SEMA4F Antibody
-
中文名稱:SEMA4F兔多克隆抗體
-
貨號:CSB-PA679493
-
規格:¥1100
-
圖片:
-
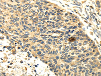
The image on the left is immunohistochemistry of paraffin-embedded Human esophagus cancer tissue using CSB-PA679493(SEMA4F Antibody) at dilution 1/35, on the right is treated with fusion protein. (Original magnification: ×200)
-
The image on the left is immunohistochemistry of paraffin-embedded Human brain tissue using CSB-PA679493(SEMA4F Antibody) at dilution 1/35, on the right is treated with fusion protein. (Original magnification: ×200)
-
-
其他:
產品詳情
-
Uniprot No.:
-
基因名:SEMA4F
-
別名:SEMA4F; SEMAM; SEMAW; Semaphorin-4F; Semaphorin-M; Sema M; Semaphorin-W; Sema W
-
宿主:Rabbit
-
反應種屬:Human,Mouse,Rat
-
免疫原:Fusion protein of Human SEMA4F
-
免疫原種屬:Homo sapiens (Human)
-
標記方式:Non-conjugated
-
抗體亞型:IgG
-
純化方式:Antigen affinity purification
-
濃度:It differs from different batches. Please contact us to confirm it.
-
保存緩沖液:-20°C, pH7.4 PBS, 0.05% NaN3, 40% Glycerol
-
產品提供形式:Liquid
-
應用范圍:ELISA,IHC
-
推薦稀釋比:
Application Recommended Dilution ELISA 1:2000-1:5000 IHC 1:25-1:100 -
Protocols:
-
儲存條件:Upon receipt, store at -20°C or -80°C. Avoid repeated freeze.
-
貨期:Basically, we can dispatch the products out in 1-3 working days after receiving your orders. Delivery time maybe differs from different purchasing way or location, please kindly consult your local distributors for specific delivery time.
-
用途:For Research Use Only. Not for use in diagnostic or therapeutic procedures.
相關產品
靶點詳情
-
功能:Probable cell surface receptor that regulates oligodendroglial precursor cell migration. Might also regulate differentiation of oligodendroglial precursor cells. Has growth cone collapse activity against retinal ganglion-cell axons.
-
基因功能參考文獻:
- data seems to indicate that SEMA4F is involved in tumour progression in breast cancer PMID: 21925246
- Fine mapping of the chromosome 2p12-16 dyslexia susceptibility candidate gene PMID: 11901358
- Sema4F levels were strongly reduced in a panel of human neurofibromas, confirming the relevance of these findings to the human disease. PMID: 19056885
-
亞細胞定位:Cell membrane; Single-pass type I membrane protein. Cell junction, synapse, postsynaptic density. Perikaryon. Cell projection, dendrite.
-
蛋白家族:Semaphorin family
-
數據庫鏈接:
Most popular with customers
-
-
YWHAB Recombinant Monoclonal Antibody
Applications: ELISA, WB, IHC, IF, FC
Species Reactivity: Human, Mouse, Rat
-
Phospho-YAP1 (S127) Recombinant Monoclonal Antibody
Applications: ELISA, WB, IHC
Species Reactivity: Human
-
-
-
-
-















