SFXN4 Antibody
-
中文名稱:SFXN4兔多克隆抗體
-
貨號:CSB-PA744046LA01HU
-
規格:¥440
-
圖片:
-
Western blot
All lanes: SFXN4 antibody at 0.3µg/ml
Lane 1: K562 whole cell lysate
Lane 2: U251 whole cell lysate
Lane 3: U87 whole cell lysate
Lane 4: A549 whole cell lysate
Secondary
Goat polyclonal to rabbit IgG at 1/10000 dilution
Predicted band size: 38, 35, 25 kDa
Observed band size: 38 kDa -
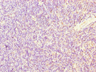
Immunohistochemistry of paraffin-embedded human skeletal muscle tissue using CSB-PA744046LA01HU at dilution of 1:100
-
Immunohistochemistry of paraffin-embedded human thymus tissue using CSB-PA744046LA01HU at dilution of 1:100
-
Immunofluorescent analysis of U251 cells using CSB-PA744046LA01HU at dilution of 1:100 and Alexa Fluor 488-congugated AffiniPure Goat Anti-Rabbit IgG(H+L)
-
-
其他:
產品詳情
-
產品描述:SFXN4 polyclonal antibody CSB-PA744046LA01HU was produced in rabbit immunized by using the Recombinant Human Sideroflexin-4 protein (2-110AA) as the immunogen. The target protein SFXN4 a member of the sideroflexin family, is a transmembrane protein of the inner mitochondrial membrane, and is required for mitochondrial respiratory homeostasis and erythropoiesis. It is not able to mediate transport of serine into mitochondria. Diseases associated with SFXN4 include Combined Oxidative Phosphorylation Deficiency 18 and Macrocytic Anemia.
This Rabbit anti-Homo sapiens (Human) SFXN4 Polyclonal antibody was tested in the ELISA, IHC, IF and WB applications. The non-conjugated IgG was purified by antigen affinity. It only reacts with the SFXN4 proteins of human origin and may be used to detect the endogenous levels of SFXN4 protein. -
產品名稱:Rabbit anti-Homo sapiens (Human) SFXN4 Polyclonal antibody
-
Uniprot No.:
-
基因名:SFXN4
-
別名:SFXN4; BCRM1; Sideroflexin-4; Breast cancer resistance marker 1
-
宿主:Rabbit
-
反應種屬:Human
-
免疫原:Recombinant Human Sideroflexin-4 protein (2-110AA)
-
免疫原種屬:Homo sapiens (Human)
-
標記方式:Non-conjugated
本頁面中的產品,SFXN4 Antibody (CSB-PA744046LA01HU),的標記方式是Non-conjugated。對于SFXN4 Antibody,我們還提供其他標記。見下表:
-
克隆類型:Polyclonal
-
抗體亞型:IgG
-
純化方式:Antigen Affinity Purified
-
濃度:It differs from different batches. Please contact us to confirm it.
-
保存緩沖液:Preservative: 0.03% Proclin 300
Constituents: 50% Glycerol, 0.01M PBS, PH 7.4 -
產品提供形式:Liquid
-
應用范圍:ELISA, WB, IHC, IF
-
推薦稀釋比:
Application Recommended Dilution WB 1:500-1:2000 IHC 1:20-1:200 IF 1:50-1:200 -
Protocols:
-
儲存條件:Upon receipt, store at -20°C or -80°C. Avoid repeated freeze.
-
貨期:Basically, we can dispatch the products out in 1-3 working days after receiving your orders. Delivery time maybe differs from different purchasing way or location, please kindly consult your local distributors for specific delivery time.
-
用途:For Research Use Only. Not for use in diagnostic or therapeutic procedures.
相關產品
靶點詳情
-
功能:Mitochondrial amino-acid transporter. Does not act as a serine transporter: not able to mediate transport of serine into mitochondria.
-
基因功能參考文獻:
- Our findings establish mutations in SFXN4 as a cause of mitochondriopathy and macrocytic anemia. PMID: 24119684
- we isolated a cDNA encoding a novel sideroflexin protein (SFXN4), which showed 59% identity and 71% similarity to mouse sideroflexin4. PMID: 14756423
-
相關疾病:Combined oxidative phosphorylation deficiency 18 (COXPD18)
-
亞細胞定位:Mitochondrion inner membrane; Multi-pass membrane protein.
-
蛋白家族:Sideroflexin family
-
數據庫鏈接:
Most popular with customers
-
-
YWHAB Recombinant Monoclonal Antibody
Applications: ELISA, WB, IHC, IF, FC
Species Reactivity: Human, Mouse, Rat
-
Phospho-YAP1 (S127) Recombinant Monoclonal Antibody
Applications: ELISA, WB, IHC
Species Reactivity: Human
-
-
-
-
-















