SERPINB5 Antibody
-
中文名稱:SERPINB5兔多克隆抗體
-
貨號:CSB-PA021073ESR1HU
-
規格:¥440
-
圖片:
-
Western blot
All lanes: Serpin B5 antibody at 10μg/ml
Lane 1: HepG2 whole cell lysate
Lane 2: Hela whole cell lysate
Lane 3: A431 whole cell lysate
Secondary
Goat polyclonal to rabbit IgG at 1/10000 dilution
Predicted band size: 43, 26 kDa
Observed band size: 43 kDa -
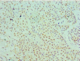
Immunohistochemistry of paraffin-embedded human breast cancer using CSB-PA021073ESR1HU at dilution of 1:100
-
-
其他:
產品詳情
-
產品名稱:Rabbit anti-Homo sapiens (Human) SERPINB5 Polyclonal antibody
-
Uniprot No.:
-
基因名:
-
別名:Maspin antibody; Ovalbumin antibody; Peptidase inhibitor 5 antibody; PI-5 antibody; PI5 antibody; protease inhibitor 5 (maspin) antibody; Protease inhibitor 5 antibody; Serine (or cysteine) peptidase inhibitor; clade B; member 5 antibody; serine (or cysteine) proteinase inhibitor; clade B (ovalbumin); member 5 antibody; Serpin B5 antibody; serpin family B member 5 antibody; Serpin peptidase inhibitor antibody; Serpin peptidase inhibitor; clade B (ovalbumin); member 5 antibody; Serpinb5 antibody; SPB5_HUMAN antibody; Spi5 antibody; Spi7 antibody
-
宿主:Rabbit
-
反應種屬:Human
-
免疫原:Recombinant Human Serpin B5 protein (21-189AA)
-
免疫原種屬:Homo sapiens (Human)
-
標記方式:Non-conjugated
-
克隆類型:Polyclonal
-
抗體亞型:IgG
-
純化方式:Antigen Affinity Purified
-
濃度:It differs from different batches. Please contact us to confirm it.
-
保存緩沖液:PBS with 0.02% sodium azide, 50% glycerol, pH7.3.
-
產品提供形式:Liquid
-
應用范圍:ELISA, WB, IHC
-
推薦稀釋比:
Application Recommended Dilution WB 1:500-1:2000 IHC 1:20-1:200 -
Protocols:
-
儲存條件:Upon receipt, store at -20°C or -80°C. Avoid repeated freeze.
-
貨期:Basically, we can dispatch the products out in 1-3 working days after receiving your orders. Delivery time maybe differs from different purchasing way or location, please kindly consult your local distributors for specific delivery time.
-
用途:For Research Use Only. Not for use in diagnostic or therapeutic procedures.
相關產品
靶點詳情
-
功能:Tumor suppressor. It blocks the growth, invasion, and metastatic properties of mammary tumors. As it does not undergo the S (stressed) to R (relaxed) conformational transition characteristic of active serpins, it exhibits no serine protease inhibitory activity.
-
基因功能參考文獻:
- data suggest that maspin inhibits high glucose-induced proliferation, oxidative stress, and angiogenesis of HRMECs at least by modulating the PI3K/AKT pathway. Maspin may be a potential therapeutic agent for the prevention and treatment of proliferative diabetic retinopathy. PMID: 29363056
- SERPINB5 may play an important role in rectal cancer progression and response to neoadjuvant CCRT and serve as a novel prognostic factor. PMID: 29511373
- maspin expression has a prognostic role in breast cancer. Maspin expression is related to increased angiogenesis. Subcellular localization of maspin can strongly affect cancer prognosis. Cytoplasmic maspin relates to poor prognostic parameters whereas nuclear maspin relates to good prognostic ones. PMID: 29126758
- Maspin nuclear expression in colorectal carcinoma buds may be helpful for a proper budding assessment and may serve as a negative prognostic factor. PMID: 28780084
- The expression of maspin in the cytoplasm alone could be useful for predicting unfavorable prognoses in patients with p-stage IA lung adenocarcinoma PMID: 29715131
- The severity of hip OA can be related to angiogenesis pathways that are not maspin-mediated. PMID: 27704157
- SNPs affected SERPINB5 expression and protein stability, which significantly correlated with tumour expression and subsequently with tumour development and aggressiveness. Taken together, our findings regarding these biomarkers provide a prediction model for risk assessment. PMID: 27221742
- Maspin is spontaneously secreted as an exosomal protein to regulate tumor/stromal interactions. PMID: 28009978
- Study results provide new insights into the molecular mechanisms of maspin suppression in response to HBx, and revealed nuclear IKKalpha as a prognostic biomarker and a potential therapeutic target to improve the clinical outcome of HBV-associated HCC patients. PMID: 27409165
- Mechanistic investigations found that quercetin suppressed Snail-dependent Akt activation by upregulating maspin and Snail-independent a disintegrin and metalloproteinase (ADAM) 9 expression pathways to modulate the invasive ability of NSCLC cells. PMID: 28648644
- High HDAC1 expression may contribute to the aggressiveness of human breast cancer with cytoplasmic-only expression of maspin PMID: 28870936
- These results reveal a novel biological function of Maspin in modulating macrophage activity PMID: 28064070
- Heterozygous TC of the SERPINB5 rs17071138 polymorphism may be a factor that increases susceptibility to oral cancer. PMID: 28339463
- Impact of Maspin Polymorphism rs2289520 G/C and Its Interaction with Gene to Gene, Alcohol Consumption Increase Susceptibility to Oral Cancer Occurrence PMID: 27525723
- Cytoplasmic expression of maspin could be an independent unfavourable prognostic indicator in patients with lung squamous cell carcinoma (SCC). PMID: 27297724
- Results demonstrated that Maspin suppressed growth, proliferation and invasion by delaying cell cycle transition and promoting apoptosis in cutaneous squamous cell carcinoma cells. PMID: 28405681
- This is the first time that these parts of maspin have been highlighted as having key roles affecting cell function PMID: 27888098
- In GC with associated metaplasia, cytoplasmic maspin is predominant; the nuclear shift induces local aggressiveness and risk of node metastases, whereas total loss can indicate a risk of distant metastases PMID: 26067133
- maspin mRNA is significantly up-regulated in tissues of pulmonary adenocarcinoma patients PMID: 26757744
- The data suggest that methylation-induced silencing of maspin contributes to the proliferation of human glioma cells, and maspin may be a potential therapeutic target in glioma. PMID: 27177016
- epithelial cytoplasmic expression of maspin and CD138 may have a significant role in tumorigenesis in ovarian high-grade serous carcinomas and clear cell carcinomas; these markers may regulate tumor cell proliferation, and their significant correlation to each other may suggest that CD138 probably induces maspin expression to protect tumor growth factors from being lysed by proteolytic enzymes PMID: 26526579
- Compared with the control group, maspin expression was down-regulated in the fungal rhinosinusitis group, and lower in the invasive fungal rhinosinusits group compared to the noninvasive fungal rhinosinusitis group. PMID: 28031066
- maspin may mediate the therapeutic efficacy of gemcitabine in hormone-independent prostate cancer. PMID: 26490978
- High CXCR4 expression in primary breast tumors (PTs) was found to be associated with luminal A type tumor, suggesting more favorable outcome. In contrast, CCR7 and FOXP3 expressions in PTs represented luminal B tumors, pointing to more aggressive tumor behavior. Maspin expression did not differ between luminal types. PMID: 28011488
- Data suggest that serine (or cysteine) proteinase inhibitor, clade B (ovalbumin), member 5 protein (SERPINB5) seems to assume an oncogenic role in pancreatic ductal adenocarcinoma (PDAC). PMID: 26646275
- The report reveals an association between maspin expression and the prognosis of patients with soft tissue sarcomas (STS). PMID: 25358722
- Study shows that Maspin could enhance cisplatin chemosensitivity induced by cell apoptosis in muscle invasive bladder cancer (MIBC) cell lines. Its expression correlated with prognosis of MIBC patients who received cisplatin-based chemotherapy. PMID: 26733306
- Suggest maspin as immunohistochemical marker anticipating survival in non-small cell lung carcinomas. PMID: 26456962
- In this review, we discuss the maspin and maspin/HDAC1 interplay in tumor biology and immunology--{REVIEW} PMID: 26614844
- Results suggest insight into the dynamics of maspin as a metastasis suppressor gene for further molecular research. PMID: 26497917
- The expression of maspin in the A549 and SPCA1 cells was hardly detected. PMID: 26329803
- Intensity of maspin expression is more in benign tumors when compared with malignant tumors. The benign tumors showed both nuclear and cytoplasmic expression. Some malignant tumors did express maspin, but mainly in the cytoplasm PMID: 25098993
- Data suggest that hepatitis B virus X protein (HBx) induces gene expressions of microRNAs microRNA-7, -21, and -107 to target the 3' untranslational region (3' UTR) of maspin mRNA. PMID: 26296971
- The methylation status of the maspin promoter is an important factor that affects the migration and invasion of EVT cells during early pregnancy. PMID: 26263377
- Maspin protein expression is related to the carcinogenesis of oral cavity squamous cell carcinoma. PMID: 24801268
- The expression levels of maspin were lower in the cisplatin-resistant tissue and cells, and was enhanced by IGFBP-2 inhibition. PMID: 26080829
- maspin is a useful addition to the diagnostic immunohistochemical panel (S100P, pVHL, and insulin-like growth factor II mRNA-binding protein 3) to help distinguish malignant from benign epithelia on challenging bile duct biopsies. PMID: 26362203
- VEGF-C inhibition reverses resistance of bladder cancer cells to cisplatin via upregulating maspin. PMID: 25936422
- Maspin levels are elevated in colonic polyps. PMID: 25977386
- Report endothelial cell pathology and maspin expression in liposarcomas versus non-lipomatous soft tissue tumors. PMID: 25973067
- Nuclear maspin expression is associated with CPG island methylator phenotype, and clinicopathologically correlates with tumor aggressiveness in colorectal cancer. PMID: 25973084
- Depending on maspin expression, tumor cells in suspension and 3D collagen I show the phenotypes of stem-like and dormant tumor cell populations, respectively. Maspin reduces prostate tumor cell plasticity and enhances tumor sensitivity to salinomycin. PMID: 26208903
- Cytoplasmic maspin expression could be an independent poor prognostic indicator of patients with lung adenocarcinoma measuring <3 cm. PMID: 25322663
- Maspin expression in laryngeal carcinoma is a good indicator for postoperative adjuvant radiotherapy treatment results. PMID: 25459315
- Unmethylated-maspin DNA in maternal blood is associated with severe preeclampsia. PMID: 26095742
- U-SERPINB5 and M-SERPINB5 concentrations in maternal plasma during early pregnancy are not associated with pregnancies who delivered small for gestational age neonates. PMID: 25553975
- Maspin was not expressed in the normal mucosa. PMID: 26124368
- Tissue array analysis suggests role for maspin in regulating the occurrence of glioma and disease progression. PMID: 26051724
- These data show that changes of expression and subcellular localization of maspin may constitute an important biological end point of tumour progression and aid in the classification of lung adenocarcinoma. PMID: 25040445
- Hypomethylation of the maspin promoter results in increased expression of maspin in preeclamptic placentas. PMID: 25151033
顯示更多
收起更多
-
亞細胞定位:Secreted, extracellular space.
-
蛋白家族:Serpin family, Ov-serpin subfamily
-
組織特異性:Normal mammary epithelial cells.
-
數據庫鏈接:
Most popular with customers
-
-
YWHAB Recombinant Monoclonal Antibody
Applications: ELISA, WB, IHC, IF, FC
Species Reactivity: Human, Mouse, Rat
-
Phospho-YAP1 (S127) Recombinant Monoclonal Antibody
Applications: ELISA, WB, IHC
Species Reactivity: Human
-
-
-
-
-















