SLC14A1 Antibody
-
中文名稱:SLC14A1兔多克隆抗體
-
貨號:CSB-PA615678LA01HU
-
規格:¥440
-
圖片:
-
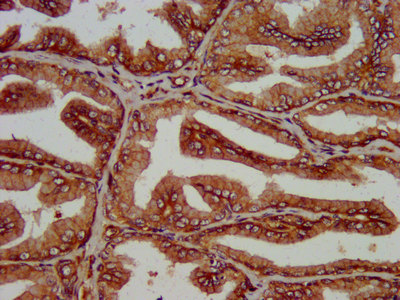
IHC image of CSB-PA615678LA01HU diluted at 1:200 and staining in paraffin-embedded human prostate tissue performed on a Leica BondTM system. After dewaxing and hydration, antigen retrieval was mediated by high pressure in a citrate buffer (pH 6.0). Section was blocked with 10% normal goat serum 30min at RT. Then primary antibody (1% BSA) was incubated at 4°C overnight. The primary is detected by a biotinylated secondary antibody and visualized using an HRP conjugated SP system.
-
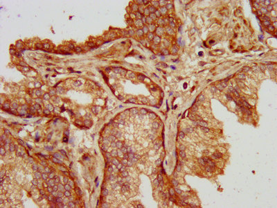
IHC image of CSB-PA615678LA01HU diluted at 1:200 and staining in paraffin-embedded human prostate cancer performed on a Leica BondTM system. After dewaxing and hydration, antigen retrieval was mediated by high pressure in a citrate buffer (pH 6.0). Section was blocked with 10% normal goat serum 30min at RT. Then primary antibody (1% BSA) was incubated at 4°C overnight. The primary is detected by a biotinylated secondary antibody and visualized using an HRP conjugated SP system.
-
Immunofluorescence staining of MCF-7 cells with CSB-PA615678LA01HU at 1:66, counter-stained with DAPI. The cells were fixed in 4% formaldehyde, permeabilized using 0.2% Triton X-100 and blocked in 10% normal Goat Serum. The cells were then incubated with the antibody overnight at 4°C. The secondary antibody was Alexa Fluor 488-congugated AffiniPure Goat Anti-Rabbit IgG(H+L).
-
-
其他:
產品詳情
-
產品名稱:Rabbit anti-Homo sapiens (Human) SLC14A1 Polyclonal antibody
-
Uniprot No.:
-
基因名:SLC14A1
-
別名:blood group Kidd urea transporter antibody; erythrocyte antibody; HsT1341 antibody; HUT11 antibody; JK antibody; Kidd antibody; kidd (JK) blood group urea transporter B1 antibody; RACH1 antibody; Slc14a1 antibody; solute carrier family 14 (urea transporter) member 1 (Kidd blood group) antibody; Solute carrier family 14 member 1 antibody; Urea transporter 1 antibody; Urea transporter antibody; urea transporter B1 antibody; Urea transporter erythrocyte antibody; urea transporter JK glycoprotein antibody; UT B1 antibody; UT1 antibody; UT1_HUMAN antibody; UTE antibody
-
宿主:Rabbit
-
反應種屬:Human
-
免疫原:Recombinant Human Urea transporter 1 protein (1-51AA)
-
免疫原種屬:Homo sapiens (Human)
-
標記方式:Non-conjugated
本頁面中的產品,SLC14A1 Antibody (CSB-PA615678LA01HU),的標記方式是Non-conjugated。對于SLC14A1 Antibody,我們還提供其他標記。見下表:
-
克隆類型:Polyclonal
-
抗體亞型:IgG
-
純化方式:>95%, Protein G purified
-
濃度:It differs from different batches. Please contact us to confirm it.
-
保存緩沖液:Preservative: 0.03% Proclin 300
Constituents: 50% Glycerol, 0.01M PBS, pH 7.4 -
產品提供形式:Liquid
-
應用范圍:ELISA, IHC, IF
-
推薦稀釋比:
Application Recommended Dilution IHC 1:200-1:500 IF 1:50-1:200 -
Protocols:
-
儲存條件:Upon receipt, store at -20°C or -80°C. Avoid repeated freeze.
-
貨期:Basically, we can dispatch the products out in 1-3 working days after receiving your orders. Delivery time maybe differs from different purchasing way or location, please kindly consult your local distributors for specific delivery time.
-
用途:For Research Use Only. Not for use in diagnostic or therapeutic procedures.
相關產品
靶點詳情
-
功能:Urea channel that facilitates transmembrane urea transport down a concentration gradient. A constriction of the transmembrane channel functions as selectivity filter through which urea is expected to pass in dehydrated form. The rate of urea conduction is increased by hypotonic stress. Plays an important role in the kidney medulla collecting ducts, where it allows rapid equilibration between the lumen of the collecting ducts and the interstitium, and thereby prevents water loss driven by the high concentration of urea in the urine. Facilitates urea transport across erythrocyte membranes. May also play a role in transmembrane water transport, possibly by indirect means.
-
基因功能參考文獻:
- The urea transporter subtypes, UT-A1 and UT-B1, were expressed in the skin basal cell layer and exocrine sweat glands. The abundance of UT-A1 and UT-B1 in uremic sweat glands was significantly increased in UP, while the expression of AQP5 was decreased. PMID: 29279852
- In addition to the well known Polynesian Jknull allele, three Jknull alleles were detected including one novel Jknull allele: JKA (130A, 220G). PMID: 26969102
- The Jk(a-b-) phenotype in the Chinese population shows several different molecular mechanisms. A novel missense mutation nt737T>G of JK gene was found as associated with Jk(a-b-) phenotype. PMID: 25807964
- Data indicate that urea transporter UT-A1 successfully trafficking to the apical membrane of the epithelial cells is crucial for the regulation of urea transport. PMID: 23698785
- Results suggested that polymorphism in TERTC/T and SLC14A1C/T confirmed high risk for BC in North Indian population. PMID: 25218484
- Reduction or loss of UT-B expression may be related to the incidence, progression and invasiveness of bladder urothelial carcinoma. PMID: 25445116
- Studies indicate that expression of urea transporter UT-B confers high urea permeability to erythrocytes. PMID: 25298342
- Studies indicate that acid substitution in the urea transporter Slc14A1 UT-B protein determines the erythrocyte Kidd blood group antigen. PMID: 25298346
- UT-B should be considered as a new member of the water channel family. PMID: 24376529
- High-throughput Kell, Kidd, and Duffy matrix-assisted laser desorption/ionization, time-of-flight mass spectrometry-based blood group genotyping of 4000 donors shows close to full concordance with serotyping and detects new alleles. PMID: 24845979
- these data confirm the presence of UT-B protein within the human bladder. PMID: 25209859
- Novel polymorphisms in exon 9 of the JSLC14A1 gene in Japanese individuals associated with the Jk(a-b-) phenotype. PMID: 24877238
- Thienoquinoline PU-14 is a selective UT inhibitor and has urea-selective diuretic activity. PMID: 23486518
- SLC14A1 could be a unique urea transporter in the bladder that has the ability to influence urine concentration and that this mechanism might explain the increased bladder cancer susceptibility associated with rs10775480. PMID: 23754249
- Inhibitor and mutagenesis studies and results of molecular dynamics simulations suggest that NH and HO pass through the three monomeric urea channels in UT-B. PMID: 23552862
- Four novel JK-null alleles were noted to be associated with the Jk(a-b-) phenotype. PMID: 22738189
- the rate of urea conduction in UT-B is increased by hypoosmotic stress, and the site of osmoregulation coincides with the location of the energy barrier PMID: 22733730
- Loss of SLC14A1 is associated with lung adenocarcinoma. PMID: 22223368
- rs17674580, or other sequence variants of SLC14A1, indirectly modifies urinary bladder cancer risk by affecting urine production. PMID: 21750109
- Genetic variation in SLC14A1 could provide new etiological insights into bladder carcinogenesis. PMID: 21824976
- A new allele JK*01W has 3 changes (130G>A, 588A>G, Intron 9-46a>g)in addition to 838G. It is associated with weak expression of the Jk-a antigen on erythrocytes. PMID: 21309779
- Results illustrate differential protein abundance of functional UT-B protein in different sections of the human colon, strongly correlating to regions that contain the largest populations of intestinal bacteria. PMID: 19926813
- gene encodes the Kidd blood group antigens PMID: 12093813
- Kidd antigen/UT-B urea transporter is physiologically expressed in the human colon epithelium, where it could participate in the transport of urea across the colon mucosa. PMID: 14985236
- high frequency of JK null allele in Taiwanese indigenous groups PMID: 18713105
- Three blood group antigens genes, namely CD55, CD151, and SLC14A1, have been subjected to balancing selection, a process, rare outside MHC genes, which maintains variability at a locus. PMID: 18997004
顯示更多
收起更多
-
亞細胞定位:Cell membrane; Multi-pass membrane protein. Basolateral cell membrane; Multi-pass membrane protein.
-
蛋白家族:Urea transporter family
-
組織特異性:Detected in erythrocytes (at protein level). Erythrocytes.
-
數據庫鏈接:
Most popular with customers
-
Phospho-YAP1 (S127) Recombinant Monoclonal Antibody
Applications: ELISA, WB, IHC
Species Reactivity: Human
-
-
-
-
-
-
-















