SLC11A2 Antibody
-
中文名稱:SLC11A2兔多克隆抗體
-
貨號:CSB-PA021381LA01HU
-
規格:¥440
-
圖片:
-
Western Blot
Positive WB detected in: 293 whole cell lysate, SH-SY5Y whole cell lysate, U87 whole cell lysate
All lanes: SLC11A2 antibody at 3μg/ml
Secondary
Goat polyclonal to rabbit IgG at 1/50000 dilution
Predicted band size: 63, 62, 65, 66 kDa
Observed band size: 63 kDa -
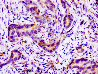
Immunohistochemistry of paraffin-embedded human pancreatic cancer using CSB-PA021381LA01HU at dilution of 1:100
-
Immunofluorescence staining of HepG2 cells with CSB-PA021381LA01HU at 1:100, counter-stained with DAPI. The cells were fixed in 4% formaldehyde, permeabilized using 0.2% Triton X-100 and blocked in 10% normal Goat Serum. The cells were then incubated with the antibody overnight at 4°C. The secondary antibody was Alexa Fluor 488-congugated AffiniPure Goat Anti-Rabbit IgG(H+L).
-
-
其他:
產品詳情
-
產品名稱:Rabbit anti-Homo sapiens (Human) SLC11A2 Polyclonal antibody
-
Uniprot No.:
-
基因名:SLC11A2
-
別名:DCT 1 antibody; dct-1 antibody; DCT1 antibody; Divalent cation transporter 1 antibody; Divalent metal transporter 1 antibody; DMT 1 antibody; DMT-1 antibody; DMT1 antibody; FLJ37416 antibody; Natural resistance associated macrophage protein 2 antibody; Natural resistance-associated macrophage protein 2 antibody; NRAM2_HUMAN antibody; NRAMP 2 antibody; NRAMP2 antibody; OK/SW-cl.20 antibody; Slc11a2 antibody; Solute carrier family 11 (proton coupled divalent metal ion transporters) member 2 antibody; Solute carrier family 11 member 2 antibody
-
宿主:Rabbit
-
反應種屬:Human
-
免疫原:Recombinant Human Natural resistance-associated macrophage protein 2 protein (1-69AA)
-
免疫原種屬:Homo sapiens (Human)
-
標記方式:Non-conjugated
本頁面中的產品,SLC11A2 Antibody (CSB-PA021381LA01HU),的標記方式是Non-conjugated。對于SLC11A2 Antibody,我們還提供其他標記。見下表:
-
克隆類型:Polyclonal
-
抗體亞型:IgG
-
純化方式:>95%, Protein G purified
-
濃度:It differs from different batches. Please contact us to confirm it.
-
保存緩沖液:Preservative: 0.03% Proclin 300
Constituents: 50% Glycerol, 0.01M PBS, pH 7.4 -
產品提供形式:Liquid
-
應用范圍:ELISA, WB, IHC, IF
-
推薦稀釋比:
Application Recommended Dilution WB 1:500-1:5000 IHC 1:20-1:200 IF 1:50-1:200 -
Protocols:
-
儲存條件:Upon receipt, store at -20°C or -80°C. Avoid repeated freeze.
-
貨期:Basically, we can dispatch the products out in 1-3 working days after receiving your orders. Delivery time maybe differs from different purchasing way or location, please kindly consult your local distributors for specific delivery time.
-
用途:For Research Use Only. Not for use in diagnostic or therapeutic procedures.
相關產品
靶點詳情
-
功能:Important in metal transport, in particular iron. Can also transport manganese, cobalt, cadmium, nickel, vanadium and lead. Involved in apical iron uptake into duodenal enterocytes. Involved in iron transport from acidified endosomes into the cytoplasm of erythroid precursor cells. May play an important role in hepatic iron accumulation and tissue iron distribution. May serve to import iron into the mitochondria.
-
基因功能參考文獻:
- DMT1 was increased in myelodysplastic syndrome patients. PMID: 28714470
- SLC11A2 expression is increased in the intestine of patients with type 2 diabetes in association with iron stores and serum hepcidin levels. PMID: 29082606
- Results indicate that there is a dysregulation of DMT1 + IRE in IA testes, which might due to the up-regulation of IRP1 and HIF-1A. PMID: 28762519
- celiac disease may unmask the contribution of the DMT1 IVS4+44C>A polymorphism to the risk of anemia. PMID: 29023457
- These results suggest that the increased expression of DMT1 induces iron overload and iron overload induces osteoblast autophagy and apoptosis, thus affecting the pathological processes of osteoporosis. Clarifying the mechanisms underlying the effects of DMT1 will allow the identification of novel targets for the prevention and treatment of osteoporosis. PMID: 28367088
- the cellular iron importer, divalent metal transporter 1 (DMT1), is highly expressed in colorectal cancer through hypoxia-inducible factor 2alpha-dependent transcription. PMID: 27546461
- Divalent metal transporter-1 overexpression in endometriosis patients' endometrium can increase iron influx to endometrial cells, inducing oxidative stress-mediated proinflammatory signaling. In turn, endometriosis-related conditions, as iron overload and inflammation (IL-1beta), enhance endometriosis patients endometrial DMT1 expression, creating a vicious circle on DMT-1-modulated pathways. PMID: 27117373
- X-ray crystallographic analysis of a 4-component complex comprising the VPS26 & VPS35 subunits of retromer, sorting nexin SNX3, & recycling signal from the divalent cation transporter DMT1-II; analysis identifies a binding site for canonical recycling signals at the interface between VPS26 & SNX3; shows cooperative interactions among the VPS subunits, SNX3 & cargo that couple signal-recognition to membrane recruitment. PMID: 27889239
- Gene silencing of either CTR1 or DMT1 did not affect copper accumulation in cells, but deficiency in both CTR1 and DMT1 resulted in a complete inhibition of copper uptake. PMID: 26067577
- These data suggest that iron uptake induces the production of ROS, which modify DMT1 endocytic cycling, thus changing the iron transport activity at the apical membrane. PMID: 26289753
- We propose that DMT1 deficiency negatively affects metabolism and life span of mature erythrocytes; two other aspects of defective erythropoiesis which contribute to the pathophysiology of the disease PMID: 25562168
- the TT genotype and T allele of the 1254T>C polymorphism may be a risk factor for Parkinson disease PMID: 25817364
- Suggest role for divalent cation transporter DMT1 in the entry of Hg(II) into the intestinal epithelium. PMID: 25772431
- Six months after RYGB surgery, patients exhibit an increase in DMT1 expression in the enterocytes of the tips of the villi at the proximal jejunum PMID: 24914374
- In Parkinson's disease, increased iron levels are associated with increased Ndfip1 expression for the regulation of DMT1, including abnormal Ndfip1 activation in non-neuronal cell types such as astrocytes. PMID: 24475238
- The DMT1 IVS4 C(+) allele occurred more frequently in WND than in the healthy controls. PMID: 24120082
- DMT1 not only exports iron from endosomes, but also serves to import the metal into the mitochondria PMID: 24448823
- Manganese (Mn) transport carriers DMT1 and FPN1 mediate the apical uptake and basolateral exit of Mn in colonic epithelial Caco-2 cells. PMID: 23996061
- DMT1 is likely involved in endosomal iron transport in placental STB and placental DMT1 + IRE expression was primarily regulated by the IRE/IRP mechanism PMID: 21947861
- Identification and characterization of the first SLC11A2 isoform 1a mutation causing a defect in splicing process and an hypomorphic allele expression of the SLC11A2 gene. PMID: 23016933
- Data suggest that DMT-1 in enterocytes is delocalized from plasma membrane upon iron or zinc depletion; apical abundance of DMT-1 increases with zinc supplementation. PMID: 22137264
- sequenced exons and exon-intron boundaries of SLC11A2 and TMPRSS6 in all 6 family members with iron-refractory iron deficiency anaemia; cannot exclude or confirm a gene-gene interaction between SLC11A2 and TMPRSS6; gene sequencing did not reveal causative rare mutations PMID: 22509377
- Substrate profile and metal-ion selectivity of human divalent metal-ion transporter-1. PMID: 22736759
- that 1B/(-)IRE DMT1 expression and intracellular iron influx are early downstream responses to NF-kappaB/RelA activation and acetylation during brain ischemia and contribute to the pathogenesis of stroke-induced neuronal damage PMID: 22666436
- DMT1 regulation in an isoform specific fashion can occur by ubiquitination and the events involved have implications for DMT1 function and disease processes. PMID: 22310887
- These results suggest that the VS4+44C>A polymorphism of the DMT1 gene may interact with place of living and gender to modulate the risk of age-related macular degeneration (AMD). PMID: 22371024
- Data show that both shRNA-DMT1 and shRNA-hCTR1 cells had lower apical Fe uptake, Cu uptake, and Zn content compared to control cells. PMID: 22068728
- analysis of synthesis and biological evaluation of substituted pyrazoles as blockers of divalent metal transporter 1 (DMT1) PMID: 22154351
- The data were consistent with PAP7 interacting with DMT1 and regulating DMT1 expression in K562 cells by modulating expression of DMT1 protein. PMID: 22383495
- CC haplotype in DMT1 gene is a possible risk factor for Parkinson disease in this Han Chinese population. PMID: 21777657
- Our data confirm the major role of SLC11A2 in the maintenance of iron homeostasis in humans and demonstrate that the mutation contributes to the development of anemia and hepatic iron overload. PMID: 21871825
- Homology implies that inverted structural symmetry facilitates Slc11 H(+)-driven Me(2+) import and provides a 3D framework to test structure-activity relationships in macrophages and study functional evolution of MntH/Nramp (Slc11) carriers. PMID: 21948377
- Data show that the peptide can bind to Mn2+ and Co2+ ions by the side chains of the negatively charged residues in the motif and the C-terminal part of DMT1-TMD1. PMID: 21074515
- Our findings support an implication for iron metabolism in amyotrophic lateral sclerosis and suggest that the genotype of the SLC11A2 gene could modulate the duration of the disease PMID: 21276595
- An acute increase in hepcidin concentration reduces intestinal iron absorption through ubiquitin-dependent proteasome degradation of DMT1 PMID: 21199652
- DMT1 is a hypoxia-inducible gene. PMID: 20945371
- Data suggest that miR-Let-7d participates in the finely tuned regulation of iron metabolism by targeting DMT1-IRE isoform in erythroid cells. PMID: 20410187
- Findings demonstrate that the retromer recognizes the recycling signal of DMT1-II and ensures its proper endosomal recycling. PMID: 20164305
- Ca2+ is a low-affinity noncompetitive inhibitor--but not a transported substrate--of DMT1, explaining in part the effect of high dietary calcium on iron bioavailability. PMID: 20152801
- Suggest a novel mechanism of regulation of intestinal iron absorption based on inward and outward fluxes at both membrane domains, and repositioning of DMT1 and FPN between membrane and intracellular compartments as a function of iron supply. PMID: 20007457
- These findings suggest both that DMT1 plays a critical role in ion-mediated neuropathogenesis in Alzheimer's disease (AD) and that pharmacological blockage of DMT1 may provide novel therapeutic strategies against AD. PMID: 19679638
- location was observed on or near the cell surface suggesting it might participate in surface membrane transport of iron PMID: 11891802
- expression levels of human DCT1 mRNA, and to a lesser extent IREG1 mRNA, are regulated in an iron-dependent manner PMID: 11897618
- airway epithelial cells increase mRNA and expression of the Nramp2/DMT1/DCT1 without an IRE after exposure to iron. The increase results in an elevated transport of iron and its probable detoxification by these cells. PMID: 11943663
- DMT1 is a transporter for lead PMID: 12127992
- iron regulation of DMT1 involves the expression of a previously unrecognized upstream 5' exon (exon 1A) of the human and murine DMT1 gene PMID: 12209011
- Using the Xenopus oocyte expression system, human Nramp2, a human intestinal iron transporter, was shown to work as a cadmium transporter PMID: 12662899
- These results demonstrate that DMT1 is a physiologically relevant Cu(1+) transporter in intestinal cells, indicating that intestinal absorption of copper and iron are intertwined. PMID: 12734107
- in iron deficiency DMT-1 and mobilferrin concentrated in apical surface of duodenal villae; increase due to increased binding to mucin in vesicles near surfacel; localized in goblet cells and outside cell in luminal mucin PMID: 12949888
- divalent metal ion transporter-1 may be of pivotal importance for the regulation of metal ion homeostasis within organs involved in absorption and excretion of ions PMID: 12973678
顯示更多
收起更多
-
相關疾病:Anemia, hypochromic microcytic, with iron overload 1 (AHMIO1)
-
亞細胞定位:[Isoform 2]: Cell membrane; Multi-pass membrane protein. Early endosome.; Endosome membrane; Multi-pass membrane protein. Mitochondrion outer membrane; Multi-pass membrane protein. Cell membrane; Multi-pass membrane protein.
-
蛋白家族:NRAMP family
-
組織特異性:Ubiquitously expressed. Isoform 1 is highly expressed in brain. Isoform 2 is highly expressed in spleen, thymus and pancreas. Isoform 3 and isoform 4 are abundantly expressed in duodenum and kidney.
-
數據庫鏈接:
Most popular with customers
-
-
YWHAB Recombinant Monoclonal Antibody
Applications: ELISA, WB, IHC, IF, FC
Species Reactivity: Human, Mouse, Rat
-
Phospho-YAP1 (S127) Recombinant Monoclonal Antibody
Applications: ELISA, WB, IHC
Species Reactivity: Human
-
-
-
-
-















