SHMT1 Antibody
-
中文名稱:SHMT1兔多克隆抗體
-
貨號:CSB-PA021272ESR2HU
-
規格:¥440
-
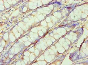
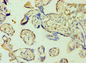
圖片:
-
其他:
產品詳情
-
產品名稱:Rabbit anti-Homo sapiens (Human) SHMT1 Polyclonal antibody
-
Uniprot No.:
-
基因名:
-
別名:CSHMT antibody; Cytoplasmic serine hydroxymethyltransferase antibody; cytosolic antibody; GLYC_HUMAN antibody; Glycine hydroxymethyltransferase antibody; Serine hydroxymethyltransferase 1 (soluble) antibody; Serine hydroxymethyltransferase antibody; Serine hydroxymethyltransferase; cytosolic antibody; Serine methylase antibody; SHMT antibody; Shmt1 antibody
-
宿主:Rabbit
-
反應種屬:Human
-
免疫原:Recombinant Human Serine hydroxymethyltransferase, cytosolic protein (324-483AA)
-
免疫原種屬:Homo sapiens (Human)
-
標記方式:Non-conjugated
-
克隆類型:Polyclonal
-
抗體亞型:IgG
-
純化方式:Antigen Affinity Purified
-
濃度:It differs from different batches. Please contact us to confirm it.
-
保存緩沖液:PBS with 0.02% sodium azide, 50% glycerol, pH7.3.
-
產品提供形式:Liquid
-
應用范圍:ELISA, IHC
-
推薦稀釋比:
Application Recommended Dilution IHC 1:20-1:200 -
Protocols:
-
儲存條件:Upon receipt, store at -20°C or -80°C. Avoid repeated freeze.
-
貨期:Basically, we can dispatch the products out in 1-3 working days after receiving your orders. Delivery time maybe differs from different purchasing way or location, please kindly consult your local distributors for specific delivery time.
-
用途:For Research Use Only. Not for use in diagnostic or therapeutic procedures.
相關產品
靶點詳情
-
功能:Interconversion of serine and glycine.
-
基因功能參考文獻:
- regulatory role of SHMT1 in vascular calcification during conditions of hyperphosphatemia such as chronic kidney disease PMID: 30071536
- Methylene tetrahydrofolate reductase (MTHFR) C677T, 5-methyltetrahydrofolate homocysteine methyltransferase (MTR) A2756G and 5- methyltetrahydrofolate homocysteine methyltransferase reductase (MTRR) A66G were shown to be positively associatiated with homocysteine, while nonvegetarian diet, serine hydroxymethyltransferase 1 (SHMT1) C1420T and TYMS 5'-UTR 28 bp tandem repeat exhibited negative association with homocysteine. PMID: 29321350
- The one-carbon donor formate generally rescues cells from SHMT inhibition, but paradoxically increases the inhibitor's cytotoxicity in diffuse large B-cell lymphoma (DLBCL); this effect is rooted in defective glycine uptake in DLBCL cell lines, rendering them uniquely dependent upon SHMT enzymatic activity to meet glycine demand. PMID: 29073064
- The present study, using both case-control and family-based triad approach is the first report to demonstrate parental association of SHMT1 C1420T variant in conferring NTD risk in the fetus. PMID: 28762673
- SHMT1 controls the expression of pro-oncogenic inflammatory cytokines by regulating sialic acid Neu5Ac to promote ovarian cancer tumor growth and migration. PMID: 28288142
- Human and Plasmodium serine hydroxymethyltransferases differ in rate-limiting steps and pH-dependent substrate inhibition behavior PMID: 28760597
- Site-directed mutagenesis experiments on SHMT1 demonstrate that selective enzyme inhibition relies on the presence of a cysteine residue at the active site of SHMT1 (Cys204) that is absent in SHMT2. PMID: 27530298
- SHMT1 C1420T polymorphism contributes to the risk of non-Hodgkin. PMID: 26666829
- we identified SHMT1 as a target gene of miR-198. In conclusion, miR-198 suppressed proliferation of lung adenocarcinoma cells both in vitro and in vivo by directly targeting SHMT1. PMID: 26553359
- Rs9901160, rs2273027 as well as rs1979277 polymorphism significantly increased the risk of childhood acute lymphoblastic leukemia. PMID: 26950450
- an association between MTRR 66 and SHMT1 1420 polymorphisms and spaceflight-induced vision changes PMID: 26316272
- our meta-analysis suggested that the SHMT1 C1420T polymorphism was associated with decreased risk of breast cancer. PMID: 26125758
- SHMT1 knockdown in lung cancer cells leads to cell cycle arrest and to p53-dependent apoptosis. PMID: 25412303
- In this meta-analysis, SHMT1 C1420T polymorphism did not have a significant association with the risk of cancer overall. PMID: 25194438
- SHMT1 exists in solution as a tetramer, both in the absence and presence of PLP, while SHMT2 undergoes a dimer-to-tetramer transition. PMID: 25619277
- found evidence for association of SHMT1 C1420T polymorphism with significantly reduced risk of breast cancer in Asians PMID: 24789272
- SHMT1 C1420T polymorphism is not associated with overall cancer development. PMID: 24716966
- serine hydroxymethyltransfarase C1420T reduces risk for both acute lymphoblastic leukemia and acute myeloid leukemia and influences disease progression in acute lymphoblastic leukemia PMID: 24641398
- SHMT1 C1420T and DNMT3B C46359T polymorphisms are not associated with HNC development in Brazilian population, however, SHMT1 C1420T polymorphism is less frequent in patients with primary site of tumor in larynx PMID: 24362509
- geography-specific effects of the SHMT1 polymorphism that render Europeans susceptible to colorectal caner, but not Americans. PMID: 23322534
- The link between mitochondrial serine hydroxymethyltransferase activity and heme biosynthesis represents an important aspect of the whole picture of cancer cell metabolism. PMID: 23474074
- There is an association between DHFR DD/SHMT TT and DHFR II/SHMT TT combined genotypes and folate and MMA concentrations in individuals with Down syndrome. PMID: 23421317
- No statistically significant association with prostate cancer was detected for the polymorphic locus C1420T of SHMT1 gene. PMID: 22803112
- The univariate and multivariate analyses demonstrated that the SHMT1 1420T allele was associated with better response (P=0.025) and longer progression-free survival (PFS) (P=0.00004) and overall survival (OS) PMID: 22044939
- The present study not only describes individual genetic variation that directly affects SHMT1 and SHMT2 activity, but provided insight into the overall regulation of the Folate and Methionine Cycles. PMID: 22220685
- A protective role for the genotypes SHMT-1420 CC and CT on maternal risk for Down syndrome. PMID: 21687976
- MTRR A66G and cSHMT C1420T polymorphisms influence CpG island methylator phenotype of BNIP3, thus epigenetically regulating BNIP3 in breast cancer PMID: 21987236
- SUMO and ubiquitin modification of SHMT1 occurs on the same lysine residue and determine the localization and accumulation of SHMT1 in the nucleus. PMID: 22194612
- SHMT1 1420 and MTHFR 677 polymorphisms are associated only with development of rectal and not colon cancer PMID: 20920350
- there was an interaction between SHMT1 and MTHFR such that the association of the MTHFR rs1801133 CT genotype with an increased CVD risk was stronger in the presence of SHMT1 rs1979277 TT genotype. PMID: 21178087
- SHMT1 levels are found to be higher in schizophrenic brains compared to controls. PMID: 20977478
- Polymorphic variants of folate metabolizing genes (C677T and A1298C MTHFR, C1420T SHMT1 and G1958A MTHFD) are not associated with the risk of breast cancer in West Siberian Region of Russia PMID: 21090237
- No evidence for an association between the cSHMT genotype and breast cancer was observed. There was also no evidence of a gene-gene interaction between cSHMT and MTHFR. PMID: 19707223
- These results indicate that cSHMT is a metabolic switch that, when activated, gives dTMP synthesis higher metabolic priority than S-adenosylmethionine synthesis. PMID: 12161434
- Associations between polymorphisms in the thymidylate synthase and SHMT1 genes and susceptibility to malignant lymphoma. PMID: 12604405
- The region missing in the shorter isoform is relatively short and is located on the cell surface. PMID: 12615003
- SHMT1 is a zinc-inducible gene, which provides the first mechanism for the regulation of folate-mediated one-carbon metabolism by zinc PMID: 15531579
- The low activity of SHMT in the human and rat placenta suggests that, unlike in the sheep, placental conversion of serine to glycine is not a major source of fetal glycine in these species. PMID: 15598699
- increased expression of truncated cSHMT, Tbx3 and utrophin in plasma samples obtained from patients at early stages of ovarian cancer and breast cancer PMID: 16049973
- Possibility of a direct or indirect role for the SHMT1(1420)T variant in spontaneous preterm or SGA births. PMID: 17074544
- study demonstrates an association of the MTHFR C677T and SHMT(1) C1420T polymorphism with the risk of esophageal squamous cell carcinoma and gastric cardia adenocarcinoma PMID: 17206530
- Subjects carrying the combined 3+ risk variant genotypes of SHMT1 had an increased risk of lung cancer. PMID: 17420066
- Results describe the mechanism for the preferential partitioning of cytoplasmic serine hydroxymethyltransferase (cSHMT)-derived methylenetetrahydrofolate to de novo thymidylate biosynthesis PMID: 17446168
- vitamin B(6) restriction decreases the activity and stability of SHMT PMID: 17482557
- our study provides support to account for the preferential role of cytosolic serine hydroxymethyltransferase polymorphism to lower risk of female breast cancer PMID: 17896178
- For cSHMT 1420 CC genotype, particulates <2.5 were associated with significant decreases in normal-to-normal std deviation & heart rate, but not for CT/TT. For PM2.5 level. Interaction with C1420T cSHMT genotype was statistically significant for both. PMID: 18378616
- SHMT1 and SHMT2 are functionally redundant in nuclear de novo thymidylate biosynthesis PMID: 19513116
- Interactions between the 5'-UTR and 3'-UTR achieve maximal internal ribosome entry site-mediated translation of SHMT1. PMID: 19734143
- No asssociation between SHMT1 single nucleotide polymorphism 1420C > T and both, follicular lymphoma and diffuse, large B-Cell lymphoma was observed in a cohort of swedish patients. PMID: 19751277
- Polymorphisms in methionine synthase, methionine synthase reductase and serine hydroxymethyltransferase, folate and alcohol intake, and colon cancer risk. PMID: 19776626
顯示更多
收起更多
-
亞細胞定位:Cytoplasm.
-
蛋白家族:SHMT family
-
數據庫鏈接:
Most popular with customers
-
YWHAB Recombinant Monoclonal Antibody
Applications: ELISA, WB, IHC, IF, FC
Species Reactivity: Human, Mouse, Rat
-
Phospho-YAP1 (S127) Recombinant Monoclonal Antibody
Applications: ELISA, WB, IHC
Species Reactivity: Human
-
-
-
-
-
-















