SIGLEC5 Antibody
-
中文名稱:SIGLEC5兔多克隆抗體
-
貨號:CSB-PA280714
-
規格:¥1100
-
圖片:
-
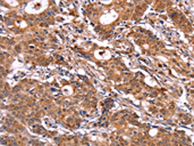
The image on the left is immunohistochemistry of paraffin-embedded Human gastic cancer tissue using CSB-PA280714(SIGLEC5 Antibody) at dilution 1/30, on the right is treated with fusion protein. (Original magnification: ×200)
-
The image on the left is immunohistochemistry of paraffin-embedded Human colon cancer tissue using CSB-PA280714(SIGLEC5 Antibody) at dilution 1/30, on the right is treated with fusion protein. (Original magnification: ×200)
-
Gel: 6%SDS-PAGE, Lysate: 40 μg, Lane: Mouse liver tissue, Primary antibody: CSB-PA280714(SIGLEC5 Antibody) at dilution 1/350, Secondary antibody: Goat anti rabbit IgG at 1/8000 dilution, Exposure time: 2minutes
-
-
其他:
產品詳情
-
Uniprot No.:
-
基因名:SIGLEC5
-
別名:SIGLEC5; CD33L2; OBBP2; Sialic acid-binding Ig-like lectin 5; Siglec-5; CD33 antigen-like 2; Obesity-binding protein 2; OB-BP2; OB-binding protein 2; CD antigen CD170
-
宿主:Rabbit
-
反應種屬:Human,Mouse
-
免疫原:Fusion protein of Human SIGLEC5
-
免疫原種屬:Homo sapiens (Human)
-
標記方式:Non-conjugated
-
抗體亞型:IgG
-
純化方式:Antigen affinity purification
-
濃度:It differs from different batches. Please contact us to confirm it.
-
保存緩沖液:-20°C, pH7.4 PBS, 0.05% NaN3, 40% Glycerol
-
產品提供形式:Liquid
-
應用范圍:ELISA,WB,IHC
-
推薦稀釋比:
Application Recommended Dilution ELISA 1:1000-1:2000 WB 1:200-1:1000 IHC 1:50-1:200 -
Protocols:
-
儲存條件:Upon receipt, store at -20°C or -80°C. Avoid repeated freeze.
-
貨期:Basically, we can dispatch the products out in 1-3 working days after receiving your orders. Delivery time maybe differs from different purchasing way or location, please kindly consult your local distributors for specific delivery time.
-
用途:For Research Use Only. Not for use in diagnostic or therapeutic procedures.
相關產品
靶點詳情
-
功能:Putative adhesion molecule that mediates sialic-acid dependent binding to cells. Binds equally to alpha-2,3-linked and alpha-2,6-linked sialic acid. The sialic acid recognition site may be masked by cis interactions with sialic acids on the same cell surface.
-
基因功能參考文獻:
- PSGL1 and Siglec-5 are in close proximity at the leukocyte surface.SPSGL1 is a ligand for Siglec-5 and interacts with Siglec-5 ectodomain.Siglec-5 plays a role in PSGL1-mediated leukocyte rolling and the inflammatory response in general. PMID: 27892504
- An unbiased screen revealed Hsp70 as a ligand for Siglec-5 and Siglec-14. Hsp70 stimulation through Siglec-5 delivers an anti-inflammatory signal, while stimulation through Siglec-14 is pro-inflammatory. PMID: 26459514
- Data indicate that the Siglec-5/14 genotype influences neutrophil responses to group B Streptococcus. PMID: 24799499
- we found that secretory IgA is taken up by M cells via the Dectin-1 receptor, with the possible involvement of Siglec-5 acting as a co-receptor. PMID: 24068891
- These studies demonstrate the Siglec5 carbohydrate recognition domain alone is sufficient for binding sialylated carbohydrates and provide a foundation for further investigation of Siglec5 structure and function. PMID: 23321067
- Siglec-5 expression protects T cells from HIV-1- and apoptosis-induced cell death and contributes to the different outcomes of HIV-1 infection in humans and chimpanzees. PMID: 22945238
- Human Siglec-5 inhibitory receptor and immunoglobulin A (IgA) have separate binding sites in streptococcal beta protein. PMID: 21795693
- Siglec-5 expression correlates with lack of proliferation in a subset of human cells, and is upregulated by activation of chimpanzee but not human lymphocytes. PMID: 20231688
- expression of Siglec-5 on cells of the myelomonocytic lineage and alteration of its expression by inflammatory stimuli suggest a role for this protein in cell/cell interactions following microbial exposure. PMID: 12763136
- Siglec-5 can be classified as an inhibitory receptor with the potential to mediate SHP-1 and/or SHP-2-dependent signaling in the absence of tyrosine phosphorylation. PMID: 15769739
- Siglecs-5 did not interact with sulfate derivatives of LacNAc and sulfated oligosaccharides containing sialic acid. PMID: 16732727
- The expression levels of Siglec-5 were high or detectable in bone marrow plasma from AML patients and serum from normal donors. PMID: 16828866
- Siglec-14 and Siglec-5 appear to be the first glycan binding paired receptors. Near-complete sequence identity of the amino-terminal part of human Siglec-14 and Siglec-5 indicates partial gene conversion between SIGLEC14 and SIGLEC5. PMID: 17012248
- Siglec-5 is identified as a receptor for alpha-1-acid glycoprotein (AGP) 1 in human neutrophils. PMID: 17675532
- Structural implications of SIGLEC5-mediated sialoglycan recognition are reported. PMID: 18022638
- Group B Streptococcus beta protein binding to Siglec-5 functions to impair leukocyte phagocytosis, oxidative burst, and extracellular trap production, promoting bacterial survival. PMID: 19596804
顯示更多
收起更多
-
亞細胞定位:Membrane; Single-pass type I membrane protein.
-
蛋白家族:Immunoglobulin superfamily, SIGLEC (sialic acid binding Ig-like lectin) family
-
組織特異性:Expressed by monocytic/myeloid lineage cells. Found at high levels in peripheral blood leukocytes, spleen, bone marrow and at lower levels in lymph node, lung, appendix, placenta, pancreas and thymus. Expressed by monocytes and neutrophils but absent from
-
數據庫鏈接:
Most popular with customers
-
-
Phospho-YAP1 (S127) Recombinant Monoclonal Antibody
Applications: ELISA, WB, IHC
Species Reactivity: Human
-
-
-
-
-
-















