SLC22A1 Antibody
-
中文名稱:SLC22A1兔多克隆抗體
-
貨號:CSB-PA021442LA01HU
-
規格:¥440
-
圖片:
-
其他:
產品詳情
-
產品名稱:Rabbit anti-Homo sapiens (Human) SLC22A1 Polyclonal antibody
-
Uniprot No.:
-
基因名:SLC22A1
-
別名:hOCT1 antibody; OCT1 antibody; oct1_cds antibody; Organic cation transporter 1 antibody; S22A1_HUMAN antibody; Slc22a1 antibody; solute carrier family 22 (organic cation transporter), member 1 antibody; Solute carrier family 22 member 1 antibody
-
宿主:Rabbit
-
反應種屬:Human
-
免疫原:Recombinant Human Solute carrier family 22 member 1 protein (43-149AA)
-
免疫原種屬:Homo sapiens (Human)
-
標記方式:Non-conjugated
本頁面中的產品,SLC22A1 Antibody (CSB-PA021442LA01HU),的標記方式是Non-conjugated。對于SLC22A1 Antibody,我們還提供其他標記。見下表:
-
克隆類型:Polyclonal
-
抗體亞型:IgG
-
純化方式:>95%, Protein G purified
-
濃度:It differs from different batches. Please contact us to confirm it.
-
保存緩沖液:Preservative: 0.03% Proclin 300
Constituents: 50% Glycerol, 0.01M PBS, pH 7.4 -
產品提供形式:Liquid
-
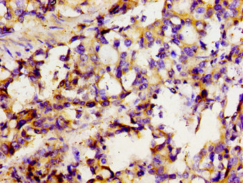
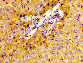
應用范圍:ELISA, IHC
-
推薦稀釋比:
Application Recommended Dilution IHC 1:20-1:200 -
Protocols:
-
儲存條件:Upon receipt, store at -20°C or -80°C. Avoid repeated freeze.
-
貨期:Basically, we can dispatch the products out in 1-3 working days after receiving your orders. Delivery time maybe differs from different purchasing way or location, please kindly consult your local distributors for specific delivery time.
-
用途:For Research Use Only. Not for use in diagnostic or therapeutic procedures.
相關產品
靶點詳情
-
功能:Translocates a broad array of organic cations with various structures and molecular weights including the model compounds 1-methyl-4-phenylpyridinium (MPP), tetraethylammonium (TEA), N-1-methylnicotinamide (NMN), 4-(4-(dimethylamino)styryl)-N-methylpyridinium (ASP), the endogenous compounds choline, guanidine, histamine, epinephrine, adrenaline, noradrenaline and dopamine, and the drugs quinine, and metformin. The transport of organic cations is inhibited by a broad array of compounds like tetramethylammonium (TMA), cocaine, lidocaine, NMDA receptor antagonists, atropine, prazosin, cimetidine, TEA and NMN, guanidine, cimetidine, choline, procainamide, quinine, tetrabutylammonium, and tetrapentylammonium. Translocates organic cations in an electrogenic and pH-independent manner. Translocates organic cations across the plasma membrane in both directions. Transports the polyamines spermine and spermidine. Transports pramipexole across the basolateral membrane of the proximal tubular epithelial cells. The choline transport is activated by MMTS. Regulated by various intracellular signaling pathways including inhibition by protein kinase A activation, and endogenously activation by the calmodulin complex, the calmodulin-dependent kinase II and LCK tyrosine kinase.
-
基因功能參考文獻:
- Two SNPs and two insertions/deletions were detected in exon 7 of SLC22A1. For exon 7, 1222AA carriers together with the presence of both the 8-bp insertion and 3-bp deletion, and M420del alleles showed higher possibility of developing resistance towards Imatinib mesylate (IM)treatment. Our results warrant the need of genotyping this SNP in terms of modulating IM treatment in chronic myeloid leukaemia patients. PMID: 30262695
- data indicate that OCT1 may contribute to uptake metformin and regulate pancreatic stellate cells (PSCs) activity. OCT1 is a target of metformin in regulating PSCs activity. PMID: 29949790
- inhibitory potency for morphine uptake was affected by the OCT1*2 allele. OCT2 showed only a limited uptake of ranitidine that was not significantly affected by the Ala270Ser polymorphism PMID: 29236753
- Results indicated that OCT1 rs628031 and ABCG2 rs2231142 were associated with plasma lamotrigine concentrations in Han Chinese patients with epilepsy. PMID: 27610747
- The additional role of SLC22A1/OCT1 genetics in M1 exposure in neonates. PMID: 27082504
- The pregnane X receptor down-regulates organic cation transporter 1 (SLC22A1) in human hepatocytes by competing for ("squelching") SRC-1 coactivator. PMID: 26920453
- Variants of SLC22A1 gene are associated with serum acylcarnitines and metabolic diseases. PMID: 28942964
- summarize current understanding of human OCT1 transporter hepatic gene regulation and propose potential post-transcriptional regulation by predicted miRNAs. PMID: 27278216
- The response to 6 months of metformin treatment (HbA1c , homeostasis model assessment for insulin resistance, fasting insulin, and glucose changes) did not differ between SLC22A1 wild-type subjects and carriers of presumably low-activity SLC22A1 alleles PMID: 27407018
- we assessed the role of miR-21 in mediating renal cell carcinoma chemoresistance and further showed that miR-21 silencing significantly (1) increased chemosensitivity of paclitaxel, 5-fluorouracil, oxaliplatin, and dovitinib; (2) decreased expression of multi-drug resistance genes; and (4) increased SLC22A1/OCT1, SLC22A2/OCT2, and SLC31A1/CTR1 platinum influx transporter expression PMID: 28714373
- This condensed chromatin structure is associated with binding of DNMT3B and decreased occupancy of OCT1 transcription factor at MAML2 enhancer, suggesting a role of DNMT3B in increasing methylation of MAML2 after stilbenoid treatment. PMID: 27207652
- genetic association studies in population of patients newly diagnosed type 2 diabetes in Bosnia and Herzegovina: Data suggest that genetic variations in OCT1 [R61C (rs12208357); M420del (rs72552763)] are associated with severe intolerance/gastrointestinal side effects due to metformin use in patients with type 2 diabetes. PMID: 26605869
- This study indicates a promising role for intratumoral OCT1 mRNA expression as a prognostic biomarker in therapeutic algorithms in HCC PMID: 26872727
- Homozygous carriers of the polymorphic OCT1 C-allele had no metformin-related toxicity as compared with 41.9% for any metformin-related toxicity in carriers of at least one wild-type A-allele PMID: 25753371
- hOCT1 is a suitable bendamustine transporter, thereby contributing to its cytotoxic effect depending upon the hOCT1 genetic variants expressed PMID: 25582574
- A positive association was observed between the expression of the ABCB1 and ABCG2 transporter genes (r=0.407, P<0.05) while no association was observed between the expression of either of the ABC transporter genes with the OCT1 gene PMID: 26354214
- Data indicate no association was found between genotypes of drug transporters ABCB1, ABCG2, OCT1 genetic polymorphisms and the occurrence of thrombocytopenia. PMID: 26546461
- Findings suggest specific involvement of each organic cation transporters (OCT1-3) in drug transportation. PMID: 25883089
- Data show that organic cation transporter (hOCT1) exon 2 GG homozygotes had higher imatinib (IM) levels than CG/CC genotypes, but the difference was not statistically significant. PMID: 24524306
- Our data suggest that besides bodyweight, OCT1 and ABCC3 genotypes play a significant role in the pharmacokinetics of intravenous morphine and its metabolites in children PMID: 25155932
- Nucleoside transporters and human OCT1 determine the cellular handling of DNA-methyltransferase inhibitors PMID: 24780098
- The hOCT1 expression level can be an important predictor in CML patients treated with IM. PMID: 25358338
- OCT1 plays a significant role in hepatic elimination of serotonin at the transporter level. PMID: 24688079
- Clopidogrel/clopidogrel carboxylate are strong inhibitors and high affinity substrates of OCT1. PMID: 24530383
- OCT1 genetic variants are associated with long term outcomes in imatinib treated chronic myeloid leukemia patients. PMID: 24215657
- The present study is the first report on the association of OCT-1 genetic polymorphisms with the overall development and jaundice-type progression of primary biliary cirrhosis. PMID: 23612856
- Cellular uptake of imatinib is independent of OCT1, and therefore OCT1 is apparently not a valid biomarker for imatinib resistance. PMID: 24352644
- OCT variants ( OCT1, OCT2 and ATM) were significantly associated with elevated baseline and glucose-induced C-peptide levels in polycystic ovary syndrome PMID: 24533710
- Rhodamine 123 is a high-affinity substrate for both hOCT1 and hOCT2. PMID: 22913740
- Decreased SLC22A1 mRNA expression is associated with low imatinib response in chronic myeloid leukemia. PMID: 24469953
- Glucocorticoid receptor-induced expression of HNF4alpha may contribute to indirect OCT1 gene up-regulation by dexamethasone in primary human hepatocytes. PMID: 24399729
- OCT1 genotypes play a significant role in intravenous morphine pharmacokinetics PMID: 23859569
- Hepatocellular carcinoma and cholangiocarcinoma is accompanied by OCT1(SCC22A1) down-regulation together with the appearance of genetic variants that may affect the ability of these tumors to take up and respond to sorafenib (chemoresistance). PMID: 23532667
- The SNP 408V>M (g.1222G>A) was present in 65% of CML patients & was associated in all cases with an 8-base-pair insertion (8(+) allele) at the 3' end of exon 7. Patients lacking 8(+) and 3(-) showed the best outcomes. PMID: 24117365
- The expression of Oct1 mRNA is mediated by loss of T cells, but not B cells in immune-mediated liver disease. PMID: 23929842
- The intron 1 evolutionary conserved region of OCT1 increases Oct1 promoter activity. PMID: 23922447
- The accumulation of lamivudine in CD4 cells of HIV-infected patients is related to the expression of OCT1 and OCT2. PMID: 22875535
- hOCT1 in the sinusoidal membrane of hepatocytes, and potentially the basolateral membrane of proximal tubule cells, is likely to play a role in the disposition of fluoroquinolone antimicrobial agents. PMID: 23545524
- demonstrated that PER2 served as a transcriptional corepressor, which recruited polycomb proteins EZH2 and SUZ12 as well as HDAC2 to octamer transcription factor 1 (OCT1) (POU2F1) binding sites of the TWIST1 and SLUG promoters PMID: 23836662
- The downregulation of OCT1 is associated with tumor progression and worse overall patient survival rates. PMID: 23440379
- Expression levels of OCT1 were not changed in relation to the -1756 genotypes. PMID: 22498645
- SLC22A1-ABCB1 haplotypes may influence IM pharmacokinetics in Asian CML patients. PMID: 23272163
- This mini-review discusses structural requirements for both OCT1 and OCT2 versus the blood-brain barrier choline transporter (BBBCHT) are discussed and compared. PMID: 22483271
- the data indicate that Oct1 regulates normal and cancer stem cell function PMID: 23144633
- Seven polymorphisms in OCT1, OCT2, and MATE1 genes were compared between 53 type 2 diabetes patients with side effects of metformin and 193 metformin users without symptoms of metformin intolerance. PMID: 22735389
- The hOCT1 SNPs M420del and M408V alter imatinib uptake and M420del modifies clinical outcome in imatinib-treated chronic myeloid leukemia. PMID: 23223357
- High-dose imatinib leads to superior molecular responses in patients with low OCT-1 activity. PMID: 22207690
- A substrate binding hinge domain is critical for transport-related structural changes of organic cation transporter 1. PMID: 22810231
- data suggest a model for the sequence of binding events involved in synergistic gene regulation by Sox2 and Oct1 PMID: 22718759
- evaluated the pretherapeutic mRNA expression of the hOCT1 (human organic cation transporter 1) gene in patients with chronic-phase (CP) chronic myeloid leukemia (CML) who varied in terms of their response to imatinib PMID: 22508387
顯示更多
收起更多
-
亞細胞定位:Basolateral cell membrane; Multi-pass membrane protein.
-
蛋白家族:Major facilitator (TC 2.A.1) superfamily, Organic cation transporter (TC 2.A.1.19) family
-
組織特異性:Widely expressed with high level in liver. Isoform 1 and isoform 2 are expressed in liver. Isoform 1, isoform 2, isoform 3 and isoform 4 are expressed in glial cell lines.
-
數據庫鏈接:
Most popular with customers
-
YWHAB Recombinant Monoclonal Antibody
Applications: ELISA, WB, IHC, IF, FC
Species Reactivity: Human, Mouse, Rat
-
-
-
-
-
-
-















