological roles of AGC1, its links to calcium homeostasis, and its involvement in autism pathogenesis, are reviewed. PMID: 21691713
- This study found no differences in the allele, genotype, or haplotype frequencies of these two SNPs between patients and controls. PMID: 19913066
- Variants of the AGC1-encoding SLC25A12 gene were neither correlated with AGC activation nor associated with autism-spectrum disorders in 309 simplex and 17 multiplex families. PMID: 18607376
- SLC25A12 gene is linked to autism PMID: 15056512
- Aralar1 has a role in determining glucose metabolic fate, mitochondrial activity, and insulin secretion in beta cells PMID: 15494407
- These results suggest that SLC25A12 is not a major contributor to autism risk in these families. PMID: 16648338
- it is unlikely that the SLC25A12 polymorphisms investigated play a substantial role in conferring susceptibility to schizophrenia PMID: 17693006
- rs2056202 polymorphism in SLC25A12 may be associated with levels of routines and rituals in autism and related disorders PMID: 17894412
- SLC25A12 expression is associated with neurite outgrowth and is upregulated in the prefrontal cortex of autistic subjects. PMID: 18180767
- SLC25A12 gene is associated with autism. PMID: 19360665
顯示更多
收起更多
-
相關疾病:Epileptic encephalopathy, early infantile, 39 (EIEE39)
-
亞細胞定位:Mitochondrion inner membrane; Multi-pass membrane protein.
-
蛋白家族:Mitochondrial carrier (TC 2.A.29) family
-
組織特異性:Expressed predominantly in the heart and skeletal muscle, weakly in brain and kidney.
-
數據庫鏈接:
Most popular with customers
-
YWHAB Recombinant Monoclonal Antibody
Applications: ELISA, WB, IHC, IF, FC
Species Reactivity: Human, Mouse, Rat
-
Phospho-YAP1 (S127) Recombinant Monoclonal Antibody
Applications: ELISA, WB, IHC
Species Reactivity: Human
-
-
-
-
-
-















