SHROOM2 Antibody
-
中文名稱:SHROOM2兔多克隆抗體
-
貨號:CSB-PA132880
-
規格:¥1100
-
圖片:
-
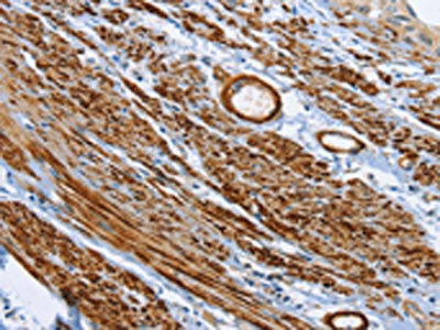
The image on the left is immunohistochemistry of paraffin-embedded Human colon cancer tissue using CSB-PA132880(SHROOM2 Antibody) at dilution 1/50, on the right is treated with synthetic peptide. (Original magnification: ×200)
-
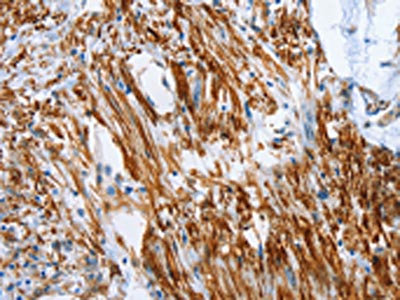
The image on the left is immunohistochemistry of paraffin-embedded Human cervical cancer tissue using CSB-PA132880(SHROOM2 Antibody) at dilution 1/50, on the right is treated with synthetic peptide. (Original magnification: ×200)
-
-
其他:
產品詳情
-
Uniprot No.:
-
基因名:SHROOM2
-
別名:4832440C16 antibody; Ab2-404 antibody; Apical like protein antibody; Apical like protein APXL protein antibody; apical protein of Xenopus-like antibody; Apical protein Xenopus laevis like antibody; apical protein, Xenopus laevis-like antibody; apical protein-like antibody; apical protein-like (Xenopus laevis) antibody; Apical-like protein antibody; APX homolog of Xenopus antibody; C630003H05Rik antibody; DKFZp781J074 antibody; FLJ39277 antibody; HSAPXL antibody; Liver regeneration-related protein LRRG167 antibody; OTTHUMP00000022887 antibody; Protein Apxl antibody; Protein Shroom2 antibody; Shrm2 antibody; SHRM2_HUMAN antibody; SHROOM 2 antibody; Shroom family member 2 antibody; shroom2 antibody
-
宿主:Rabbit
-
反應種屬:Human
-
免疫原:Synthetic peptide of Human SHROOM2
-
免疫原種屬:Homo sapiens (Human)
-
標記方式:Non-conjugated
-
抗體亞型:IgG
-
純化方式:Antigen affinity purification
-
濃度:It differs from different batches. Please contact us to confirm it.
-
保存緩沖液:-20°C, pH7.4 PBS, 0.05% NaN3, 40% Glycerol
-
產品提供形式:Liquid
-
應用范圍:ELISA,IHC
-
推薦稀釋比:
Application Recommended Dilution ELISA 1:2000-1:5000 IHC 1:50-1:200 -
Protocols:
-
儲存條件:Upon receipt, store at -20°C or -80°C. Avoid repeated freeze.
-
貨期:Basically, we can dispatch the products out in 1-3 working days after receiving your orders. Delivery time maybe differs from different purchasing way or location, please kindly consult your local distributors for specific delivery time.
-
用途:For Research Use Only. Not for use in diagnostic or therapeutic procedures.
相關產品
靶點詳情
-
功能:May be involved in endothelial cell morphology changes during cell spreading. In the retinal pigment epithelium, may regulate the biogenesis of melanosomes and promote their association with the apical cell surface by inducing gamma-tubulin redistribution.
-
基因功能參考文獻:
- We identified three new CRC risk loci at 6p21 (rs1321311, near CDKN1A; P = 1.14 x 10(-10)), 11q13.4 (rs3824999, intronic to POLD3; P = 3.65 x 10(-10)) and Xp22.2 (rs5934683, near SHROOM2; P = 7.30 x 10(-10)). PMID: 22634755
- Data suggest that Shroom2 facilitates the formation of a contractile network within endothelial cells, the loss of which leads to an increase in endothelial sprouting, migration, and angiogenesis. PMID: 21248203
-
亞細胞定位:Apical cell membrane. Cell junction, tight junction. Cytoplasm, cytoskeleton.
-
蛋白家族:Shroom family
-
組織特異性:Abundant in retina and melanoma; also in brain, placenta, lung, kidney and pancreas.
-
數據庫鏈接:
Most popular with customers
-
-
YWHAB Recombinant Monoclonal Antibody
Applications: ELISA, WB, IHC, IF, FC
Species Reactivity: Human, Mouse, Rat
-
Phospho-YAP1 (S127) Recombinant Monoclonal Antibody
Applications: ELISA, WB, IHC
Species Reactivity: Human
-
-
-
-
-















