SGCB Antibody
-
中文名稱:SGCB兔多克隆抗體
-
貨號:CSB-PA618082LA01HU
-
規格:¥440
-
圖片:
-
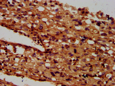
IHC image of CSB-PA618082LA01HU diluted at 1:600 and staining in paraffin-embedded human melanoma performed on a Leica BondTM system. After dewaxing and hydration, antigen retrieval was mediated by high pressure in a citrate buffer (pH 6.0). Section was blocked with 10% normal goat serum 30min at RT. Then primary antibody (1% BSA) was incubated at 4°C overnight. The primary is detected by a biotinylated secondary antibody and visualized using an HRP conjugated SP system.
-
Immunofluorescence staining of Hela cells with CSB-PA618082LA01HU at 1:200, counter-stained with DAPI. The cells were fixed in 4% formaldehyde, permeabilized using 0.2% Triton X-100 and blocked in 10% normal Goat Serum. The cells were then incubated with the antibody overnight at 4°C. The secondary antibody was Alexa Fluor 488-congugated AffiniPure Goat Anti-Rabbit IgG(H+L).
-
-
其他:
產品詳情
-
產品名稱:Rabbit anti-Homo sapiens (Human) SGCB Polyclonal antibody
-
Uniprot No.:
-
基因名:SGCB
-
別名:43 kDa dystrophin associated glycoprotein antibody; 43 kDa dystrophin-associated glycoprotein antibody; 43DAG antibody; A3b antibody; Beta SG antibody; Beta-sarcoglycan antibody; Beta-SG antibody; dystrophin-associated glycoprotein, 43-kD antibody; LGMD2E antibody; Limb girdle muscular dystrophy 2E (non linked families) antibody; Sarcoglycan beta antibody; sarcoglycan, beta (43kDa dystrophin-associated glycoprotein) antibody; SGC antibody; SGCB antibody; SGCB_HUMAN antibody
-
宿主:Rabbit
-
反應種屬:Human
-
免疫原:Recombinant Human Beta-sarcoglycan protein (124-219AA)
-
免疫原種屬:Homo sapiens (Human)
-
標記方式:Non-conjugated
本頁面中的產品,SGCB Antibody (CSB-PA618082LA01HU),的標記方式是Non-conjugated。對于SGCB Antibody,我們還提供其他標記。見下表:
-
克隆類型:Polyclonal
-
抗體亞型:IgG
-
純化方式:>95%, Protein G purified
-
濃度:It differs from different batches. Please contact us to confirm it.
-
保存緩沖液:Preservative: 0.03% Proclin 300
Constituents: 50% Glycerol, 0.01M PBS, pH 7.4 -
產品提供形式:Liquid
-
應用范圍:ELISA, IHC, IF
-
推薦稀釋比:
Application Recommended Dilution IHC 1:500-1:1000 IF 1:200-1:500 -
Protocols:
-
儲存條件:Upon receipt, store at -20°C or -80°C. Avoid repeated freeze.
-
貨期:Basically, we can dispatch the products out in 1-3 working days after receiving your orders. Delivery time maybe differs from different purchasing way or location, please kindly consult your local distributors for specific delivery time.
-
用途:For Research Use Only. Not for use in diagnostic or therapeutic procedures.
相關產品
靶點詳情
-
功能:Component of the sarcoglycan complex, a subcomplex of the dystrophin-glycoprotein complex which forms a link between the F-actin cytoskeleton and the extracellular matrix.
-
基因功能參考文獻:
- This study demonstrated that LGMD2E is the most common type of sarcoglycanopathies in the Iranian population. PMID: 28687063
- Clinical severity of limb-girdle muscular dystrophy type 2Emay be predicted by SGCB gene mutation and sarcoglycan protein expression. PMID: 25862795
- Defective assembly of sarcoglycan complex in patients with beta-sarcoglycan gene mutations PMID: 12060343
- beta-sarcoglycan and SPATA18 may have a role in limb-girdle muscular dystrophy type 2E PMID: 16088906
- While the quantity of beta-sarcoglycan was nearly normal in the limb girdle muscular dystrophy (LGMD)2E carrier, the levels of dysferlin protein were reduced to 50% of controls in the carriers of LGMD2B. PMID: 16934466
- These data suggest that formation of the beta-delta-core may promote the export and deposition of sarcoglycan subcomplexes at the plasma membrane, and therefore identifies a mechanism for sarcoglycan transport. PMID: 17036316
- The limb-girdle muscular dystrophy patients with beta-sarcoglycan deficient LGMD2E do not enable an accurate prediction of the genotype. PMID: 18996010
顯示更多
收起更多
-
相關疾病:Limb-girdle muscular dystrophy 2E (LGMD2E)
-
亞細胞定位:Cell membrane, sarcolemma; Single-pass type II membrane protein. Cytoplasm, cytoskeleton.
-
蛋白家族:Sarcoglycan beta/delta/gamma/zeta family
-
組織特異性:Highest expression in heart and skeletal muscle. Low expression in brain, kidney, placenta, pancreas and lung. High expression in fetal brain. Also found in fetal lung, kidney and liver.
-
數據庫鏈接:
Most popular with customers
-
-
Phospho-YAP1 (S127) Recombinant Monoclonal Antibody
Applications: ELISA, WB, IHC
Species Reactivity: Human
-
-
-
-
-
-















