SLC15A2 Antibody
-
中文名稱:SLC15A2兔多克隆抗體
-
貨號:CSB-PA825936
-
規格:¥1100
-
圖片:
-
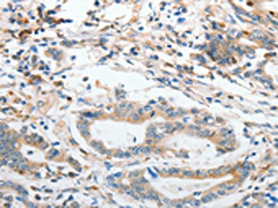
The image on the left is immunohistochemistry of paraffin-embedded Human gastic cancer tissue using CSB-PA825936(SLC15A2 Antibody) at dilution 1/30, on the right is treated with synthetic peptide. (Original magnification: ×200)
-
The image on the left is immunohistochemistry of paraffin-embedded Human liver cancer tissue using CSB-PA825936(SLC15A2 Antibody) at dilution 1/30, on the right is treated with synthetic peptide. (Original magnification: ×200)
-
-
其他:
產品詳情
-
Uniprot No.:
-
基因名:SLC15A2
-
別名:FLJ33407 antibody; Hydrogen ion/peptide cotransporter; kidney antibody; Kidney H(+)/peptide cotransporter antibody; kidney isoform antibody; Oligopeptide transporter antibody; Oligopeptide transporter kidney isoform antibody; PEPT2 antibody; Peptide transporter 2 antibody; S15A2_HUMAN antibody; Slc15a2 antibody; Solute carrier family 15 (H+/peptide transporter) member 2 antibody; solute carrier family 15 (oligopeptide transporter); member 2 antibody; Solute carrier family 15 member 2 antibody
-
宿主:Rabbit
-
反應種屬:Human
-
免疫原:Synthetic peptide of Human SLC15A2
-
免疫原種屬:Homo sapiens (Human)
-
標記方式:Non-conjugated
-
抗體亞型:IgG
-
純化方式:Antigen affinity purification
-
濃度:It differs from different batches. Please contact us to confirm it.
-
保存緩沖液:-20°C, pH7.4 PBS, 0.05% NaN3, 40% Glycerol
-
產品提供形式:Liquid
-
應用范圍:ELISA,IHC
-
推薦稀釋比:
Application Recommended Dilution ELISA 1:2000-1:5000 IHC 1:15-1:50 -
Protocols:
-
儲存條件:Upon receipt, store at -20°C or -80°C. Avoid repeated freeze.
-
貨期:Basically, we can dispatch the products out in 1-3 working days after receiving your orders. Delivery time maybe differs from different purchasing way or location, please kindly consult your local distributors for specific delivery time.
-
用途:For Research Use Only. Not for use in diagnostic or therapeutic procedures.
相關產品
靶點詳情
-
功能:Proton-coupled amino-acid transporter that transports oligopeptides of 2 to 4 amino acids with a preference for dipeptides. Transports the dipeptide-like aminopeptidase inhibitor bestatin. Can also transport the aminocephalosporin antibiotic cefadroxil. Also able to transport carnosine. Involved in innate immunity by promoting the detection of microbial pathogens by NOD-like receptors (NLRs). Probably acts by mediating transport of bacterial peptidoglycans across the plasma membrane: catalyzes the transport of certain bacterial peptidoglycans, such as muramyl dipeptide (MDP), the NOD2 ligand.
-
基因功能參考文獻:
- PEPT2 is expressed in keratinocytes and involved in skin oligopeptide uptake. PMID: 27216463
- PEPT2 is functionally expressed in H441 cells, making the cell line a good in vitro model to study PEPT2 function and its regulation in human distal lung. PMID: 26168863
- In vitro study displayed different response to sorafenib depending on the genotype of SLC15A2. PMID: 25965825
- This study showed that ALAD2 and hPEPT2*2 may be valuable markers of risk, and indicate novel mechanisms of lead-induced neurotoxicity PMID: 25514583
- LNCaP expresses high levels of PEPT2 and PHT1. PMID: 22950754
- ALAD2 and hPEPT2*2 polymorphisms may exaggerate Pb blood burden in boys. PMID: 21327641
- PepT2-mRNA is expressed in U373-MG and glial cells but showed no regulation of PepT2-mRNA expression in both cell types. PMID: 20868728
- Data identify Drosophila Yin and PEPT2 as evolutionarily conserved phagosome-associated transporters. PMID: 20406817
- anserine is recognized by the proton-coupled peptide transporters PEPT1 and PEPT2 with medium affinity. Anserine is able to displace other substrates from the transport process. PMID: 20067523
- Higher blood lead burden in children with the PEPT2*2 mutation may suggest that this common genetic variant is a biomarker of increased vulnerability to the neurotoxic effects of lowest level lead exposure. PMID: 19723536
- expression, localization and functional aspects of this protein in the normal respiratory tract and in cystic fibrosis PMID: 12579467
- Amino acid substitution at Arg57 in PEPT2 causes a complete loss of transport function. PMID: 15020234
- polymorphisms in the gene encoding hPEPT2 can alter substrate transport and therefore could affect drug disposition in vivo PMID: 15282265
- expression and function of the peptide transporter PepT2 (SLC15A2) in differentiated primary cultures of upper airway lung epithelia PMID: 15626774
- PEPT2-PDZK1 interaction thus plays a physiologically important role in both oligopeptide handling as well as peptide-like drug transport in the human kidney PMID: 16738539
- does not operate as a cotransporter in tissues where there is little or no pH gradient, such as choroid plexus, lung, or mammary gland PMID: 18367661
- PEPT2 plays a vital role in microbial recognition by nucleotide-binding oligomerization domain (NOD)-like receptor proteins PMID: 18474668
- PEPT2 to be the dominant transporter for the reabsorption of di- and tripeptides and its pharmacological substrates in the organism, and for the removal of these substrates from the cerebrospinal fluid PMID: 18668438
- the expression/activity of PEPT2 may be a critical factor in the modulation of opioidergic neurotransmission in vivo. PMID: 18762712
- PEPT2 polymorphism distributions differ significantly between Chinese, Malay and Asian Indian populations. Cephalexin pharmacokinetics were not different between Chinese and Asian Indians. PMID: 18766334
- hPEPT1 and hPEPT2 are unlikely to contribute to clinically important drug interactions in humans. PMID: 19246733
顯示更多
收起更多
-
亞細胞定位:Cell membrane; Multi-pass membrane protein.
-
蛋白家族:PTR2/POT transporter (TC 2.A.17) family
-
組織特異性:Expressed in kidney. Not detected in intestine.
-
數據庫鏈接:
Most popular with customers
-
YWHAB Recombinant Monoclonal Antibody
Applications: ELISA, WB, IHC, IF, FC
Species Reactivity: Human, Mouse, Rat
-
Phospho-YAP1 (S127) Recombinant Monoclonal Antibody
Applications: ELISA, WB, IHC
Species Reactivity: Human
-
-
-
-
-
-















