SH2B2 Antibody
-
中文名稱:SH2B2兔多克隆抗體
-
貨號:CSB-PA203041
-
規格:¥1100
-
圖片:
-
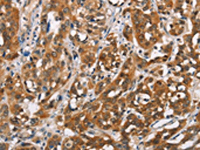
The image on the left is immunohistochemistry of paraffin-embedded Human breast cancer tissue using CSB-PA203041(SH2B2 Antibody) at dilution 1/30, on the right is treated with synthetic peptide. (Original magnification: ×200)
-
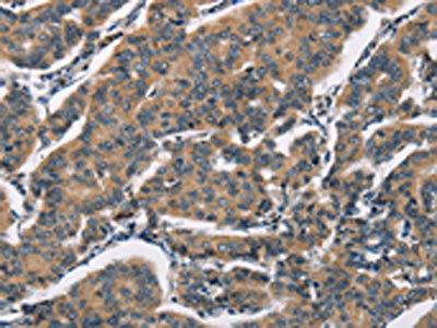
The image on the left is immunohistochemistry of paraffin-embedded Human esophagus cancer tissue using CSB-PA203041(SH2B2 Antibody) at dilution 1/30, on the right is treated with synthetic peptide. (Original magnification: ×200)
-
-
其他:
產品詳情
-
Uniprot No.:
-
基因名:
-
別名:SH2B2 antibody; APS antibody; SH2B adapter protein 2 antibody; Adapter protein with pleckstrin homology and Src homology 2 domains antibody; SH2 and PH domain-containing adapter protein APS antibody
-
宿主:Rabbit
-
反應種屬:Human,Rat
-
免疫原:Synthetic peptide of Human SH2B2
-
免疫原種屬:Homo sapiens (Human)
-
標記方式:Non-conjugated
-
抗體亞型:IgG
-
純化方式:Antigen affinity purification
-
濃度:It differs from different batches. Please contact us to confirm it.
-
保存緩沖液:-20°C, pH7.4 PBS, 0.05% NaN3, 40% Glycerol
-
產品提供形式:Liquid
-
應用范圍:ELISA,IHC
-
推薦稀釋比:
Application Recommended Dilution ELISA 1:1000-1:2000 IHC 1:25-1:100 -
Protocols:
-
儲存條件:Upon receipt, store at -20°C or -80°C. Avoid repeated freeze.
-
貨期:Basically, we can dispatch the products out in 1-3 working days after receiving your orders. Delivery time maybe differs from different purchasing way or location, please kindly consult your local distributors for specific delivery time.
-
用途:For Research Use Only. Not for use in diagnostic or therapeutic procedures.
相關產品
靶點詳情
-
功能:Adapter protein for several members of the tyrosine kinase receptor family. Involved in multiple signaling pathways. May be involved in coupling from immunoreceptor to Ras signaling. Acts as a negative regulator of cytokine signaling in collaboration with CBL. Binds to EPOR and suppresses EPO-induced STAT5 activation, possibly through a masking effect on STAT5 docking sites in EPOR. Suppresses PDGF-induced mitogenesis. May induce cytoskeletal reorganization via interaction with VAV3.
-
基因功能參考文獻:
- Studies indicate that insulin receptor (IR) and IGF Type 1 Receptor (IGFR) have been identified as important partners of Grb10/14 and SH2B1/B2 adaptors. PMID: 23190452
- N-terminal residues distal to the phosphotyrosine directly contact residues of the four-helix bundle of the TKB domain of the adapter protein APS PMID: 15737992
-
亞細胞定位:Cytoplasm. Cell membrane. Note=Cytoplasmic before PDGF stimulation. After PDGF stimulation, localized at the cell membrane and peripheral region.
-
蛋白家族:SH2B adapter family
-
組織特異性:Expressed in spleen, prostate, testis, uterus, small intestine and skeletal muscle. Among hematopoietic cell lines, expressed exclusively in B-cells. Not expressed in most tumor cell lines.
-
數據庫鏈接:
Most popular with customers
-
-
YWHAB Recombinant Monoclonal Antibody
Applications: ELISA, WB, IHC, IF, FC
Species Reactivity: Human, Mouse, Rat
-
Phospho-YAP1 (S127) Recombinant Monoclonal Antibody
Applications: ELISA, WB, IHC
Species Reactivity: Human
-
-
-
-
-















