SERPINA12 Antibody
-
中文名稱:SERPINA12兔多克隆抗體
-
貨號:CSB-PA824741
-
規格:¥1100
-
圖片:
-
The image on the left is immunohistochemistry of paraffin-embedded Human lung cancer tissue using CSB-PA824741(SERPINA12 Antibody) at dilution 1/40, on the right is treated with fusion protein. (Original magnification: ×200)
-
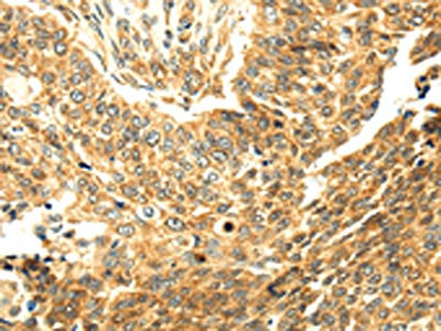
The image on the left is immunohistochemistry of paraffin-embedded Human thyroid cancer tissue using CSB-PA824741(SERPINA12 Antibody) at dilution 1/40, on the right is treated with fusion protein. (Original magnification: ×200)
-
-
其他:
產品詳情
-
Uniprot No.:
-
基因名:SERPINA12
-
別名:ENSG00000165953 antibody; OL 64 antibody; OL-64 antibody; OL64 antibody; Serine (or cysteine) proteinase inhibitor clade A (alpha 1 antiproteinase antitrypsin) member 12 antibody; Serpin A12 antibody; Serpin A12 precursor antibody; Serpin peptidase inhibitor clade A (alpha 1 antiproteinase antitrypsin) member 12 antibody; Serpina12 antibody; SPA12_HUMAN antibody; Vaspin antibody; Visceral adipose specific serpin antibody; Visceral adipose tissue derived serine protease inhibitor antibody; Visceral adipose tissue-derived serine protease inhibitor antibody; Visceral adipose-specific serpin antibody
-
宿主:Rabbit
-
反應種屬:Human
-
免疫原:Fusion protein of Human SERPINA12
-
免疫原種屬:Homo sapiens (Human)
-
標記方式:Non-conjugated
-
抗體亞型:IgG
-
純化方式:Antigen affinity purification
-
濃度:It differs from different batches. Please contact us to confirm it.
-
保存緩沖液:-20°C, pH7.4 PBS, 0.05% NaN3, 40% Glycerol
-
產品提供形式:Liquid
-
應用范圍:ELISA,IHC
-
推薦稀釋比:
Application Recommended Dilution ELISA 1:2000-1:10000 IHC 1:30-1:150 -
Protocols:
-
儲存條件:Upon receipt, store at -20°C or -80°C. Avoid repeated freeze.
-
貨期:Basically, we can dispatch the products out in 1-3 working days after receiving your orders. Delivery time maybe differs from different purchasing way or location, please kindly consult your local distributors for specific delivery time.
-
用途:For Research Use Only. Not for use in diagnostic or therapeutic procedures.
相關產品
靶點詳情
-
功能:Adipokine that modulates insulin action by specifically inhibiting its target protease KLK7 in white adipose tissues.
-
基因功能參考文獻:
- Elevated levels of vaspin were associated with 1.7 times increased cardiovascular disease risk. PMID: 29673927
- vaspin rs2236242 polymorphism is not associated with metabolic syndrome in Egyptian women PMID: 27966294
- vaspin decreased miR-33a levels, which in turn increased ABCA1 expression and cholesteorl efflux. PMID: 29653102
- High vaspin expression is associated with osteoporosis and arterial stiffness. PMID: 28646476
- Serum vaspin concentrations were significantly higher in the type-2 diabetes mellitus (T2DM) group than in the T2DM + macrovascular complications group. PMID: 29065866
- Serum vaspin level may be a useful marker for the prediction of ovulation induction success in treatment with clomiphene citrate PMID: 28826039
- vaspin can play a role as a new marker in the diagnosis, severity assessment, and prognosis of subarachnoid hemorrhage PMID: 25720423
- Suggest vaspin could be involved in the pathophysiology of cirrhosis, but is not a good indicator of its origin or severity and does not impact the thrombotic activity of platelets. PMID: 28465646
- Vaspin may play an important compensatory role in obesity and insulin resistance in elderly people. PMID: 28553648
- Studied the effects of vaspin on lipopolysaccharide (LPS)induced acute respiratory distress syndrome (ARDS) in vivo and in vitro, and further explored the molecular basis and potential mechanisms underlying these effects. It was demonstrated that vaspin protects against LPSinduced ARDS through reversing EC barrier dysfunction via the suppression of inflammation, apoptosis and ROS generation in pulmonary ECs. PMID: 29039444
- Serum vaspin cannot be used as an independent marker for the presence of coronary artery disease in the general population. PMID: 28482816
- Vaspin is modified at all 3 predicted asparagine glycosylation sites near the reactive center loop. Biochemical data demonstrate that glycosylation does not hinder inhibition of the target protease kallikrein 7. Although binding affinity to heparin is slightly decreased, the protease inhibition reaction is still significantly accelerated in the presence of heparin. Glycosylation did not affect thermal stability. PMID: 28668641
- Vaspin was associated with a reduced risk of insulin resistance independently of BMI and pubertal stage and the association was influenced by body fat and physical activity in these adolescents. PMID: 27513492
- Study provides evidence that serum vaspin level could be regarded as the predictor for improvement of fatty liver and metabolic disturbance after laparoscopic vertical banded gastroplasty surgery in patients with severe obesity. PMID: 28746192
- The minor A allele of vaspin rs2236242 polymorphism plays a protective role against obesity and diabetes among women in Upper Egypt. The serum vaspin concentration was lower in minor protective allele carriers. PMID: 28479386
- In COPD, the meta-analysis of % predicted FEV1 in cases, the strongest association was shown for a splice variant in a previously unreported region, SERPINA12 (rs140198372, pmeta=5.72x10(-6)). PMID: 26917578
- Together, these data show that vaspin binds heparin with high affinity (KD = 21 +/- 2 nm) and that binding takes place at a basic patch on top of beta-sheet A and is different from other heparin-binding serpins. PMID: 27941022
- In patients with diabetic nephropathy (DNP), vaspin level does not change within the early stages of DNP; while it is higher in patients with decreased glomerular filtration rate, which may be related with increasing inflammation regardless of the stage of the kidney disease. PMID: 27216464
- vaspin could be visibly observed within the detectable concentrations of vaspin up to 5nM in both buffer and serum conditions. The sensitivity of this LFSA developed in this study was ranged from 0.137 to 25nM in buffer and from 0.105 to 25nM in spiked human serum, respectively. T PMID: 27916536
- Vaspin acts as a coordinator of the dynamic balance between bone formation and resorption processes; its action is affected by the cytokines of the RANKL/RANK/OPG system. Changes in the relationships between vaspin, bone markers, OPG, and RANKL might contribute to the development of osteoporosis in girls with anorexia nervosa. PMID: 28042653
- These findings suggest that vaspin and VAP-1 may play a role in the pathogenesis of psoriasis and can be used as markers of the disease; vaspin levels may reflect the severity of disease. PMID: 25279492
- Circulating vaspin levels were lower in nonalcoholic fatty liver disease. PMID: 27493109
- Circulating vaspin level is higher in women than in men in obese individuals. Vaspin had mediator effect between visceral fat and fat mass associations with resting metabolic rate in obese participants. PMID: 26058881
- High serum vaspin concentrations are associated with Obese type 2 diabetes mellitus. PMID: 26676943
- The minor allele of vaspin rs2236242 polymorphism plays a protective role against metabolic syndrome. PMID: 26472663
- High serum vaspin levels are associated with coronary artery disease in patients with type 2 diabetes. PMID: 26972957
- Vaspin might be a useful predictive biomarker in patients with AMI, and patients with low vaspin levels might have a high risk of a MACE. In addition, vaspin might have protective effects on the improvement of LVEF after AMI. PMID: 27322007
- High levels of serum vaspin is associated with obesity. PMID: 25470626
- Low vaspin blood levels in patients with prolactinomas. PMID: 26415032
- The development of clinically manifest arthritis after follow-up was associated with baseline serum vaspin levels. PMID: 26670468
- Mean vaspin and apelin levels were significantly lower in underweight children compared to controls PMID: 25915077
- serum visceral adipose tissue-derived serpin (vaspin) levels in patients with normal glucose regulation and recently diagnosed type 2 diabetes, was investigated. PMID: 26436376
- vaspin is a beneficial adipokine in obesity PMID: 25340725
- It is believed that vaspin could be regarded as a new link between obesity and related metabolic disorders, including glucose intolerance. PMID: 25945347
- during pregnancy, high vaspin concentration is significantly associated with insulin resistance in gestational diabetes mellitus PMID: 24929806
- structural and functional results reveal the mechanistic basis of how reactive centre loop sequence and exosite interaction in vaspin enable KLK7 recognition and regulate protease inhibition PMID: 26199422
- Serum vaspin levels showed no significant difference between the type 2 diabetics with renal insufficiency and without renal insufficiency. PMID: 25133192
- In the sepsis group, vaspin plasma concentration was about three-fold as high as in the median surgical control group. PMID: 25672472
- The expression of human vaspin (serpinA12) is positively correlated to body mass index and insulin sensitivity and increases glucose tolerance in vivo, suggesting a compensatory role in response to diminished insulin signaling in obesity. PMID: 24596079
- Higher vaspin levels are associated with obesity and type 2 diabetes mellitus. PMID: 25151227
- Vaspin levels have been shown to increase in acute ischemic stroke patients. The increased vaspin levels may vary depending on several factors in acute period of ischemic stroke. PMID: 23594688
- the correlations of visfatin/Nampt, vaspin, and RBP-4 with insulin resistance are tissue dependent. PMID: 24367155
- serum vaspin level was positively associated with c-IMT, independently of insulin resistance in a general population. PMID: 24529152
- vaspin is an adipokine that may have a role in metabolic syndrome in males PMID: 23992351
- A rare variant (rs61757459) in vaspin coding for the stop codon p.R211X is related to lower circulating vaspin (SERPINA12) concentrations. Structure analysis suggests misfolding and instability due to the absence of core structural domains. PMID: 23756768
- Vaspin rs2236242 gene polymorphism is associated with polycystic ovary syndrome risk. PMID: 24530312
- Serum vaspin concentrations are elevated in patients with ulcerative colitis. PMID: 24166663
- The plasma vaspin concentrations correlate with the severity of coronary artery disease. PMID: 23850850
- Variability in serum vaspin concentrations might be explained by its genetic variants. PMID: 22907691
- Low levels of circulating adiponectin and vaspin levels are associated with an increased risk of developing endometrial cancer. PMID: 23896633
顯示更多
收起更多
-
亞細胞定位:Secreted.
-
蛋白家族:Serpin family
-
組織特異性:Expressed in visceral adipose tissues.
-
數據庫鏈接:
Most popular with customers
-
-
YWHAB Recombinant Monoclonal Antibody
Applications: ELISA, WB, IHC, IF, FC
Species Reactivity: Human, Mouse, Rat
-
Phospho-YAP1 (S127) Recombinant Monoclonal Antibody
Applications: ELISA, WB, IHC
Species Reactivity: Human
-
-
-
-
-















