SIGLEC6 Antibody
-
中文名稱:SIGLEC6兔多克隆抗體
-
貨號:CSB-PA984002
-
規格:¥1100
-
圖片:
-
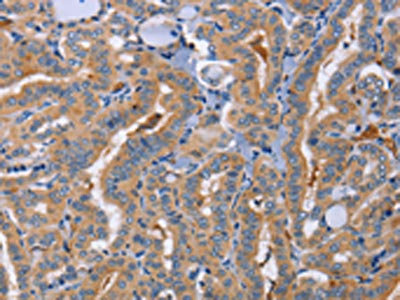
The image on the left is immunohistochemistry of paraffin-embedded Human thyroid cancer tissue using CSB-PA984002(SIGLEC6 Antibody) at dilution 1/70, on the right is treated with synthetic peptide. (Original magnification: ×200)
-
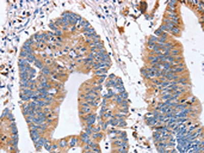
The image on the left is immunohistochemistry of paraffin-embedded Human colon cancer tissue using CSB-PA984002(SIGLEC6 Antibody) at dilution 1/70, on the right is treated with synthetic peptide. (Original magnification: ×200)
-
Gel: 8%SDS-PAGE, Lysate: 40 μg, Lane: Human placenta tissue, Primary antibody: CSB-PA984002(SIGLEC6 Antibody) at dilution 1/1000, Secondary antibody: Goat anti rabbit IgG at 1/8000 dilution, Exposure time: 1 minute
-
-
其他:
產品詳情
-
Uniprot No.:
-
基因名:
-
別名:SIGLEC6; CD33L; CD33L1; OBBP1; Sialic acid-binding Ig-like lectin 6; Siglec-6; CD33 antigen-like 1; CDw327; Obesity-binding protein 1; OB-BP1; CD antigen CD327
-
宿主:Rabbit
-
反應種屬:Human
-
免疫原:Synthetic peptide of Human SIGLEC6
-
免疫原種屬:Homo sapiens (Human)
-
標記方式:Non-conjugated
-
抗體亞型:IgG
-
純化方式:Antigen affinity purification
-
濃度:It differs from different batches. Please contact us to confirm it.
-
保存緩沖液:-20°C, pH7.4 PBS, 0.05% NaN3, 40% Glycerol
-
產品提供形式:Liquid
-
應用范圍:ELISA,WB,IHC
-
推薦稀釋比:
Application Recommended Dilution ELISA 1:2000-1:5000 WB 1:500-1:2000 IHC 1:50-1:200 -
Protocols:
-
儲存條件:Upon receipt, store at -20°C or -80°C. Avoid repeated freeze.
-
貨期:Basically, we can dispatch the products out in 1-3 working days after receiving your orders. Delivery time maybe differs from different purchasing way or location, please kindly consult your local distributors for specific delivery time.
-
用途:For Research Use Only. Not for use in diagnostic or therapeutic procedures.
相關產品
靶點詳情
-
功能:Putative adhesion molecule that mediates sialic-acid dependent binding to cells. Binds to alpha-2,6-linked sialic acid. The sialic acid recognition site may be masked by cis interactions with sialic acids on the same cell surface.
-
基因功能參考文獻:
- Siglec6 and leptin play a role in the aberrant properties characteristic of gestational trophoblastic disease, namely excess proliferation and invasion. PMID: 23089140
- Siglec-6 expression is increased in preterm preeclampsia placentas. PMID: 23171684
- GdA interacts with Siglec-6 to suppress trophoblast invasiveness by down-regulating the ERK/c-Jun signaling pathway. PMID: 21880722
- the negative signaling potential of Siglec-6 may have a role in human-specific placental expression, to slow the tempo of the human birth process PMID: 17580316
- Preeclampsia involves changes in the gene expression of SIGLEC6 in placental cytotrophoblasts. PMID: 18818296
顯示更多
收起更多
-
亞細胞定位:[Isoform 1]: Cell membrane; Single-pass type I membrane protein.; [Isoform 2]: Secreted.
-
蛋白家族:Immunoglobulin superfamily, SIGLEC (sialic acid binding Ig-like lectin) family
-
組織特異性:Expressed at high levels in placenta (cyto- and syncytiotrophoblastic cells) and at lower levels in spleen, peripheral blood leukocytes (predominantly B-cells) and small intestine.
-
數據庫鏈接:
Most popular with customers
-
-
YWHAB Recombinant Monoclonal Antibody
Applications: ELISA, WB, IHC, IF, FC
Species Reactivity: Human, Mouse, Rat
-
Phospho-YAP1 (S127) Recombinant Monoclonal Antibody
Applications: ELISA, WB, IHC
Species Reactivity: Human
-
-
-
-
-















