SEC23B Antibody
-
中文名稱:SEC23B兔多克隆抗體
-
貨號:CSB-PA621874LA01HU
-
規格:¥440
-
圖片:
-
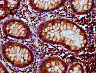
IHC image of CSB-PA621874LA01HU diluted at 1:300 and staining in paraffin-embedded human small intestine tissue performed on a Leica BondTM system. After dewaxing and hydration, antigen retrieval was mediated by high pressure in a citrate buffer (pH 6.0). Section was blocked with 10% normal goat serum 30min at RT. Then primary antibody (1% BSA) was incubated at 4°C overnight. The primary is detected by a biotinylated secondary antibody and visualized using an HRP conjugated SP system.
-
IHC image of CSB-PA621874LA01HU diluted at 1:300 and staining in paraffin-embedded human appendix tissue performed on a Leica BondTM system. After dewaxing and hydration, antigen retrieval was mediated by high pressure in a citrate buffer (pH 6.0). Section was blocked with 10% normal goat serum 30min at RT. Then primary antibody (1% BSA) was incubated at 4°C overnight. The primary is detected by a biotinylated secondary antibody and visualized using an HRP conjugated SP system.
-
-
其他:
產品詳情
-
產品名稱:Rabbit anti-Homo sapiens (Human) SEC23B Polyclonal antibody
-
Uniprot No.:
-
基因名:
-
別名:CDA II antibody; CDAII antibody; CDAN2 antibody; HEMPAS antibody; Protein transport protein Sec23B antibody; RP11-379J5.1 antibody; SC23B_HUMAN antibody; Sec23 homolog B (S. cerevisiae) antibody; SEC23 related protein B antibody; SEC23-like protein B antibody; SEC23-related protein B antibody; Sec23b antibody; Transport protein SEC23B antibody
-
宿主:Rabbit
-
反應種屬:Human
-
免疫原:Recombinant Human Protein transport protein Sec23B protein (208-325AA)
-
免疫原種屬:Homo sapiens (Human)
-
標記方式:Non-conjugated
本頁面中的產品,SEC23B Antibody (CSB-PA621874LA01HU),的標記方式是Non-conjugated。對于SEC23B Antibody,我們還提供其他標記。見下表:
-
克隆類型:Polyclonal
-
抗體亞型:IgG
-
純化方式:>95%, Protein G purified
-
濃度:It differs from different batches. Please contact us to confirm it.
-
保存緩沖液:Preservative: 0.03% Proclin 300
Constituents: 50% Glycerol, 0.01M PBS, pH 7.4 -
產品提供形式:Liquid
-
應用范圍:ELISA, IHC
-
推薦稀釋比:
Application Recommended Dilution IHC 1:200-1:500 -
Protocols:
-
儲存條件:Upon receipt, store at -20°C or -80°C. Avoid repeated freeze.
-
貨期:Basically, we can dispatch the products out in 1-3 working days after receiving your orders. Delivery time maybe differs from different purchasing way or location, please kindly consult your local distributors for specific delivery time.
-
用途:For Research Use Only. Not for use in diagnostic or therapeutic procedures.
相關產品
靶點詳情
-
功能:Component of the coat protein complex II (COPII) which promotes the formation of transport vesicles from the endoplasmic reticulum (ER). The coat has two main functions, the physical deformation of the endoplasmic reticulum membrane into vesicles and the selection of cargo molecules for their transport to the Golgi complex.
-
基因功能參考文獻:
- A Y462C mutation was found in 5 members of a consanguineous Indian family. In the homozygous patient, it resulted in congenital dyserythropoietic anemia type II. PMID: 28879554
- described the functional interaction between GATA1 and SEC23B genes in two patients with suspected congenital dyserythropoietic anemia type II PMID: 28550189
- these data demonstrate an equivalent function for SEC23A/B, with evolutionary shifts in the transcription program likely accounting for the distinct phenotypes of SEC23A/B deficiency within and across species, a paradigm potentially applicable to other sets of paralogous genes. PMID: 30065114
- novel compound mutations of c.1727T>C and c.1831C>T of the SEC23B gene probably underlie the congenital dyserythropoietic anemia type II in the family PMID: 29188620
- Mutation in SEC23B gene is associated with congenital dyserythropoietic anemia. PMID: 29031773
- miR-130a is an epigenetically regulated miRNA involved in regulation of key molecular and phenotypic features of prostate carcinogenesis, acting as a tumour suppressor miRNA by targeting SEC23B and DEPDC1. PMID: 27984115
- SEC23B-Y462C congenital dyserythropoietic anemia type II is only seen in a distinct Indian community (Vaish) in whom a recessively inherited shared haplotype can be showed, consistent with a founder effect. PMID: 25418799
- Germline Heterozygous Variants in SEC23B Are Associated with Cowden Syndrome and Enriched in Apparently Sporadic Thyroid Cancer. PMID: 26522472
- Congenital dyserythropoietic anemia, type II with SEC23B exon 12 c.1385 A --> G mutation, and pseudo-Gaucher cells in two siblings has been described. PMID: 24801240
- Both probands with congenital dyserythropoietic anemia IotaI in the second family were homozygotes of the SEC23B gene with mutation c.938G>A (R313H). PMID: 24196372
- Mutations in SEC23B lead to congenital dyserythropoietic anemia type II due to alterations in coat protein (COP)II complex trafficking machinery. [REVIEW] PMID: 22764119
- study identified four novel SEC23B mutations associated with ongenital dyserythropoietic anemia type II disease; also demonstrated that the genetic alteration results in a significant decrease of SEC23B transcript in erythroid precursors PMID: 22208203
- Data indicate that SEC23B founder mutations E109K and R14W account for about 54% of all mutations in CDA II patients in Italy; data suggest R14W occurred Southern Italy, E109K is more widespread within Europe. PMID: 21850656
- Correlation between SEC23B mutations and congenital dyserythropoietic anemia type II parameters shows that addition of one missense mutation and one nonsense mutation tends to produce a more severe presentation then association of two missense mutations. PMID: 20015893
- Most congenital dyserythropoietic anemia II patients in Israel are of Moroccan Jewish origin and carry a common SEC23B mutation, E109K, the first to be described as a founder mutation causing CDA II. PMID: 21252497
- found 19 novel variants in the homozygous or the compound heterozygous state in 28 CDA II patients from 21 unrelated families enrolled in the CDA II International Registry PMID: 20941788
- This study found SEC23B mutations in two patients previously classified as atypical congenital dyserythropoietic anemias presenting with hydrops foetalis. PMID: 20381388
- Hetero- or homozygous mutation of CDAN2 causes hypoglycosylation of band 3, accumulation and hypoglycosylation of polyglycosylceramides, and accumulation of lactotriaosylceramide. PMID: 11836161
- These results provide in vivo evidence for SEC23B selectivity in erythroid differentiation and show that SEC23A and SEC23B, although highly related paralogous secretory COPII components, are nonredundant in erythrocyte maturation. PMID: 19561605
- Congenital dyserythropoietic anemia type II (CDAII) is caused by mutations in the SEC23B gene. PMID: 19621418
顯示更多
收起更多
-
相關疾病:Cowden syndrome 7 (CWS7); Anemia, congenital dyserythropoietic, 2 (CDAN2)
-
亞細胞定位:Cytoplasmic vesicle, COPII-coated vesicle membrane; Peripheral membrane protein; Cytoplasmic side. Endoplasmic reticulum membrane; Peripheral membrane protein; Cytoplasmic side. Cytoplasm, cytosol.
-
蛋白家族:SEC23/SEC24 family, SEC23 subfamily
-
組織特異性:Ubiquitously expressed.
-
數據庫鏈接:
Most popular with customers
-
-
YWHAB Recombinant Monoclonal Antibody
Applications: ELISA, WB, IHC, IF, FC
Species Reactivity: Human, Mouse, Rat
-
Phospho-YAP1 (S127) Recombinant Monoclonal Antibody
Applications: ELISA, WB, IHC
Species Reactivity: Human
-
-
-
-
-















