SH2D3A Antibody
-
中文名稱:SH2D3A兔多克隆抗體
-
貨號:CSB-PA880088OA01HU
-
規格:¥440
-
圖片:
-
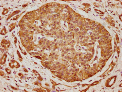
IHC image of CSB-PA880088OA01HU diluted at 1:300 and staining in paraffin-embedded human pancreatic cancer performed on a Leica BondTM system. After dewaxing and hydration, antigen retrieval was mediated by high pressure in a citrate buffer (pH 6.0). Section was blocked with 10% normal goat serum 30min at RT. Then primary antibody (1% BSA) was incubated at 4°C overnight. The primary is detected by a biotinylated secondary antibody and visualized using an HRP conjugated SP system.
-
-
其他:
產品詳情
-
產品名稱:Rabbit anti-Homo sapiens (Human) SH2D3A Polyclonal antibody
-
Uniprot No.:
-
基因名:SH2D3A
-
別名:Novel SH2 containing protein 1 antibody; Novel SH2-containing protein 1 antibody; NSP1 antibody; SH2 domain containing 3A antibody; SH2 domain containing protein 3A antibody; SH2 domain-containing protein 3A antibody; SH23A_HUMAN antibody; SH2D3A antibody
-
宿主:Rabbit
-
反應種屬:Human
-
免疫原:Peptide sequence from Human SH2 domain-containing protein 3A protein (211-231AA)
-
免疫原種屬:Homo sapiens (Human)
-
標記方式:Non-conjugated
本頁面中的產品,SH2D3A Antibody (CSB-PA880088OA01HU),的標記方式是Non-conjugated。對于SH2D3A Antibody,我們還提供其他標記。見下表:
-
克隆類型:Polyclonal
-
抗體亞型:IgG
-
純化方式:>95%, Protein G purified
-
濃度:It differs from different batches. Please contact us to confirm it.
-
保存緩沖液:Preservative: 0.03% Proclin 300
Constituents: 50% Glycerol, 0.01M PBS, pH 7.4 -
產品提供形式:Liquid
-
應用范圍:ELISA, IHC
-
推薦稀釋比:
Application Recommended Dilution IHC 1:200-1:500 -
Protocols:
-
儲存條件:Upon receipt, store at -20°C or -80°C. Avoid repeated freeze.
-
貨期:Basically, we can dispatch the products out in 1-3 working days after receiving your orders. Delivery time maybe differs from different purchasing way or location, please kindly consult your local distributors for specific delivery time.
-
用途:For Research Use Only. Not for use in diagnostic or therapeutic procedures.
相關產品
靶點詳情
-
功能:May play a role in JNK activation.
-
基因功能參考文獻:
- NSP1 and BCAR3 are more highly expressed than SH2D3C (SHEP1) in breast cancer cells, and the expression patterns suggest differential roles for the three genes during breast cancer progression. PMID: 17270363
- NSP1 overexpression did not induce anti-estrogen resistance in breast tumor cell lines. PMID: 17427198
-
組織特異性:Weakly expressed in placenta, fetal kidney, fetal lung, adult pancreas, adult kidney and adult lung.
-
數據庫鏈接:
Most popular with customers
-
-
YWHAB Recombinant Monoclonal Antibody
Applications: ELISA, WB, IHC, IF, FC
Species Reactivity: Human, Mouse, Rat
-
Phospho-YAP1 (S127) Recombinant Monoclonal Antibody
Applications: ELISA, WB, IHC
Species Reactivity: Human
-
-
-
-
-















