SKA3 Antibody
-
中文名稱:SKA3兔多克隆抗體
-
貨號:CSB-PA816899LA01HU
-
規格:¥440
-
圖片:
-
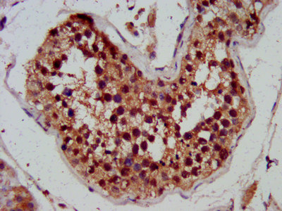
IHC image of CSB-PA816899LA01HU diluted at 1:300 and staining in paraffin-embedded human testis tissue performed on a Leica BondTM system. After dewaxing and hydration, antigen retrieval was mediated by high pressure in a citrate buffer (pH 6.0). Section was blocked with 10% normal goat serum 30min at RT. Then primary antibody (1% BSA) was incubated at 4°C overnight. The primary is detected by a biotinylated secondary antibody and visualized using an HRP conjugated SP system.
-
IHC image of CSB-PA816899LA01HU diluted at 1:300 and staining in paraffin-embedded human melanoma performed on a Leica BondTM system. After dewaxing and hydration, antigen retrieval was mediated by high pressure in a citrate buffer (pH 6.0). Section was blocked with 10% normal goat serum 30min at RT. Then primary antibody (1% BSA) was incubated at 4°C overnight. The primary is detected by a biotinylated secondary antibody and visualized using an HRP conjugated SP system.
-
Immunofluorescence staining of Hela cells with CSB-PA816899LA01HU at 1:100, counter-stained with DAPI. The cells were fixed in 4% formaldehyde, permeabilized using 0.2% Triton X-100 and blocked in 10% normal Goat Serum. The cells were then incubated with the antibody overnight at 4°C. The secondary antibody was Alexa Fluor 488-congugated AffiniPure Goat Anti-Rabbit IgG(H+L).
-
-
其他:
產品詳情
-
產品名稱:Rabbit anti-Homo sapiens (Human) SKA3 Polyclonal antibody
-
Uniprot No.:
-
基因名:SKA3
-
別名:C13orf3 antibody; RAMA1 antibody; SKA3 antibody; SKA3_HUMAN antibody; Spindle and kinetochore associated complex subunit 3 antibody; Spindle and kinetochore-associated protein 3 antibody
-
宿主:Rabbit
-
反應種屬:Human
-
免疫原:Recombinant Human Spindle and kinetochore-associated protein 3 protein (101-195AA)
-
免疫原種屬:Homo sapiens (Human)
-
標記方式:Non-conjugated
本頁面中的產品,SKA3 Antibody (CSB-PA816899LA01HU),的標記方式是Non-conjugated。對于SKA3 Antibody,我們還提供其他標記。見下表:
-
克隆類型:Polyclonal
-
抗體亞型:IgG
-
純化方式:>95%, Protein G purified
-
濃度:It differs from different batches. Please contact us to confirm it.
-
保存緩沖液:Preservative: 0.03% Proclin 300
Constituents: 50% Glycerol, 0.01M PBS, pH 7.4 -
產品提供形式:Liquid
-
應用范圍:ELISA, IHC, IF
-
推薦稀釋比:
Application Recommended Dilution IHC 1:200-1:500 IF 1:50-1:200 -
Protocols:
-
儲存條件:Upon receipt, store at -20°C or -80°C. Avoid repeated freeze.
-
貨期:Basically, we can dispatch the products out in 1-3 working days after receiving your orders. Delivery time maybe differs from different purchasing way or location, please kindly consult your local distributors for specific delivery time.
-
用途:For Research Use Only. Not for use in diagnostic or therapeutic procedures.
相關產品
靶點詳情
-
功能:Component of the SKA1 complex, a microtubule-binding subcomplex of the outer kinetochore that is essential for proper chromosome segregation. The SKA1 complex is a direct component of the kinetochore-microtubule interface and directly associates with microtubules as oligomeric assemblies. The complex facilitates the processive movement of microspheres along a microtubule in a depolymerization-coupled manner. In the complex, it mediates the microtubule-stimulated oligomerization. Affinity for microtubules is synergistically enhanced in the presence of the ndc-80 complex and may allow the ndc-80 complex to track depolymerizing microtubules.
-
基因功能參考文獻:
- decreased neuronal cell SKA complex genes' expression levels affect neuronal cell viability and neurite development PMID: 29268205
- Study shows that Cdk1 phosphorylates Ska3 to promote its direct binding to the Ndc80 complex (Ndc80C), a core outer kinetochore component, also show that this phosphorylation occurs specifically during mitosis and is required for the kinetochore localization of the Ska complex. PMID: 28479321
- this report provides clear evidence that overexpression of the AURKA, SKA3, and DSN1 genes strongly correlates with the progression of colorectal adenomas to colorectal cancer PMID: 27329586
- Kinetochores mature through Ska1/ska2/Ska3 complex recruitment and this is required for improved load-bearing capacity and silencing of the spindle assembly checkpoint. PMID: 28495837
- over-expression of GNL3 and SKA3 in the PC-3 human prostate cancer cell line decreased in vitro cell migration and invasion PMID: 26429724
- The structure of the Ska core complex is a W-shaped dimer of coiled coils, formed by intertwined interactions between Ska1, Ska2, and Ska3. PMID: 22483620
- Data suggest that Aurora B phosphorylation antagonizes the interaction between the Ska1-3 complex and the KMN network, thereby controlling Ska recruitment to KTs and stabilization of KT-MT attachments. PMID: 22371557
- Ska3 functions to coordinate checkpoint signaling from the microtubule binding sites within a kinetochore by laterally linking the individual binding sites. PMID: 19646878
- C13Orf3 (now termed Ska3) localizes to the spindle and kinetochore throughout mitosis and its depletion markedly delays anaphase transition. PMID: 19360002
- These data identify C13orf3 (Ska3) as an important factor for metaphase to anaphase progression and highlight the potential of combined RNAi screening and protein localisation analyses. PMID: 19387489
- RAMA1 is a novel kinetochore protein involved in kinetochore-microtubule attachment. PMID: 19549680
顯示更多
收起更多
-
亞細胞定位:Cytoplasm, cytoskeleton, spindle. Chromosome, centromere, kinetochore.
-
蛋白家族:SKA3 family
-
數據庫鏈接:
Most popular with customers
-
YWHAB Recombinant Monoclonal Antibody
Applications: ELISA, WB, IHC, IF, FC
Species Reactivity: Human, Mouse, Rat
-
-
-
-
-
-
-
VDAC1 Recombinant Monoclonal Antibody
Applications: ELISA, WB, IHC
Species Reactivity: Human, Mouse, Rat















