SESN3 Antibody
-
中文名稱:SESN3兔多克隆抗體
-
貨號:CSB-PA913151
-
規格:¥1100
-
圖片:
-
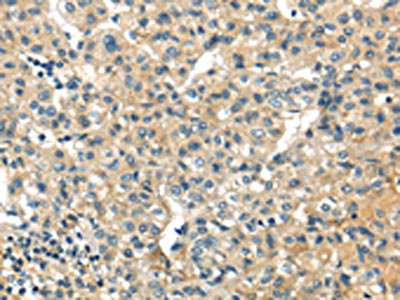
The image on the left is immunohistochemistry of paraffin-embedded Human liver cancer tissue using CSB-PA913151(SESN3 Antibody) at dilution 1/20, on the right is treated with fusion protein. (Original magnification: ×200)
-
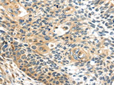
The image on the left is immunohistochemistry of paraffin-embedded Human esophagus cancer tissue using CSB-PA913151(SESN3 Antibody) at dilution 1/20, on the right is treated with fusion protein. (Original magnification: ×200)
-
-
其他:
產品詳情
-
Uniprot No.:
-
基因名:
-
別名:MGC29667 antibody; OTTHUMP00000236979 antibody; OTTHUMP00000236986 antibody; SESN3 antibody; SESN3_HUMAN antibody; SEST3 antibody; Sestrin 3 antibody; Sestrin-3 antibody
-
宿主:Rabbit
-
反應種屬:Human,Mouse
-
免疫原:Full length fusion protein
-
免疫原種屬:Homo sapiens (Human)
-
標記方式:Non-conjugated
-
抗體亞型:IgG
-
純化方式:Antigen affinity purification
-
濃度:It differs from different batches. Please contact us to confirm it.
-
保存緩沖液:-20°C, pH7.4 PBS, 0.05% NaN3, 40% Glycerol
-
產品提供形式:Liquid
-
應用范圍:ELISA,IHC
-
推薦稀釋比:
Application Recommended Dilution ELISA 1:2000-1:5000 IHC 1:25-1:100 -
Protocols:
-
儲存條件:Upon receipt, store at -20°C or -80°C. Avoid repeated freeze.
-
貨期:Basically, we can dispatch the products out in 1-3 working days after receiving your orders. Delivery time maybe differs from different purchasing way or location, please kindly consult your local distributors for specific delivery time.
-
用途:For Research Use Only. Not for use in diagnostic or therapeutic procedures.
相關產品
靶點詳情
-
功能:May function as an intracellular leucine sensor that negatively regulates the TORC1 signaling pathway. May also regulate the insulin-receptor signaling pathway through activation of TORC2. This metabolic regulator may also play a role in protection against oxidative and genotoxic stresses. May prevent the accumulation of reactive oxygen species (ROS) through the alkylhydroperoxide reductase activity born by the N-terminal domain of the protein.
-
基因功能參考文獻:
- in FOXO3-death-resistant cells no point mutations in the TP53-DBD were found-in these cells FOXO3-TP53 complexes are formed and FOXO3-binding to the BIM-promoter, but not the induction of the detoxifying protein SESN3, were prevented, which in turn increased chemo-protection in this type of high-stage-derived neuroblastoma (NB)cells PMID: 28869600
- Treatment with cucurbitacin B to sestrin-3 siRNA treated EGFR-mutant cells further amplified the decrease in cell-viability and caused more sustained G2-phase cell cycle arrest, suggesting that these effects are mediated partly through sestrin-3. PMID: 27881463
- study revealed high confidence set of BMos (integrated with DNase I hypersensitivity sites) in the upstream regulatory regions of SESN3 that could be bound by transcription factors from multiple families including FOXOs, SMADs, SOXs, TCFs and HNF4A. TF-TF network analysis established hubs of interaction that include SMAD3, TCF3, SMAD2, HDAC2, SOX2, TAL1 and TCF12 as well as the likely protein complexes formed between them PMID: 27466818
- SESN3 positively regulates the gene network module in macrophages, microglia and neurons. PMID: 25615886
- Suggest that inhibitory effect of ethanol on Sesn3 may play an important role in the development of ethanol-induced fatty liver. PMID: 24833709
- findings suggest the existence of a novel mechanism for the generation of antileukemic responses in CML cells, involving upregulation of SESN3 expression. PMID: 24260131
- Sestrin 3 is upregulated in T2D and could influence skeletal muscle differentiation without altering glucose and lipid metabolism. PMID: 24129397
- HSF1/SESN3/reactive oxygen species/p21(Cip1/WAF1)-mediated deceleration of cell growth may contribute to cell defense systems protecting the organism from excessive proliferation of cells that overexpress activated Ras oncoproteins. PMID: 23388456
- FoxOs inhibit mTORC1 and activate Akt by inducing the expression of Sestrin3 and Rictor PMID: 20412774
顯示更多
收起更多
-
亞細胞定位:Cytoplasm.
-
蛋白家族:Sestrin family
-
組織特異性:Widely expressed.
-
數據庫鏈接:
Most popular with customers
-
-
Phospho-YAP1 (S127) Recombinant Monoclonal Antibody
Applications: ELISA, WB, IHC
Species Reactivity: Human
-
-
-
-
-
-















