SFTPA1 Antibody
-
中文名稱:SFTPA1兔多克隆抗體
-
貨號:CSB-PA213445
-
規格:¥1100
-
圖片:
-
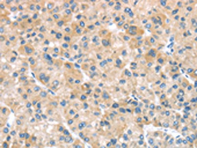
The image on the left is immunohistochemistry of paraffin-embedded Human liver cancer tissue using CSB-PA213445(SFTPA1 Antibody) at dilution 1/40, on the right is treated with fusion protein. (Original magnification: ×200)
-
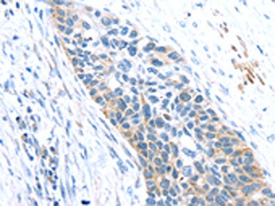
The image on the left is immunohistochemistry of paraffin-embedded Human esophagus cancer tissue using CSB-PA213445(SFTPA1 Antibody) at dilution 1/40, on the right is treated with fusion protein. (Original magnification: ×200)
-
-
其他:
產品詳情
-
Uniprot No.:
-
基因名:SFTPA1
-
別名:SFTPA1; COLEC4; PSAP; SFTP1; SFTPA; SFTPA1B; Pulmonary surfactant-associated protein A1; PSP-A; PSPA; SP-A; SP-A1; 35 kDa pulmonary surfactant-associated protein; Alveolar proteinosis protein; Collectin-4
-
宿主:Rabbit
-
反應種屬:Human
-
免疫原:Full length fusion protein
-
免疫原種屬:Homo sapiens (Human)
-
標記方式:Non-conjugated
-
抗體亞型:IgG
-
純化方式:Antigen affinity purification
-
濃度:It differs from different batches. Please contact us to confirm it.
-
保存緩沖液:-20°C, pH7.4 PBS, 0.05% NaN3, 40% Glycerol
-
產品提供形式:Liquid
-
應用范圍:ELISA,IHC
-
推薦稀釋比:
Application Recommended Dilution ELISA 1:2000-1:5000 IHC 1:25-1:100 -
Protocols:
-
儲存條件:Upon receipt, store at -20°C or -80°C. Avoid repeated freeze.
-
貨期:Basically, we can dispatch the products out in 1-3 working days after receiving your orders. Delivery time maybe differs from different purchasing way or location, please kindly consult your local distributors for specific delivery time.
-
用途:For Research Use Only. Not for use in diagnostic or therapeutic procedures.
相關產品
靶點詳情
-
功能:In presence of calcium ions, it binds to surfactant phospholipids and contributes to lower the surface tension at the air-liquid interface in the alveoli of the mammalian lung and is essential for normal respiration. Enhances the expression of MYO18A/SP-R210 on alveolar macrophages.; (Microbial infection) Recognition of M.tuberculosis by dendritic cells may occur partially via this molecule. Can recognize, bind, and opsonize pathogens to enhance their elimination by alveolar macrophages.
-
基因功能參考文獻:
- This study is suggestive that the PCR (polymerase chain reaction) for the detection of coa, mecA, and spa gene is a fast, accurate, and valuable diagnostic tool. PMID: 30074012
- TGF beta markedly decreased expression of SP-A, SP-B, SP-C, fatty acid synthase, and the phospholipid transporter ABCA3. However, TGF beta increased protein levels of SP-D with little change in mRNA levels. PMID: 29621540
- this study shows that concentrations of SP-A are associated with polarization of macrophages in pleural effusions of non-small cell lung cancer PMID: 29111316
- the SPA and SPD levels in EBC were correlated with lung function, which contributed to COPD diagnosis. PMID: 28791362
- Data (including data from studies using transgenic/knockout mice) suggest that surfactant protein A1 (SPA1) interferes with EGF binding to EGFR in pulmonary alveoli cell lines; SPA1 directly binds extracellular domain of EGFR; binding of SPA1 to EGFR appears to be different from binding of SPD to EGFR; binding of SPA1 to EGFR does not suppress EGF-induced phosphorylation of EGFR or cell proliferation. PMID: 28972165
- This review intends to provide a current overview of the genetics, structure and extra-pulmonary functions of the surfactant collectin proteins. PMID: 28351530
- The SFTPA1 haplotype comprising rs17881720-A and rs17879335-G was a resistance factor while the haplotype comprising rs1914663-T and rs1059225-G was found to be a susceptibility factor to tuberculosis in Han Chinese population. PMID: 27012150
- SP-A transiently enhances the basal protein expression of CHC and alpha-adaptin. PMID: 26771574
- the presence of SP-A1 allows pulmonary surfactant to adopt a particularly favorable structure with optimal biophysical properties PMID: 27508436
- SP-A1 6A4 and SP-A2 1A5 genetic variants may influence the susceptibility to respiratory distress syndrome in late-preterm infants, independently of the effect of other perinatal factors. PMID: 27835691
- Direct interaction between SP-A or SAP01 and human BD-3 seemed to be responsible for the inhibitory effects on chemotaxis of mast cells. PMID: 28188794
- SP-A (+186A/G) and SP-B (1580C/T) polymorphisms are strongly associated with the risk of respiratory distress syndrome (RDS) in preterm infants. Notably, reduced serum SP-A levels were correlated with a high risk of RDS and may serve as novel biomarkers for RDS detection and monitoring. PMID: 28011976
- Surfactant protein A levels differed among idiopathic pulmonary fibrosis, pulmonary sarcoidosis and chronic pulmonary obstructive disease. PMID: 27758987
- Differences were found regarding SPA and pro-SPB expression in the vast majority of subjects: in some lungs, SPA was more expressed whereas in others pro-SPB showed an higher degree of immunoreactivity. The expression of both surfactant proteins was not strictly correlated with gestational age. PMID: 27734990
- Study identifies SFTPA1 as a gene involved in familial idiopathic interstitial pneumonia and shows that altered SP-A1 expression is associated with a large spectrum of phenotypic pulmonary manifestations ranging from severe respiratory insufficiency occurring early in life to lung fibrosis and cancer in adult patients. PMID: 26792177
- These results suggested that the measurement of SPA levels in the exhaled breath condensate may serve as a method for monitoring airway obstruction in patients with chronic obstructive pulmonary disease. PMID: 26707652
- Human and murine data together indicate that SP-A, SP-D and MBL are synthesized in early gestational tissues, and may contribute to regulation of immune response at the feto-maternal interface during pregnancy. PMID: 26603976
- SP-A in exhaled particles from small airways may represent a promising non-invasive biomarker of disease in chronic obstructive pulmonary disease patients. PMID: 26656890
- In this study, the loci and haplotypes associated with pulmonary tuberculosis (PTB)were found mostly to be located in the SFTPA2 gene, suggesting that the effects of the SFTPA2 gene on PTB are stronger than those of SFTPA1. PMID: 24984162
- Data suggest that that surfactant protein A(SP-A) levels may be important to maintain surfactant function in the presence of high cholesterol within surfactant. PMID: 25522687
- SP-A modulates lung immune system in the area of non-infectious lung diseases such as acute and chronic pulmonary fibrosis and lung cancer. PMID: 24705741
- 12 of which predicted to bind SP-A 3'UTRs. PMID: 25058539
- This study shows that changes occur in the alveolar macrophage proteome in response to a single in vivo treatment with exogenous SP-A1 and/or SP-A2. PMID: 24954098
- SP-A1 transcripts, which in turn negatively affect SP-A1 translation, possibly affecting SP-A1/SP-A2 ratio, with potential for clinical implication. PMID: 25326576
- In this review, we highlight the associations of eosinophilic lung diseases with SP-A and SP-D levels and functions. PMID: 24960334
- sequence variability at the 3'UTR of SFTPA1 and SFTPA2 gene variants differentially affects miRNA regulation of gene expression. PMID: 24793167
- Results show that cloned surfactant-associated protein A (SPA) gene promoter had specific transcriptional activity in SPA high expression cells. PMID: 24939295
- The result suggested that polymorphism of aa62 (CCA/CCG, rs1136451) of SP-A may be associated with the susceptibility to COPD in Xinjiang Uighurs. PMID: 22528218
- The current meta-analysis indicates that common polymorphisms in the SP-A gene may contribute to increasing susceptibility to COPD, especially among Asian populations. PMID: 24093802
- SP-A gene polymorphism is associated with kidney graft rejection. PMID: 24007361
- SP-A inhibited lung cancer progression by recruiting and activating natural killer cells via controlling the polarization of tumor-associated macrophages. PMID: 23499372
- The obtained results suggested that in vitro approach can be used to study pulmonary toxicity as long as the applied in vitro model mimics closely the complexity of in vivo situation. PMID: 22769972
- Cat S may participate in the pathophysiology of cystic fibrosis by weakening the antibacterial activity of SP-A. PMID: 23707200
- The aim of this report is to describe the genetic complexity of the SFTPA1 and SFTPA2 genes, as well as to review regulatory mechanisms that control SP-A expression in humans and other animal species.[review] PMID: 23069847
- elevated expression in nasal mucosa in chronic rhinosinusitis with polyps PMID: 23406594
- Surfactant Protein-A, like other host defense molecules in the reproductive tract, appears to be regulated by gonadal hormones. PMID: 22672628
- Surfactant protein A associated with respiratory distress syndrome in Korean preterm infants: evidence of ethnic difference. PMID: 23038062
- Lipoteichoic acid can increase SP-A synthesis in human alveolar type II epithelial cells through sequentially activating the MEK1-ERK1/2-NF-kappaB-dependent pathway PMID: 23031213
- Gln238Lys missense variant of exon 6 in the SFTPA1 may have potential susceptibility in the development of IPF, which was shown in patients with sporadic IPF with a statistically higher frequency. PMID: 22884059
- Surfactant protein-A suppresses eosinophil-mediated killing of Mycoplasma pneumoniae in allergic lungs PMID: 22384248
- review focuses on published association studies of surfactant proteins A and D genetic polymorphisms with respiratory, and non-respiratory diseases in adults, children, and newborns [review] PMID: 22201752
- SP-A protects lung epithelium from tissue injury caused by BD3 PMID: 22418431
- Surfactant protein A is defective in abrogating inflammation in asthma. PMID: 21784968
- genetic variants of the surfactant protein A1 confer a protective phenotype against severe acute respiratory syncytial infection PMID: 21601013
- Both nasal polyps and nasal mucosa expressed SP-A mRNA and protein, but the expression was stronger in nasal polyps. PMID: 20873544
- The expression of SP-A in allergic rhinitis and nasal polyps was dramatically higher than that in controls. PMID: 19894557
- findings suggest that Suv39H1 and Suv39H2 are key hypoxia-induced methyltransferases; their decline in fetal lung during late gestation is critical for epigenetic changes resulting in the developmental induction of SP-A PMID: 21402781
- Paucity of immunohistochemical SP-A expression in alveolar epithelial cells in diseased areas may predict a worse prognosis for patients with idiopathic interstitial pneumonias. PMID: 21435274
- High SPA-1 is associated with invasion and metastasis of prostate cancer. PMID: 21251160
- SP-A likely plays a critical role in regulating prostaglandin production within the uterus, culminating at term in decidual activation and the onset of labor. PMID: 21270323
顯示更多
收起更多
-
相關疾病:Pulmonary fibrosis, idiopathic (IPF); Respiratory distress syndrome in premature infants (RDS)
-
亞細胞定位:Secreted, extracellular space, extracellular matrix. Secreted, extracellular space, surface film.
-
蛋白家族:SFTPA family
-
數據庫鏈接:
Most popular with customers
-
-
YWHAB Recombinant Monoclonal Antibody
Applications: ELISA, WB, IHC, IF, FC
Species Reactivity: Human, Mouse, Rat
-
Phospho-YAP1 (S127) Recombinant Monoclonal Antibody
Applications: ELISA, WB, IHC
Species Reactivity: Human
-
-
-
-
-















