SERPINA9 Antibody
-
中文名稱:SERPINA9兔多克隆抗體
-
貨號:CSB-PA895479
-
規格:¥1100
-
圖片:
-
The image on the left is immunohistochemistry of paraffin-embedded Human thyroid cancer tissue using CSB-PA895479(SERPINA9 Antibody) at dilution 1/60, on the right is treated with synthetic peptide. (Original magnification: ×200)
-
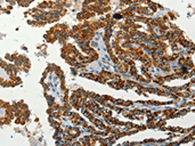
The image on the left is immunohistochemistry of paraffin-embedded Human lung cancer tissue using CSB-PA895479(SERPINA9 Antibody) at dilution 1/60, on the right is treated with synthetic peptide. (Original magnification: ×200)
-
Gel: 8%SDS-PAGE, Lysate: 40 μg, Lane 1-4: 293T cells, 231 cells, U937 cells, Raji cells, Primary antibody: CSB-PA895479(SERPINA9 Antibody) at dilution 1/350, Secondary antibody: Goat anti rabbit IgG at 1/8000 dilution, Exposure time: 10 seconds
-
-
其他:
產品詳情
-
Uniprot No.:
-
基因名:SERPINA9
-
別名:Centerin antibody; GCET1 antibody; Germinal center B cell expressed transcript 1 antibody; Germinal center B-cell-expressed transcript 1 protein antibody; Seprin A9 antibody; Serine proteinase inhibitor A11 antibody; Serpin A9 antibody; Serpin peptidase inhibitor clade A (alpha 1 antiproteinase antitrypsin) member 9 antibody; Serpin peptidase inhibitor clade A member 9 antibody; SERPINA11 antibody; SERPINA11b antibody; Serpina9 antibody; SPA9_HUMAN antibody
-
宿主:Rabbit
-
反應種屬:Human
-
免疫原:Synthetic peptide of Human SERPINA9
-
免疫原種屬:Homo sapiens (Human)
-
標記方式:Non-conjugated
-
抗體亞型:IgG
-
純化方式:Antigen affinity purification
-
濃度:It differs from different batches. Please contact us to confirm it.
-
保存緩沖液:-20°C, pH7.4 PBS, 0.05% NaN3, 40% Glycerol
-
產品提供形式:Liquid
-
應用范圍:ELISA,WB,IHC
-
推薦稀釋比:
Application Recommended Dilution ELISA 1:2000-1:5000 WB 1:500-1:2000 IHC 1:50-1:200 -
Protocols:
-
儲存條件:Upon receipt, store at -20°C or -80°C. Avoid repeated freeze.
-
貨期:Basically, we can dispatch the products out in 1-3 working days after receiving your orders. Delivery time maybe differs from different purchasing way or location, please kindly consult your local distributors for specific delivery time.
-
用途:For Research Use Only. Not for use in diagnostic or therapeutic procedures.
相關產品
靶點詳情
-
功能:Protease inhibitor that inhibits trypsin and trypsin-like serine proteases (in vitro). Inhibits plasmin and thrombin with lower efficiency (in vitro).
-
基因功能參考文獻:
- Diagnostic Utility of the Germinal Center-associated Markers GCET1, HGAL, and LMO2 in Hematolymphoid Neoplasms. PMID: 25203428
- Results report the cloning of germinal center B-cell expressed transcripts 1 and 2 (GCET1 and 2), and show that both are expressed in follicular lymphoma and diffuse large B-cell lymphoma with germinal center B-cell differentiation. PMID: 12819018
- The cloning, expression and molecular characterization of recombinant serpina9 (centerin) are reported. PMID: 17447896
- Gcet-1 protein expression is restricted to a subset of germinal center B cells, establishing the existence of a distinct heterogeneity among normal and neoplastic germinal center B cells PMID: 17898315
- Immunohistochemical expression of centerin further defines the germinal center cell origin of a subgroup of lymphomas. PMID: 18550480
- serpinA9 was associated with stroke in both whites and blacks PMID: 18799872
- Observational study of gene-disease association. (HuGE Navigator) PMID: 19023099
- Observational study of gene-disease association. (HuGE Navigator) PMID: 17975119
顯示更多
收起更多
-
亞細胞定位:[Isoform 1]: Secreted.; [Isoform 2]: Cytoplasm.; [Isoform 3]: Cytoplasm.; [Isoform 4]: Cytoplasm.; [Isoform 5]: Cytoplasm.; [Isoform 6]: Cytoplasm.; [Isoform 7]: Membrane; Single-pass type II membrane protein.
-
蛋白家族:Serpin family
-
組織特異性:Highly expressed in normal germinal center (GC) B-cells and GC B-cell-derived malignancies.
-
數據庫鏈接:
Most popular with customers
-
-
YWHAB Recombinant Monoclonal Antibody
Applications: ELISA, WB, IHC, IF, FC
Species Reactivity: Human, Mouse, Rat
-
Phospho-YAP1 (S127) Recombinant Monoclonal Antibody
Applications: ELISA, WB, IHC
Species Reactivity: Human
-
-
-
-
-
VDAC1 Recombinant Monoclonal Antibody
Applications: ELISA, WB, IHC
Species Reactivity: Human, Mouse, Rat















