SIGLEC10 Antibody
-
中文名稱:SIGLEC10兔多克隆抗體
-
貨號:CSB-PA842706LA01HU
-
規格:¥440
-
圖片:
-
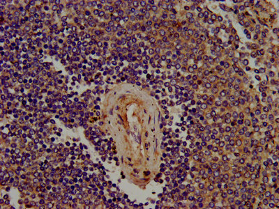
IHC image of CSB-PA842706LA01HU diluted at 1:400 and staining in paraffin-embedded human lymph node tissue performed on a Leica BondTM system. After dewaxing and hydration, antigen retrieval was mediated by high pressure in a citrate buffer (pH 6.0). Section was blocked with 10% normal goat serum 30min at RT. Then primary antibody (1% BSA) was incubated at 4°C overnight. The primary is detected by a biotinylated secondary antibody and visualized using an HRP conjugated SP system.
-
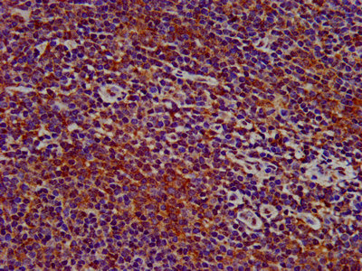
IHC image of CSB-PA842706LA01HU diluted at 1:400 and staining in paraffin-embedded human spleen tissue performed on a Leica BondTM system. After dewaxing and hydration, antigen retrieval was mediated by high pressure in a citrate buffer (pH 6.0). Section was blocked with 10% normal goat serum 30min at RT. Then primary antibody (1% BSA) was incubated at 4°C overnight. The primary is detected by a biotinylated secondary antibody and visualized using an HRP conjugated SP system.
-
Immunofluorescence staining of Hela cells with CSB-PA842706LA01HU at 1:133, counter-stained with DAPI. The cells were fixed in 4% formaldehyde, permeabilized using 0.2% Triton X-100 and blocked in 10% normal Goat Serum. The cells were then incubated with the antibody overnight at 4°C. The secondary antibody was Alexa Fluor 488-congugated AffiniPure Goat Anti-Rabbit IgG(H+L).
-
-
其他:
產品詳情
-
產品名稱:Rabbit anti-Homo sapiens (Human) SIGLEC10 Polyclonal antibody
-
Uniprot No.:
-
基因名:
-
別名:mSiglec G antibody; PRO940 antibody; Sialic acid binding Ig like lectin 10 antibody; Sialic acid binding Ig like lectin 10 antibody; sialic acid binding Ig like lectin 10 Ig like lectin 7 antibody; sialic acid binding Ig like lectin G antibody; Sialic acid binding Immunoglobulin like lectin 10 antibody; Sialic acid-binding Ig-like lectin 10 antibody; SIG10_HUMAN antibody; SIGLEC 10 antibody; Siglec G antibody; siglec like gene 2 antibody; Siglec like protein 2 antibody; Siglec like protein 2 antibody; Siglec-10 antibody; Siglec-like protein 2 antibody; SIGLEC10 antibody; Siglecg antibody; SLG2 antibody
-
宿主:Rabbit
-
反應種屬:Human
-
免疫原:Recombinant Human Sialic acid-binding Ig-like lectin 10 protein (572-697AA)
-
免疫原種屬:Homo sapiens (Human)
-
標記方式:Non-conjugated
本頁面中的產品,SIGLEC10 Antibody (CSB-PA842706LA01HU),的標記方式是Non-conjugated。對于SIGLEC10 Antibody,我們還提供其他標記。見下表:
-
克隆類型:Polyclonal
-
抗體亞型:IgG
-
純化方式:>95%, Protein G purified
-
濃度:It differs from different batches. Please contact us to confirm it.
-
保存緩沖液:Preservative: 0.03% Proclin 300
Constituents: 50% Glycerol, 0.01M PBS, pH 7.4 -
產品提供形式:Liquid
-
應用范圍:ELISA, IHC, IF
-
推薦稀釋比:
Application Recommended Dilution IHC 1:200-1:500 IF 1:50-1:200 -
Protocols:
-
儲存條件:Upon receipt, store at -20°C or -80°C. Avoid repeated freeze.
-
貨期:Basically, we can dispatch the products out in 1-3 working days after receiving your orders. Delivery time maybe differs from different purchasing way or location, please kindly consult your local distributors for specific delivery time.
-
用途:For Research Use Only. Not for use in diagnostic or therapeutic procedures.
相關產品
靶點詳情
-
功能:Putative adhesion molecule that mediates sialic-acid dependent binding to cells. Preferentially binds to alpha-2,3- or alpha-2,6-linked sialic acid. The sialic acid recognition site may be masked by cis interactions with sialic acids on the same cell surface. In the immune response, seems to act as an inhibitory receptor upon ligand induced tyrosine phosphorylation by recruiting cytoplasmic phosphatase(s) via their SH2 domain(s) that block signal transduction through dephosphorylation of signaling molecules. Involved in negative regulation of B-cell antigen receptor signaling. The inhibition of B cell activation is dependent on PTPN6/SHP-1. In association with CD24 may be involved in the selective suppression of the immune response to danger-associated molecular patterns (DAMPs) such as HMGB1, HSP70 and HSP90. In association with CD24 may regulate the immune repsonse of natural killer (NK) cells. Plays a role in the control of autoimmunity. During initiation of adaptive immune responses by CD8-alpha(+) dendritic cells inhibits cross-presentation by impairing the formation of MHC class I-peptide complexes. The function seems to implicate recruitment of PTPN6/SHP-1, which dephosphorylates NCF1 of the NADPH oxidase complex consequently promoting phagosomal acidification.
-
基因功能參考文獻:
- soluble CD52 exerts a concerted immunosuppressive effect by first sequestering HMGB1 to nullify its proinflammatory Box B, followed by binding to the inhibitory Siglec-10 receptor, triggering recruitment of SHP1 to the intracellular immunoreceptor tyrosine-based inhibitory motif of Siglec-10 and its interaction with the TCR. PMID: 29997173
- Siglec-10 is associated with decreased survival and impaired NK cell function in human hepatocellular carcinoma (HCC). PMID: 25450598
- Siglec-10-VAP-1 interaction seems to mediate lymphocyte adhesion to endothelium PMID: 19861682
-
亞細胞定位:[Isoform 1]: Cell membrane; Single-pass type I membrane protein.; [Isoform 2]: Cell membrane; Single-pass type I membrane protein.; [Isoform 3]: Cell membrane; Single-pass type I membrane protein.; [Isoform 4]: Cell membrane; Single-pass type I membrane protein.; [Isoform 5]: Secreted.
-
蛋白家族:Immunoglobulin superfamily, SIGLEC (sialic acid binding Ig-like lectin) family
-
組織特異性:Expressed by peripheral blood leukocytes (eosinophils, monocytes and a natural killer cell subpopulation). Isoform 5 is found to be the most abundant isoform. Found in lymph node, lung, ovary and appendix. Isoform 1 is found at high levels and isoform 2 a
-
數據庫鏈接:
Most popular with customers
-
Phospho-YAP1 (S127) Recombinant Monoclonal Antibody
Applications: ELISA, WB, IHC
Species Reactivity: Human
-
-
-
-
-
-
-















